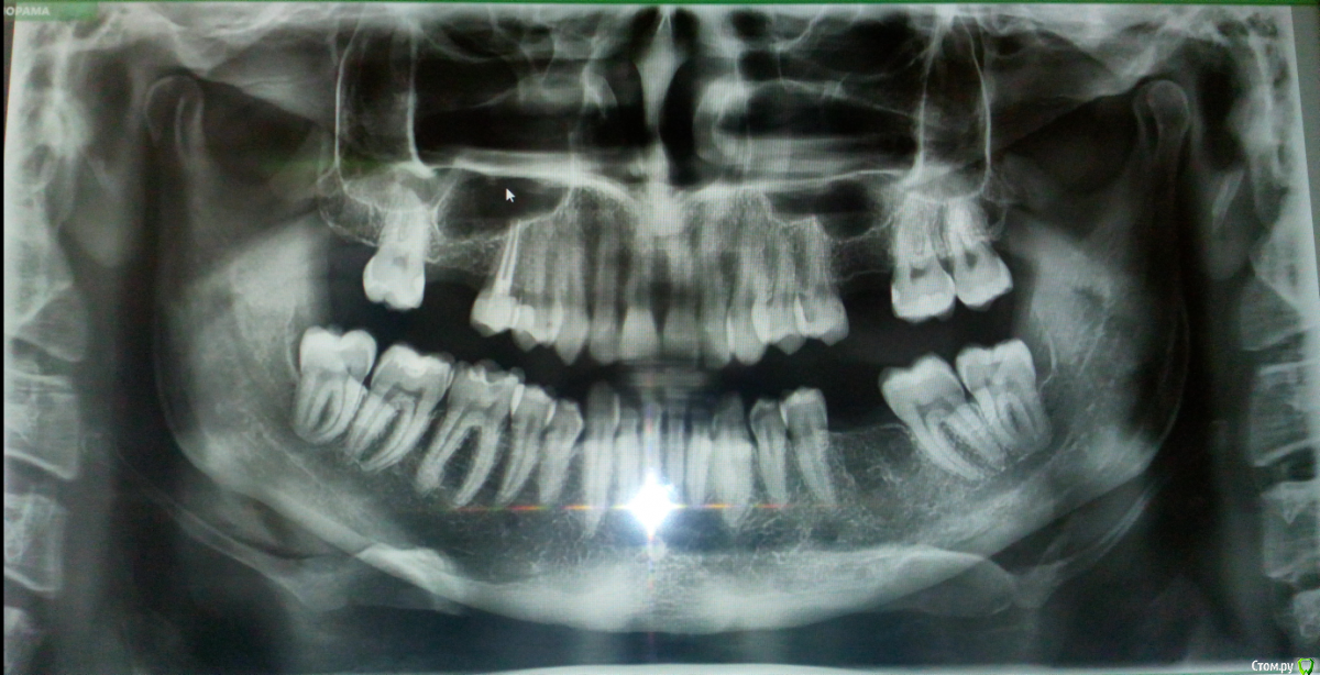
nikita_zn Опубликовано 25 декабря, 2019 Поделиться Опубликовано 25 декабря, 2019 Здравствуйте! Будьте добры рассудите по снимку. Справа и слева верхней челюсти, где вырваны зубы, может ли быть гной в полостях? Стоматолог мне сказал, что лор и хирург должны посмотреть этот снимок и вынести вердикт. И больше меня волнует с правой стороны полость, в виде круга, там был самый плохой зуб. Благодарю. Ссылка на комментарий
Saymon Опубликовано 25 декабря, 2019 Поделиться Опубликовано 25 декабря, 2019 Добрый день. То, что вы видите в виде темных кругов, то это носовые пазухи и нечего страшного в этом нет. Просто такая анатомия у людей. Вы с какими жалобами обратились к стоматологу? Ссылка на комментарий
nikita_zn Опубликовано 25 декабря, 2019 Автор Поделиться Опубликовано 25 декабря, 2019 Ищу воспалительный процесс! Вот и сделал снимок. Подумал, может пазуха воспалилась. И в этой полости гной остался, от вырванного зуба. Ссылка на комментарий
nikita_zn Опубликовано 25 декабря, 2019 Автор Поделиться Опубликовано 25 декабря, 2019 Сейчас на месте удаленного зуба справа, круглое затемнение(как шарик) и в пазухе чувствую жжение, и периодическую заложенность, + температура 37.4. Ссылка на комментарий
Рекомендуемые сообщения
Для публикации сообщений создайте учётную запись или авторизуйтесь
Вы должны быть пользователем, чтобы оставить комментарий
Создать аккаунт
Зарегистрируйте новый аккаунт в нашем сообществе. Это очень просто!
Регистрация нового пользователяВойти
Уже есть аккаунт? Войти в систему.
Войти