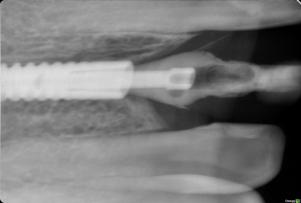
Оле Опубликовано 11 января, 2020 Поделиться Опубликовано 11 января, 2020 Здравствуйте! Коронка временная, осенью заметила подтекание гноя, пошла в клинику - снимок, сказали, что все ок, посоветовали заменить временную коронку на другую временную, так как эта уже стоит давно (прохожу лечение, пока не могу поставить постоянную).Пользуюсь ирригатором, перешла на насадку для промывания карманов, добавляю в воду ротокан.Гной продолжал выделяться. Снова пошла в клинику, к ортопеду, с просьбой заменить коронку. Ортопед сделала снимок и отказала - мол, зачем тратить деньги, коронка стабильна, стоит хорошо, имплант в порядке, ходите с этой. Мол, "не трогай лихо, пока оно тихо".Но гной продолжает выделяться. Цвет десны спокойный. Как поступить? Меня беспокоит и выделение, и запах. Может, я мнительная, и связи нет, но последние две недели болезненное состояние, горло и нос (выделения без заложенности), облегчилось антибиотиками после первой же таблетки, но симптомы не пропали (на них уже 6 дней) . Ссылка на комментарий
kramer Опубликовано 11 января, 2020 Поделиться Опубликовано 11 января, 2020 Когда имплантация была? Ссылка на комментарий
Оле Опубликовано 11 января, 2020 Автор Поделиться Опубликовано 11 января, 2020 Когда имплантация была?4+ года назад. Ссылка на комментарий
red_butler Опубликовано 11 января, 2020 Поделиться Опубликовано 11 января, 2020 4+ года назад.Меняйте на постоянную Ссылка на комментарий
Оле Опубликовано 11 января, 2020 Автор Поделиться Опубликовано 11 января, 2020 Ортодонтия сейчас, прикус поднимают, выравнивают. и потом протезирование боковых уже надо. То есть с временным мне ещё год-полтора. Но столько времени с запахом и подтеканием... Это ужас.С костью действительно все в порядке? Поможет ли смена временной коронки? Постоянную док тоже отказался ставить, сказал, что до конца ортодонтии это потеря денег, прикус меняется, и нагрузка большая на этот зуб сейчас. Ссылка на комментарий
Рекомендуемые сообщения
Для публикации сообщений создайте учётную запись или авторизуйтесь
Вы должны быть пользователем, чтобы оставить комментарий
Создать аккаунт
Зарегистрируйте новый аккаунт в нашем сообществе. Это очень просто!
Регистрация нового пользователяВойти
Уже есть аккаунт? Войти в систему.
Войти