Kattys Опубликовано 6 января, 2020 Поделиться Опубликовано 6 января, 2020 Добрый день!такой вопрос...Болел зуб со старой пломбой после сладкого и соленого 6 ,рядом пятый тоже был с кариесом ,но не болел,сделали сначала пятерку,т.к. там был больше кариес,и 6 стал болеть еще больше,через неделю сделали шестой,но до сих пор периодически побаливает, есть подозрения что оставили старую пломбу,середину , а сделали только бока ,на снимке есть подозрение что остался кариес под пломбой?на снимке немного темное пятно под пломбой , или я ошибаюсь? после пасты от чувствительности зубов стал еще больше сегодня побаливать. Ссылка на комментарий
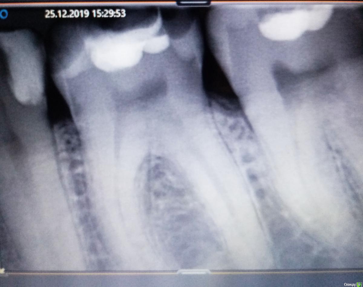
red_butler Опубликовано 6 января, 2020 Поделиться Опубликовано 6 января, 2020 Это снимок до лечения? Ссылка на комментарий
Kattys Опубликовано 6 января, 2020 Автор Поделиться Опубликовано 6 января, 2020 (изменено) нет конечно ,это после лечения,через месяц.уже прошел месяц с тех пор.,а почему бока не белые как пломба посередине? зуб который на снимке в центре,еще видно пятый частично,но там сбоку видно белая пломба ,все хорошо без потемнения Изменено 6 января, 2020 пользователем Kattys Ссылка на комментарий
red_butler Опубликовано 6 января, 2020 Поделиться Опубликовано 6 января, 2020 Покажите фото во рту Ссылка на комментарий
Kattys Опубликовано 6 января, 2020 Автор Поделиться Опубликовано 6 января, 2020 шестерка правее,пятый пломба на контакте с шестым Ссылка на комментарий
red_butler Опубликовано 6 января, 2020 Поделиться Опубликовано 6 января, 2020 С поправкой на качество снимков, я бы рекомендовал для начала вылечить кариес на 7 зубеЧто говорит Ваш врач? Ссылка на комментарий
Kattys Опубликовано 6 января, 2020 Автор Поделиться Опубликовано 6 января, 2020 С поправкой на качество снимков, я бы рекомендовал для начала вылечить кариес на 7 зубеЧто говорит Ваш врач?какой седьмой ? я спрашиваю про шестой,на снимке он по центру,под пломбой вроде есть затемнение? про седьмой мне вообще слова не сказали врачи Ссылка на комментарий
red_butler Опубликовано 6 января, 2020 Поделиться Опубликовано 6 января, 2020 какой седьмой ? я спрашиваю про шестой,на снимке он по центру,под пломбой вроде есть затемнение? про седьмой мне вообще слова не сказали врачиНа боковой поверхности седьмого зуба кариес. Ссылка на комментарий
red_butler Опубликовано 6 января, 2020 Поделиться Опубликовано 6 января, 2020 Для ответов на Ваши вопросы нужен очный осмотр и нормальные снимки. Пока данных мало, а возможных причин боли и их решения много. Ссылка на комментарий
Kattys Опубликовано 7 января, 2020 Автор Поделиться Опубликовано 7 января, 2020 про 7 я спрошу еще раз у врача,а под пломбой 6 есть ли проблема? Ссылка на комментарий
red_butler Опубликовано 7 января, 2020 Поделиться Опубликовано 7 января, 2020 про 7 я спрошу еще раз у врача,а под пломбой 6 есть ли проблема? Снимок нужно переделать, зуб сняли не полностью Ссылка на комментарий
Kattys Опубликовано 7 января, 2020 Автор Поделиться Опубликовано 7 января, 2020 Снимок нужно переделать, зуб сняли не полностьюкак так не полностью сняли? все видно ,от корня до верха ,а что еще не видно? Ссылка на комментарий
Kattys Опубликовано 8 января, 2020 Автор Поделиться Опубликовано 8 января, 2020 (изменено) подскажите, видно 6 зуб на снимке??а 7 если есть кариес то совсем мало и не видно,поэтому врач не сказал Изменено 8 января, 2020 пользователем Kattys Ссылка на комментарий
Рекомендуемые сообщения
Для публикации сообщений создайте учётную запись или авторизуйтесь
Вы должны быть пользователем, чтобы оставить комментарий
Создать аккаунт
Зарегистрируйте новый аккаунт в нашем сообществе. Это очень просто!
Регистрация нового пользователяВойти
Уже есть аккаунт? Войти в систему.
Войти