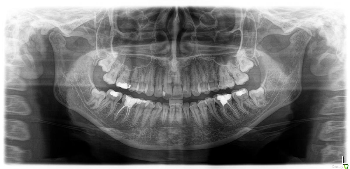
София21 Опубликовано 14 января, 2020 Поделиться Опубликовано 14 января, 2020 (изменено) Здраствуйте. Пишу потому что не могу уже терпеть эту боль. 19 декабря удалила верхнюю 8ку, а 26 декабря нижнюю 8ку. И все это время на обезбаливающих сижу. Потому что без них на стену лезть охота. После удаления верхнего зуба швы не накладивали, и сгусток кровяной там не образовался, 2 раза делали чистку (закладывали лекарсто, на ренгене его видно). Когда нижний удаляли, то зашывали кетгутом дыру. Приписали антибиотики сначала одни, потом другой через неделю. Аугментин а потом Далацин Ц. Болит вся правая половина и все зубы. (и передный, который депульпирован). Когда эти муки прекрататся? Есть два снимка до удаления и после (сделан 12 января). Удаляли зубы долотом, и сверлили очень много бор машиной по кругу . Еще 2 надо удалить но уже боюсь.(((( Изменено 14 января, 2020 пользователем София21 Ссылка на комментарий
Irouil Опубликовано 14 января, 2020 Поделиться Опубликовано 14 января, 2020 Неплохо бы снимок во рту. Скорее всего сгусток не сформировался и внизу, надо медикаментозно пролечить альвеолит, чистить я бы не рекомендовал, промыть лунку антисептиком (можно и самостоятельно из шприца со сломанной и загнутой иголкой, раствором Хлоргексидина 0.05%, потом заложить повязку Метрогилом дента, к примеру), но лучше всего показаться врачу, описанное Вами состояние не нормально на этом этапе реабилитации Ссылка на комментарий
София21 Опубликовано 14 января, 2020 Автор Поделиться Опубликовано 14 января, 2020 Неплохо бы снимок во рту. Скорее всего сгусток не сформировался и внизу, надо медикаментозно пролечить альвеолит, чистить я бы не рекомендовал, промыть лунку антисептиком (можно и самостоятельно из шприца со сломанной и загнутой иголкой, раствором Хлоргексидина 0.05%, потом заложить повязку Метрогилом дента, к примеру), но лучше всего показаться врачу, описанное Вами состояние не нормально на этом этапе реабилитации Самостоятельно промываю Хлоргексидином 0.05% , и врач промывал . И врач не видит причини, я к ними чуть ли не каждый день хожу( Я пропила два антибиотика. И лекарство с йодом закладывал Ссылка на комментарий
София21 Опубликовано 14 января, 2020 Автор Поделиться Опубликовано 14 января, 2020 Неплохо бы снимок во рту. Скорее всего сгусток не сформировался и внизу, надо медикаментозно пролечить альвеолит, чистить я бы не рекомендовал, промыть лунку антисептиком (можно и самостоятельно из шприца со сломанной и загнутой иголкой, раствором Хлоргексидина 0.05%, потом заложить повязку Метрогилом дента, к примеру), но лучше всего показаться врачу, описанное Вами состояние не нормально на этом этапе реабилитациидва снимка више есть, до удаления и после Ссылка на комментарий
София21 Опубликовано 14 января, 2020 Автор Поделиться Опубликовано 14 января, 2020 Неплохо бы снимок во рту. Скорее всего сгусток не сформировался и внизу, надо медикаментозно пролечить альвеолит, чистить я бы не рекомендовал, промыть лунку антисептиком (можно и самостоятельно из шприца со сломанной и загнутой иголкой, раствором Хлоргексидина 0.05%, потом заложить повязку Метрогилом дента, к примеру), но лучше всего показаться врачу, описанное Вами состояние не нормально на этом этапе реабилитациимне еще по две гемостатические губки ставили в лунки после удаления Ссылка на комментарий
Irouil Опубликовано 15 января, 2020 Поделиться Опубликовано 15 января, 2020 два снимка више есть, до удаления и после Снимок во рту - это фотография. Неплохо бы проверить наличие пульпита на любом из зубов с правой стороны полости рта Можете попробовать сходить на консультацию ещё к кому-нибудь Ссылка на комментарий
София21 Опубликовано 15 января, 2020 Автор Поделиться Опубликовано 15 января, 2020 Снимок во рту - это фотография.Неплохо бы проверить наличие пульпита на любом из зубов с правой стороны полости ртаМожете попробовать сходить на консультацию ещё к кому-нибудь 6 сверху разбурили и заложили лекарство, все ровно все болит и дальше. Ссылка на комментарий
Рекомендуемые сообщения
Для публикации сообщений создайте учётную запись или авторизуйтесь
Вы должны быть пользователем, чтобы оставить комментарий
Создать аккаунт
Зарегистрируйте новый аккаунт в нашем сообществе. Это очень просто!
Регистрация нового пользователяВойти
Уже есть аккаунт? Войти в систему.
Войти