Перейти к содержанию
Стоматология для всех

Болезненная перкуссия


Bors

Рекомендуемые сообщения

Здравствуйте!
Больше года ношу брекеты, недавно была имплантация, а значит при удачном раскладе весной будет снятие брекетов и протезирование.

Почти год допекает 11-й зуб. Прошлой осенью пролечили глубокий кариес и сделали реставрацию, затем зуб начал ныть и в феврале этого года его депульпировали. Зуб успокаивался очень долго, месяцев 5, если не больше. Беспокоила именно боль при постукивании/надавливании, сам по себе зуб никогда больше не болел. На вертикальное надавливание реакции нет, а вот при горизонтальное, когда как бы раскачиваешь зуб на или от себя, реакция есть. Достаточно даже просто задеть губой брекет на этом зубе. Флосс между 11 и 12 протискивается с теми же неприятными ощущениями. После очередных активаций у ортодонта зуб первую неделю при прикосновении болит пуще прежнего, а затем опять успокаивается до текущего уровня.

Ни один терапевт при просмотре КТ и снимков ничего не находил, кроме материала за верхушкой. Никакого смысла перелечивать не видят. Чувствительность чаще всего списывают на нагрузку от брекетов, но за последний месяц я дважды оставался без дуги и никаких изменений в чувствительности нет.

Как по мне, то перспективы сомнительные. Зуб идёт под протезирование, а значит в случае проблем его просто так уже не перелечишь. Хочется заранее заняться этим зубом, чтобы потом не оказалось, что в нём на самом деле какая-нибудь трещина или перфорация.

 

В чём может быть причина такой реакции зуба на надавливание? Есть ли смысл делать КТ конкретно этого сегмента (будет ли больше информативность)? 

Заранее благодарен.

 

КТ на облаке (445 Мб) - https://cloud.mail.ru/public/woLr/qTpX69i4r Срезы для передних зубов, к сожалению, делать не умею.

post-56476-0-50062500-1577372618_thumb.jpg

Изменено пользователем Bors
Ссылка на комментарий

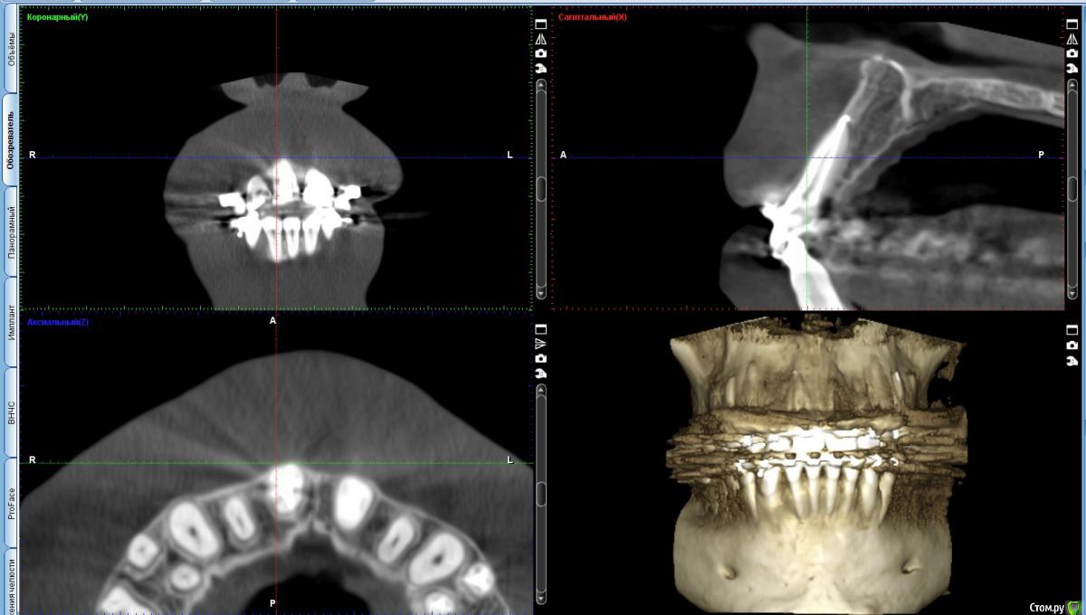
Прикрепляю срез. Видно материал на верхушке. Но болезненная перкуссия в таких случаях вроде как при вертикальных нагрузках, а не горизонтальных.

post-56476-0-05198500-1577426209_thumb.jpg

Ссылка на комментарий

Для публикации сообщений создайте учётную запись или авторизуйтесь

Вы должны быть пользователем, чтобы оставить комментарий

Создать аккаунт

Зарегистрируйте новый аккаунт в нашем сообществе. Это очень просто!

Регистрация нового пользователя

Войти

Уже есть аккаунт? Войти в систему.

Войти
×
×
  • Создать...
Вверх