It'sGeorgy Опубликовано 15 января, 2020 Поделиться Опубликовано 15 января, 2020 Здравствуйте!На 2ом прикреплении явно следствие, на 3 и 4 - причина. Вижу 2 варианта развития событий:1: Разрезать, отслоиться. Посмотреть что явилось причиной, удалить причину. Начать готовить ложе под имплантат. 4.0 фрезой провалиться в полость кисты, попытаться извлечь ее через ложе. Поставить имплантат.2: Если через ложе извлечь не удастся, то пойти вестибулярным доступом. Извлечь. Графт, мембрана. 5 мес отдыха. Имплантат. Кто подобным уже занимался, подскажите, насколько перспективен первый вариант? Возможно ли по КТ понять что явилось причиной? На корень не особо похоже. Для остеомы тоже нетипичная картина. Ссылка на комментарий
shy Опубликовано 15 января, 2020 Поделиться Опубликовано 15 января, 2020 (изменено) резидуальная пошел бы через вестибулярный доступ , с графтом или без на усмотрение оперирующего . P.S причину уже удалили до Вас Изменено 15 января, 2020 пользователем shy 1 Ссылка на комментарий
It'sGeorgy Опубликовано 15 января, 2020 Автор Поделиться Опубликовано 15 января, 2020 резидуальная пошел бы через вестибулярный доступ , с графтом или без на усмотрение оперирующего . P.S причину уже удалили до Вас Спасибо.Буду рад еще мнениям. Ссылка на комментарий
Irouil Опубликовано 16 января, 2020 Поделиться Опубликовано 16 января, 2020 Откинуть, выскоблить, поставить винт, накрыть мембраной/засыпать по желанию (я бы большой стт апикально к надкостнице его натянул бы на фдм другим концом 1 Ссылка на комментарий
It'sGeorgy Опубликовано 7 февраля, 2020 Автор Поделиться Опубликовано 7 февраля, 2020 (изменено) Заколхозил лоскут => налепил житкотекучего на кость(стрелкой на снимке), чтобы понять там ли планирую пилить, сделал оптг => выпилил => вытащил => через месяц пластика мягких тканей + имплантат. А ментальное отверстие в 2 мм от окна отлично держало меня в тонусе на протяжении все операции. Изменено 7 февраля, 2020 пользователем It'sGeorgy 1 Ссылка на комментарий
Spon Опубликовано 8 февраля, 2020 Поделиться Опубликовано 8 февраля, 2020 Заколхозил лоскут => налепил житкотекучего на кость(стрелкой на снимке), чтобы понять там ли планирую пилить, сделал оптг => выпилил => вытащил => через месяц пластика мягких тканей + имплантат. А ментальное отверстие в 2 мм от окна отлично держало меня в тонусе на протяжении все операции.Все правильноПытаться удалить образование через 4 мм отверстие это заведомо провальная тактика,не получилось бы,маленькое окноКиста рецидивирует если оставить хоть немного оболочки,надо вычищать полностью до гладкой кости Ссылка на комментарий
dr Alexandr Опубликовано 12 февраля, 2020 Поделиться Опубликовано 12 февраля, 2020 Браво, аккуратно выполнено! Ссылка на комментарий
It'sGeorgy Опубликовано 15 мая, 2021 Автор Поделиться Опубликовано 15 мая, 2021 Пациент пропал на год, позвонил в клинику сегодня, отправили на кт. Сказал, на десне какой-то прыщик на десне(скорее всего, причина в этой оставленной штуки в десне) и что-то где-то там болит(сверху пульпит прям над винтом). В прошлых сообщениях забыл указать: графта не было. А вот имплантат откровенно неудачно поставил, надеюсь, десна вывезет. Да и сам имплантат, если бы сейчас ставил, выбрал Штрауманн ТЛ. 1 Ссылка на комментарий
Irouil Опубликовано 15 мая, 2021 Поделиться Опубликовано 15 мая, 2021 А что,собственно, не нравится? Ссылка на комментарий
It'sGeorgy Опубликовано 15 мая, 2021 Автор Поделиться Опубликовано 15 мая, 2021 Только что, Irouil сказал: А что,собственно, не нравится? ну язычнее надо бы...вестибулярная стенка у шейки совсем тонкая. Ну и десны после транспа с бугра много вышло, 5.5 мм по КТ(знаю, что это не всегда соответствует реальности, но все же). В таких случаях стараюсь полированной шейкой поддесневую часть выполнять, ибо любая недополировка абатмента или поддесневой части коронки будет критична. Ссылка на комментарий
Irouil Опубликовано 16 мая, 2021 Поделиться Опубликовано 16 мая, 2021 У вас по КТ и над зубами десны по пару мм. да и ничего плохого в 5 мм не было бы. Во первых, всегда можно использовать абатменты с высокой шейкой, а во вторых очень редко когда нельзя все это расформировать в широкий контур прорезывания временной коронкой. С костью все нормально, имхо 1 Ссылка на комментарий
It'sGeorgy Опубликовано 16 мая, 2021 Автор Поделиться Опубликовано 16 мая, 2021 6 часов назад, Irouil сказал: У вас по КТ и над зубами десны по пару мм. Таки да, не заметил посмотрим на этапе фдм что там с десной в итоге. 6 часов назад, Irouil сказал: а во вторых очень редко когда нельзя все это расформировать в широкий контур прорезывания временной коронкой. Обсудим этот момент с ортопедом, спасибо. Ссылка на комментарий
Raystom Опубликовано 16 мая, 2021 Поделиться Опубликовано 16 мая, 2021 (изменено) На общей ниве задам вопрос. Как правильно поступить, засверлиться медиальнее или засверлиться, ушить, подождать 3 недели и установить имплантат. Со слов в этом месте 1.5 года назад удаляли резорциненный 36. По КТ не видно рельефа кости в общем и есть эностоз в середине. Ортодонтически пытались двигать 37, 38 вперёд - не выходит. Изменено 16 мая, 2021 пользователем Raystom Ссылка на комментарий
It'sGeorgy Опубликовано 16 мая, 2021 Автор Поделиться Опубликовано 16 мая, 2021 Вы вот так ставить планируете? Если да, то, имхо, немного смысла в предварительном препарировании. Вы весь этот остеоид высверлите практически. Ссылка на комментарий
Raystom Опубликовано 16 мая, 2021 Поделиться Опубликовано 16 мая, 2021 В том-то и дело, что не весь, а дистальная стенка имплантата будет в контакте с образованием Ссылка на комментарий
Женька Опубликовано 16 мая, 2021 Поделиться Опубликовано 16 мая, 2021 Это же кость, разве нет? почему бы не относится к ней как к кортикальному слою? Ссылка на комментарий
Raystom Опубликовано 16 мая, 2021 Поделиться Опубликовано 16 мая, 2021 2 часа назад, Женька сказал: Это же кость, разве нет? почему бы не относится к ней как к кортикальному слою? В принципе так и думал, но смущает пару моментов, получу ли я не только механическую стабильность, а ещё и последующую интеграцию при одномоментном подходе и смущает островок плотной кости на фоне крупноячеистой кости. В остальных участках кость выглядит как D2 на всем протяжении Ссылка на комментарий
АнтонТЛТ Опубликовано 16 мая, 2021 Поделиться Опубликовано 16 мая, 2021 Кровь все равно будет в этой области, поэтому интеграция будет) Если ссыкатно, то первым этапом препарирование ложа, через 1,5-2 месяца установка имплантата в свежую кость. 1 1 1 Ссылка на комментарий
Lyubanya Опубликовано 18 мая, 2021 Поделиться Опубликовано 18 мая, 2021 Доброго времени суток! Кто подскажет что это за образование? Ссылка на комментарий
Estes Опубликовано 22 мая, 2021 Поделиться Опубликовано 22 мая, 2021 Может быть, это остеома? Но почему тогда кортикалка замещена ей? Можно при удалении материал отправить на исследование, и там уточнить уже? Ссылка на комментарий
Irouil Опубликовано 22 мая, 2021 Поделиться Опубликовано 22 мая, 2021 Похоже на цементному, на мой взгляд 1 Ссылка на комментарий
Raystom Опубликовано 22 мая, 2021 Поделиться Опубликовано 22 мая, 2021 3 часа назад, Irouil сказал: Похоже на цементному, на мой взгляд Каковы особенности удаления, если такой зуб приходится удалять по показаниям? Ссылка на комментарий
Irouil Опубликовано 22 мая, 2021 Поделиться Опубликовано 22 мая, 2021 34 минуты назад, Raystom сказал: Каковы особенности удаления, если такой зуб приходится удалять по показаниям? Не могу ничего авторитетно утверждать (не приходилось иметь дела), но я бы полностью удалил и отправил на гисту 1 Ссылка на комментарий
kriokov Опубликовано 31 мая, 2021 Поделиться Опубликовано 31 мая, 2021 зуб витальный? Ссылка на комментарий
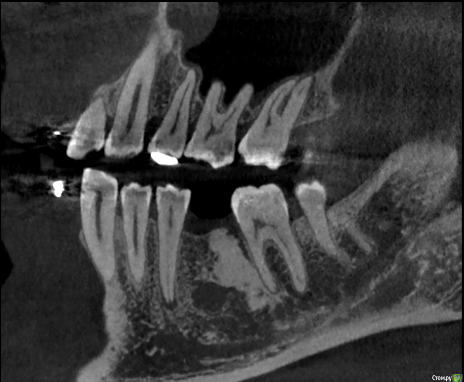
It'sGeorgy Опубликовано 25 марта, 2022 Автор Поделиться Опубликовано 25 марта, 2022 Доброго времени суток, коллеги! Снова резидуальная или придумываю? Или тут не начав препарировать и не поймешь? Ссылка на комментарий
Рекомендуемые сообщения
Для публикации сообщений создайте учётную запись или авторизуйтесь
Вы должны быть пользователем, чтобы оставить комментарий
Создать аккаунт
Зарегистрируйте новый аккаунт в нашем сообществе. Это очень просто!
Регистрация нового пользователяВойти
Уже есть аккаунт? Войти в систему.
Войти