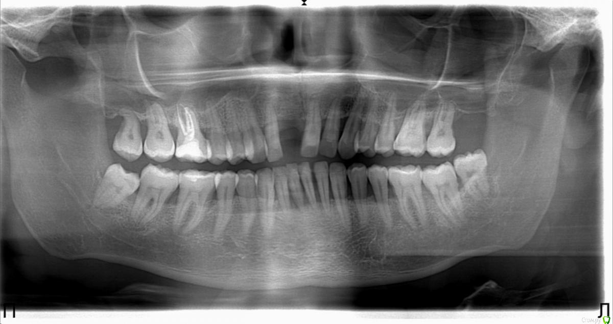
serg174 Опубликовано 14 января, 2020 Поделиться Опубликовано 14 января, 2020 Здравствуйте. Год назад потерял передний зуб, решил вставить имплант перед этим пролечить все проблемные зубы и сделать проф. чистку. Пролечили мне верхние 6 (верхнюю левую просто убрали кариес и запломбировали, верхнюю правую лечили, ставили лекарство на 2 дня с временной пломбой). Потом так получилось что пришлось сделать шинирование нижних передних зубов. После этого спустя примерно пол года над пролеченными зубами начали вспухать дёсна. Вообще меня сейчас беспокоит верхняя левая 6, она не болит НО десна над неё как бы припухшая (и отдаёт каким то жужжанием в область виска). Делал КТ височных костей, ничего серьёзного не нашли. Ссылка на комментарий
колесников Опубликовано 15 января, 2020 Поделиться Опубликовано 15 января, 2020 Здравствуйте! Верхнюю правую восьмерку удалить. Провести диагностику окклюзии. Проф гигиена и контроль через 3 мес. Делать проф гигиены не реже чем раз в 4-6мес. Использовать ирригатор и ёршики каждый день как доп средства гигиены. Пасты с антисептиками (типа эльгидиум). Внутрь Витаминотерапия (особенно С). Уезжать из Челябинска как можно скорее,эта местность ,вода и климат вредят вашим дёснам. 1 Ссылка на комментарий
serg174 Опубликовано 15 января, 2020 Автор Поделиться Опубликовано 15 января, 2020 колесников, спасибо большое за уделённое время. Ссылка на комментарий
red_butler Опубликовано 15 января, 2020 Поделиться Опубликовано 15 января, 2020 Все восьмые зубы удалять Ссылка на комментарий
Рекомендуемые сообщения
Для публикации сообщений создайте учётную запись или авторизуйтесь
Вы должны быть пользователем, чтобы оставить комментарий
Создать аккаунт
Зарегистрируйте новый аккаунт в нашем сообществе. Это очень просто!
Регистрация нового пользователяВойти
Уже есть аккаунт? Войти в систему.
Войти