Перейти к содержанию
Стоматология для всех

Удаление 26 из-за кисты


Ольга Носова

Рекомендуемые сообщения

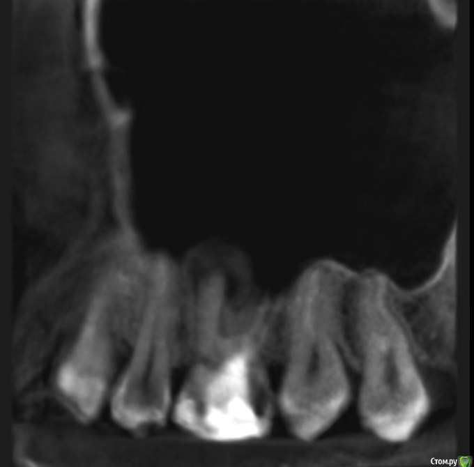
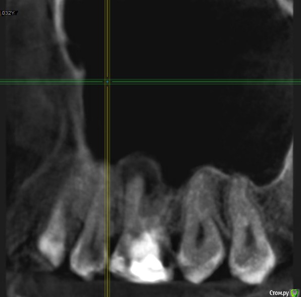
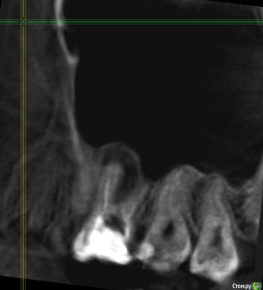
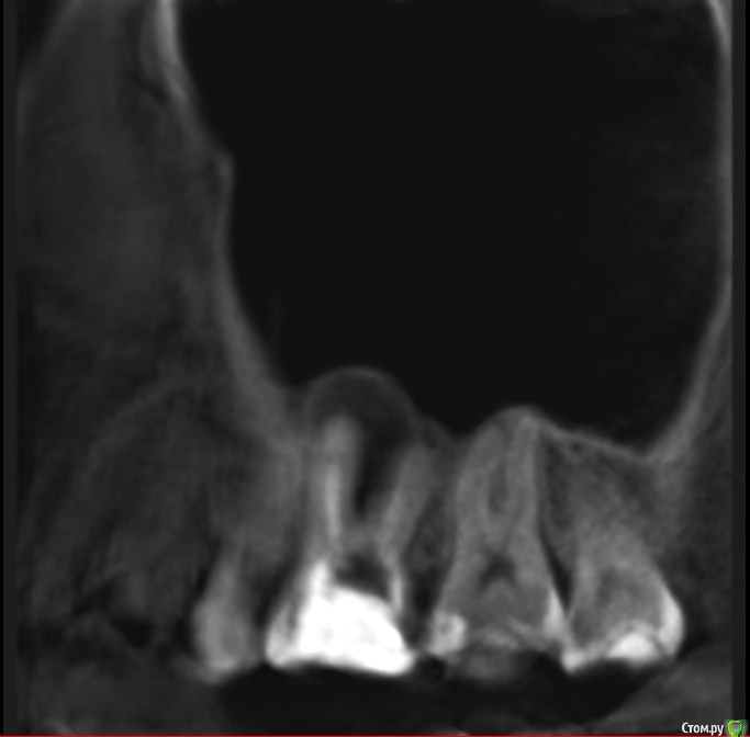
Здравствуйте! Мне показано удаление из-за кисты.

Беспокоит зуб очень редко: при жевании жесткого возникает боль, затем ноет, даже больше пульсирует, а потом еще как бы чешется внутри, где десна. Бывает, что левая ноздря-пазуха как бы "пощипывает", и как бы подзакладывает, но при этом нос дышит нормально.    

Собираюсь, не откладывая до прорыва в гайморову пазуху, обратиться за лечением-решением этого моего вопроса со здоровьем.

 

Подскажите, пожалуйста, точно удалять? Как принять это решение, все таки надежда на какой то другой лечебный вариант теплится =)post-59509-0-08196600-1578493080_thumb.jpgpost-59509-0-63211400-1578493088_thumb.jpgpost-59509-0-77705800-1578493096_thumb.jpgpost-59509-0-02698500-1578493106_thumb.jpgpost-59509-0-04880900-1578493120_thumb.jpgpost-59509-0-11411000-1578493128_thumb.jpg

Ссылка на комментарий

Найдите терапевта, занимающегося эндодонтическим лечением зубов с использованием микроскопа. Окончательный вердикт все равно можно выдать только взглянув через увеличение в сам зуб.

 

По представленным срезам создаётся впечатление, что лечение вполне возможно

Изменено пользователем Irouil
  • Поддерживаю 2
Ссылка на комментарий

Для публикации сообщений создайте учётную запись или авторизуйтесь

Вы должны быть пользователем, чтобы оставить комментарий

Создать аккаунт

Зарегистрируйте новый аккаунт в нашем сообществе. Это очень просто!

Регистрация нового пользователя

Войти

Уже есть аккаунт? Войти в систему.

Войти
×
×
  • Создать...
Вверх