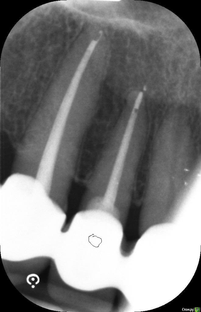
ellenchik Опубликовано 14 января, 2020 Поделиться Опубликовано 14 января, 2020 Уважаемые Доктора, очень прошу Вашего совета по рентг. снимку. Болит зуб высоко вверху над десной. (отмечен кружочком) Боль усиливается при нажатии точки между этим, с запломбированным каналом зубом и зубом без пломбировки рядом. Вопросы1). Воспаление в корнях?2). Резекция корня?3). Курс антибиотиков?Ну очень важно Ваше мнение! Что можно сказать по снимку?Просьба к модераторам - не закрывать ветку (т.к. я задавала этот вопрос в "Терапии" . Но никто не ответил) Наверно это всё же хирургическая тема.С уважением Елена Ссылка на комментарий
hogsmeed Опубликовано 14 января, 2020 Поделиться Опубликовано 14 января, 2020 Каналы лечены давно? Ссылка на комментарий
ellenchik Опубликовано 14 января, 2020 Автор Поделиться Опубликовано 14 января, 2020 Каналы лечены давно?лечены лет 8 назад,перелечены под коронки 4,5 г. назад. Спасибо что откликнулись! Есть рентген после перелечивания. Ссылка на комментарий
hogsmeed Опубликовано 14 января, 2020 Поделиться Опубликовано 14 января, 2020 Выглядит все хорошо, патологии не видноНПВС снимают боль? Ссылка на комментарий
ellenchik Опубликовано 14 января, 2020 Автор Поделиться Опубликовано 14 января, 2020 :-) обнадежили. Да, 2 дня принимала Ибупрофен 400 х 3 р. в день. Успокоился. Но вот спустя еще 2 дня опять заболел. Сейчас снова принимаю Ибу 400. Ссылка на комментарий
hogsmeed Опубликовано 14 января, 2020 Поделиться Опубликовано 14 января, 2020 А стоматолог вам что подсказал? Ссылка на комментарий
ellenchik Опубликовано 14 января, 2020 Автор Поделиться Опубликовано 14 января, 2020 Стоматолог с микроскопом предложил резекцию верхушки причинного зуба и заодно открыть лоскут и глянуть рядом стоящий с пролеченным каналом. Я спросила про антибиотикии пока подождать с резекцией. Сказал- тоже можно. А резекцию лучше у хирурга делать,если что? Ссылка на комментарий
hogsmeed Опубликовано 14 января, 2020 Поделиться Опубликовано 14 января, 2020 Только мое мнениеЗаменить ибупрофен на кетонал на 3 дня - посмотреть, если не сработает, антибиотик на 5 дней - посмотреть, еслм не сработает сделать КТ (для резекции все равно желательно) - и решить вопрос с верхушкой. Ссылка на комментарий
ellenchik Опубликовано 14 января, 2020 Автор Поделиться Опубликовано 14 января, 2020 Спасибо Вам большое за Ваше мнение и за Ваш план лечения! А верхушку в случае резекции "сносить" причинного зуба? Другой не трогать? И это может также также стоматолог - эндодонтист сделать? Или искать хирурга ? Ссылка на комментарий
hogsmeed Опубликовано 14 января, 2020 Поделиться Опубликовано 14 января, 2020 Обычно это делает хирург и не всегда нужно сносить, нужно посмотреть кт Ссылка на комментарий
ellenchik Опубликовано 14 января, 2020 Автор Поделиться Опубликовано 14 января, 2020 Благодарю Вас, hogsmeed, что уделили мне внимание ! Очень помогли разобраться в ситуации. Ссылка на комментарий
Irouil Опубликовано 14 января, 2020 Поделиться Опубликовано 14 января, 2020 Делайте кт, есть вопросы к зубам 1 Ссылка на комментарий
ellenchik Опубликовано 14 января, 2020 Автор Поделиться Опубликовано 14 января, 2020 делать КТ этих 2 х зубов с пролеченными каналами? Спасибо Ссылка на комментарий
Irouil Опубликовано 15 января, 2020 Поделиться Опубликовано 15 января, 2020 Этих 3 либо всей челюсти, либо обеих челюстей - это уж на Ваш выбор Ссылка на комментарий
Zlata-doctor Опубликовано 15 января, 2020 Поделиться Опубликовано 15 января, 2020 когда делался этот снимок?Я считаю, что пока о резекции говорить рано, на представленном снимке имеются некоторые признаки переапикальной патологии ( прерывается периодонтальная щель в области верхушки корня зуба), но четко процесс не визуализируется. Сделайте , как вам здесь посоветовали, КТ). Но если уж придется делать, то ( мое мнение) ЛУЧШЕ сделать у специалиста-эндодонта, который владеет также эндодонтической хирургией ( апикальной хирургией). Ссылка на комментарий
ellenchik Опубликовано 15 января, 2020 Автор Поделиться Опубликовано 15 января, 2020 когда делался этот снимок?Я считаю, что пока о резекции говорить рано, на представленном снимке имеются некоторые признаки переапикальной патологии ( прерывается периодонтальная щель в области верхушки корня зуба), но четко процесс не визуализируется. Сделайте , как вам здесь посоветовали, КТ). Но если уж придется делать, то ( мое мнение) ЛУЧШЕ сделать у специалиста-эндодонта, который владеет также эндодонтической хирургией ( апикальной хирургией). Снимок свежий-08.01.2020 Врач прописал пока Амоксиклав на 5 дней. КТ постараюсь на след. неделе сделать. Большое спасибо всем Докторам за ответы! 1 Ссылка на комментарий
ellenchik Опубликовано 2 февраля, 2020 Автор Поделиться Опубликовано 2 февраля, 2020 Снимок свежий-08.01.2020 Врач прописал пока Амоксиклав на 5 дней. КТ постараюсь на след. неделе сделать. Большое спасибо всем Докторам за ответы!Доброго дня! Антибиотик к сожалению не помог :-( Болит по прежнему. Сделала КТ верхней челюсти. Врач крутил-смотрел. Ничего определенного не сказал-отправил к хирургу. Ну вот к сожалению, не умею я делать срезы с КТ. Могу только ссылку выложить. С удовольствием бы оплатила консультацию по КТ. Если кто-то откликнется в личку , буду очень признательна. Ну очень надо! Помогите плиииззз. https://dropmefiles.com/f60S3 . Или посоветуйте, к кому можно на форуме обратиться Ссылка на комментарий
wladdX Опубликовано 3 февраля, 2020 Поделиться Опубликовано 3 февраля, 2020 А это точно Ваша КТ? Непохоже на то, что на прицельном снимке. Ссылка на комментарий
Bier Опубликовано 3 февраля, 2020 Поделиться Опубликовано 3 февраля, 2020 Безымянный.jpg А это точно Ваша КТ? Непохоже на то, что на прицельном снимке.согласен, что-то не то Ссылка на комментарий
ellenchik Опубликовано 3 февраля, 2020 Автор Поделиться Опубликовано 3 февраля, 2020 Спасибо огромное,что посмотрели ....хмм.., доктор перекинул на мою флешку. Думаю,что моя. Посмотрела на срез в сообщении № 18 от wladdX. Это левая сторона верхней челюсти с имплантами.А проблема и снимок прицельный с правой стороны. Рядом стоящие резец и клык - оба с пролеченными корнями. В этой стороне боль "гуляет" И непонятно , какой зуб дает такую реакцию . Посмотрите еще ,пожалуйста. Ссылка на комментарий
ellenchik Опубликовано 3 февраля, 2020 Автор Поделиться Опубликовано 3 февраля, 2020 Можно задам еще попутный вопрос по левой стороне с имплантами, А этот витальный клык возле импланта в порядке? он временами беспокоит - побаливает. Ссылка на комментарий
wladdX Опубликовано 5 февраля, 2020 Поделиться Опубликовано 5 февраля, 2020 На данном КЛКТ поместился только зуб 11 (верхний центральный резец справа), а на прицельном зубы 12 и 13 (боковой резец и клык), получается, что зона интереса в исследование не включена.Зуб 23 (клык слева) на КТ вроде бы без особенностей. Ссылка на комментарий
ellenchik Опубликовано 5 февраля, 2020 Автор Поделиться Опубликовано 5 февраля, 2020 На данном КЛКТ поместился только зуб 11 (верхний центральный резец справа), а на прицельном зубы 12 и 13 (боковой резец и клык), получается, что зона интереса в исследование не включена.Зуб 23 (клык слева) на КТ вроде бы без особенностей.Спасибо wladdX, что смотрите и комментируете !...хмм, вот это сюрприз неожиданный. Просила врача всю верхнюю челюсть сделать. А тут оказывается и причинные зуббки не попали :-( Буду с врачом созваниваться. Ссылка на комментарий
ellenchik Опубликовано 5 февраля, 2020 Автор Поделиться Опубликовано 5 февраля, 2020 Спасибо wladdX, что смотрите и комментируете !...хмм, вот это сюрприз неожиданный. Просила врача всю верхнюю челюсть сделать. А тут оказывается и причинные зуббки не попали :-( Буду с врачом созваниваться. ...или Вы имеете ввиду Ваш пост 18 и срез КТ по левой челюсти? ...может там еще и правая часть где-то есть :-) (шучу конечно, но честно говоря, удивлена) Ссылка на комментарий
ellenchik Опубликовано 7 февраля, 2020 Автор Поделиться Опубликовано 7 февраля, 2020 Доброго всем дня, дорогие Доктора! Получила от врача КТ всей верхней челюсти. Посмотрите еще раз,пожалуйста. Область 11-12-13 зубов. Надеюсь правильные номера. ( 12-13 депульпированные.) Спасибо большое всем откликнувшимся!https://dropmefiles.com/MtIoI Ссылка на комментарий
Рекомендуемые сообщения
Для публикации сообщений создайте учётную запись или авторизуйтесь
Вы должны быть пользователем, чтобы оставить комментарий
Создать аккаунт
Зарегистрируйте новый аккаунт в нашем сообществе. Это очень просто!
Регистрация нового пользователяВойти
Уже есть аккаунт? Войти в систему.
Войти