Перейти к содержанию
Стоматология для всех

что означает снимок зуба?


Vrode

Рекомендуемые сообщения

Здравствуйте!

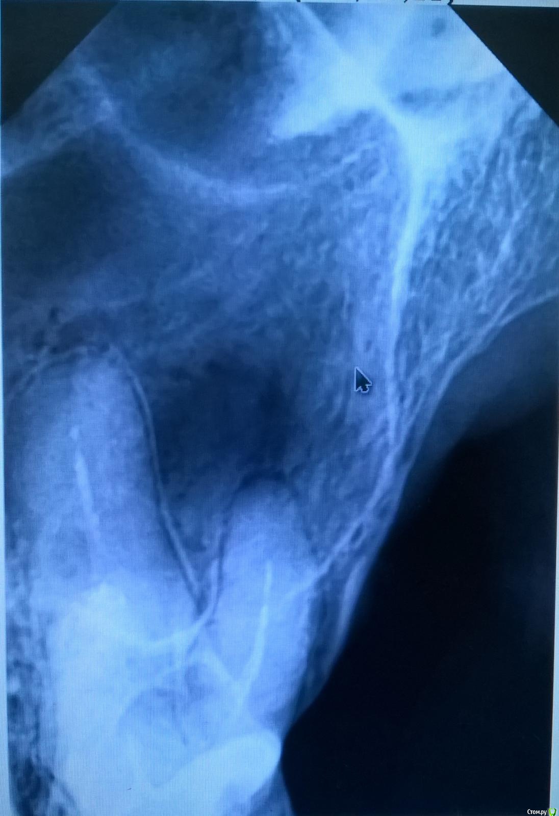
Дней 5-6 назад у меня на одном зубе (номер 25 или 26) слетела коронка, поначалу она шаталась дней 5,а  потом слетела, зуб (или точнее, его остатки) не болит вообще.

Вчера ходил в частную зубную поликлинику. Они сделали снимок, и посмотрев на него, не смогли определить, можно ли ставить коронку снова или нет. Поскольку, по их словам, между корнями зубов, возможно, образовалось некое плохое образование (возможно, киста или что-то ещё), и по сему, они точно не уверены, что нужно делать, либо лечить, либо ещё что-то делать.

Смотревшие сей снимок врачи не уверены, посоветовали спросить у ещё кого-то, либо сделать компьютерное 3D моделирование (но это дополнительные рублей тыща).

 

Заранее благодарен за любые ответы- советы))

 

post-59527-0-19594000-1578647819_thumb.jpg

Изменено пользователем Vrode
Ссылка на комментарий

Для публикации сообщений создайте учётную запись или авторизуйтесь

Вы должны быть пользователем, чтобы оставить комментарий

Создать аккаунт

Зарегистрируйте новый аккаунт в нашем сообществе. Это очень просто!

Регистрация нового пользователя

Войти

Уже есть аккаунт? Войти в систему.

Войти
×
×
  • Создать...
Вверх