m-e-a Опубликовано 19 января, 2020 Поделиться Опубликовано 19 января, 2020 (изменено) Добрый день. Решила ставить импланты вместо удаленных нижних шестерок. Пришла на консультацию к врачам по по поводу семерок, сказали прогноз 50 на 50, нужно перелечить. Тогда обратилась в другую клинику на консультацию - ответ удалять, долго не простоят, другой врач этой клиники - перелечить, прогнозы хорошие. Как с этими зубами быть? Они не болят. Не хочется ставить коронки если это всего на год и в тоже время вырывать не хочется. Высылаю ссылку на КТ (заархивировать не получилось)https://yadi.sk/d/Nu-2SD9rWqw3Dg Изменено 19 января, 2020 пользователем m-e-a 1 Ссылка на комментарий
red_butler Опубликовано 19 января, 2020 Поделиться Опубликовано 19 января, 2020 Покажите срезы Кт, весь архив мало кто захочет или сможет скачивать Ссылка на комментарий
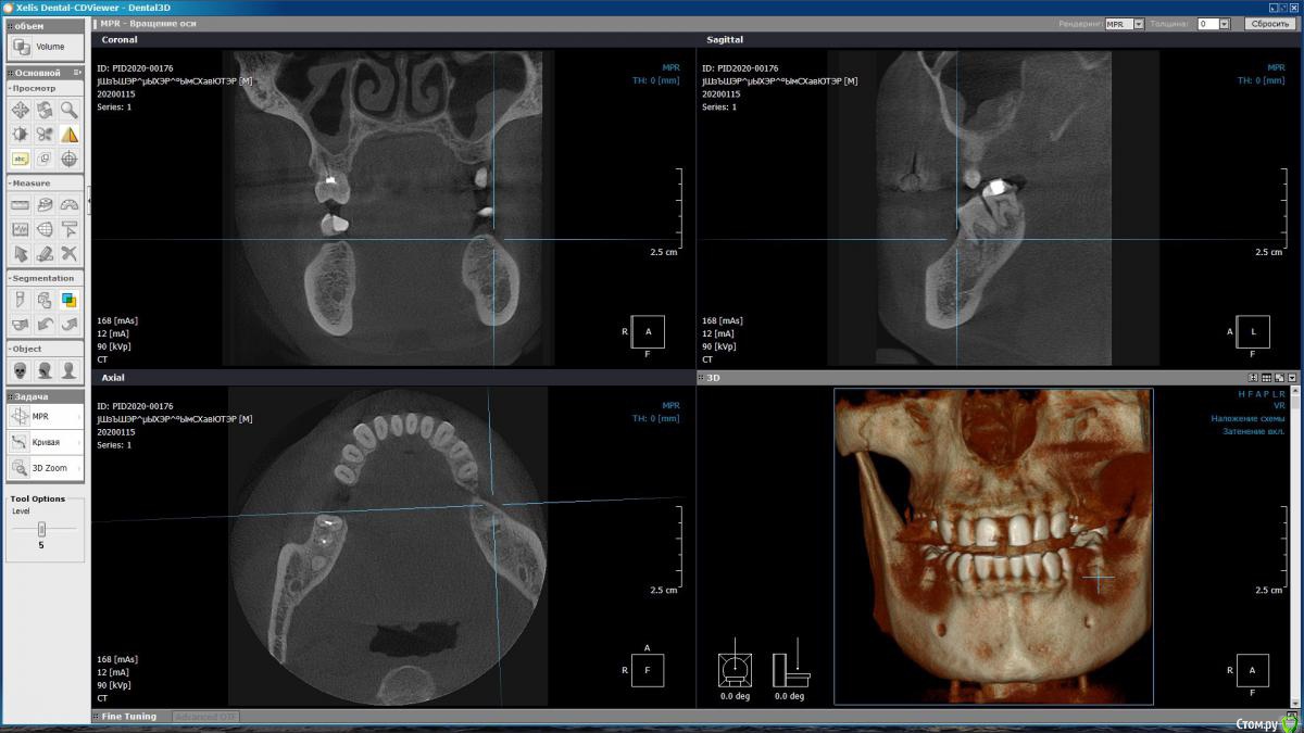
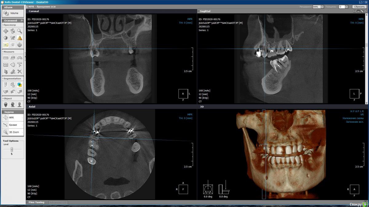
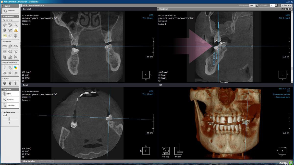
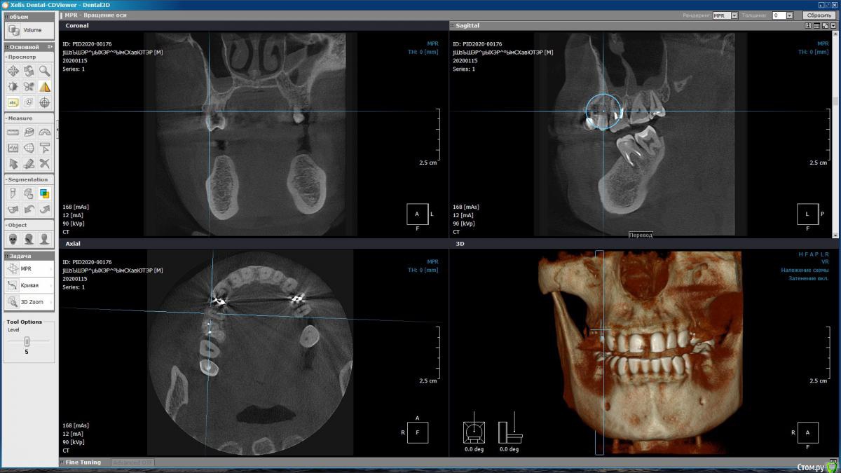
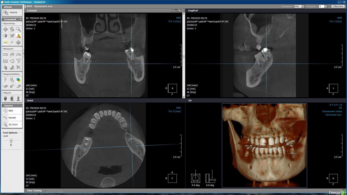
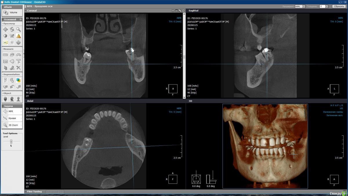
m-e-a Опубликовано 19 января, 2020 Автор Поделиться Опубликовано 19 января, 2020 (изменено) Сделала срезы как смогла, не умею я смотреть КТ Изменено 19 января, 2020 пользователем m-e-a Ссылка на комментарий
red_butler Опубликовано 19 января, 2020 Поделиться Опубликовано 19 января, 2020 На представленных срезах, показаний к удалению не увидел. Нужно смотреть очно и «крутить» Кт Ссылка на комментарий
m-e-a Опубликовано 19 января, 2020 Автор Поделиться Опубликовано 19 января, 2020 Кт есть на ссылке Ссылка на комментарий
Рекомендуемые сообщения
Для публикации сообщений создайте учётную запись или авторизуйтесь
Вы должны быть пользователем, чтобы оставить комментарий
Создать аккаунт
Зарегистрируйте новый аккаунт в нашем сообществе. Это очень просто!
Регистрация нового пользователяВойти
Уже есть аккаунт? Войти в систему.
Войти