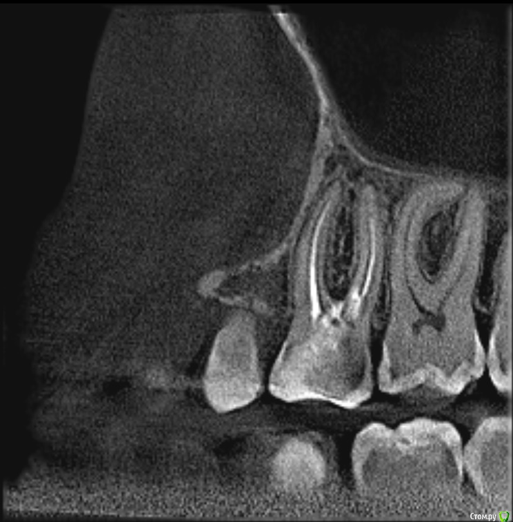
Demon_L Опубликовано 23 января, 2020 Поделиться Опубликовано 23 января, 2020 (изменено) Мне 36 лет, примерно 12 лет назад залечивал зуб (верхняя левая 6-ка), запломбировали 3 канала гуттаперчей, поставили обширную световую пломбу в хорошей платной клинике.Позже я стал замечать, что зуб немного темнее остальных, но не придавал этому значения, т.к. зуб не беспокоил. На днях откололся небольшой кусочек от этого зуба, пошел в клинику, сделали снимок КТ, сняли пломбу. Вердикт - 3 канала не требуют перелечивания, но есть 4-й канал, который требует лечения и который не нашли первый раз. Но что самое печальное - обнаружили перфорацию дна полости, которую по ошибке сделали при первом лечении, видимо когда искали 4-й канал. Тогда же видимо и положили раствор резорцин-формалина, что и придало темный с отттенками красного цвет зубу.Пока не нашли перфорацию, по снимкам склонялись к установке коронки, но после того, как обнаружили, один врач настойчиво рекомендовал удаление и имплантат, другой допускает коронку, но тоже рекомендует имплантат.Хотел бы спросить Вашего мнения, действительно ли при наличии перфорации дна полости (она небольшая, но файл в неё проходит и выступает капелька крови) ставить коронку противопоказано?Можно ли сначала залечить перфорацию, а потом ставить коронку? Прибегать к удалению и имплантации хотелось бы в последнюю очередь.Прилагаю несколько снимков КТ. Если они недостаточно информативны, готов выложить с любого другого ракурса. Могу вообще поделиться isо-файлом со снимком (образ CD), тогда можно будет покрутить в 3D как угодно у себя на ПК (запускается автоматически без установки чего-либо).Заранее спасибо за консультацию. Изменено 23 января, 2020 пользователем Demon_L Ссылка на комментарий
red_butler Опубликовано 28 января, 2020 Поделиться Опубликовано 28 января, 2020 удалять и одномоментно имплантировать 1 Ссылка на комментарий
Дмитрий Л. Опубликовано 29 января, 2020 Поделиться Опубликовано 29 января, 2020 (изменено) Не соглашусь категорично. По кт там даже четвертый канал искать не надо. У вас 12 лет пролеченный зуб без проблем стоит. Темный цвет и скол решается коронкой.Риск трещины зуба есть. Этого зуба и любых других. Все удалить?Непонятно зачем перфорацию заново раскрыли. Идите в другую клинику, просите закрыть перфорацию и ставьте новую пломбу. Или коронку*Это вывод из ваших слов и приложенных срезов. Изменено 29 января, 2020 пользователем Дмитрий Л. Ссылка на комментарий
dok1 Опубликовано 29 января, 2020 Поделиться Опубликовано 29 января, 2020 Как бы небыло жалко зуб, удалить и имплантировать. Одномоментно или нет, другой вопрос, но проще убрать и имплант 1 Ссылка на комментарий
Рекомендуемые сообщения
Для публикации сообщений создайте учётную запись или авторизуйтесь
Вы должны быть пользователем, чтобы оставить комментарий
Создать аккаунт
Зарегистрируйте новый аккаунт в нашем сообществе. Это очень просто!
Регистрация нового пользователяВойти
Уже есть аккаунт? Войти в систему.
Войти