yellowborodova Опубликовано 24 декабря, 2019 Поделиться Опубликовано 24 декабря, 2019 Добрый день! Прошу вашего совета насчёт выбора материала коронки. Сложилось впечатление, что визуально при хорошей работе разницы между металлокерамикой и диоксидом циркония нет (равно как не будет видно чёрного ободка под десной в обоих случаях). А есть ли какая-то физическая разница между мк и керамикой? Других металлов во рту нет, брекеты после установки коронки, похоже, отменяются как таковые (как мне сказал терапевт, от материала, на который крепятся брекеты, портится внешняя облицовка коронки). Также мне сказали, что есть небольшая стачиваемость зубов (на форуме прочитала, что керамика сильнее будет стачивать антагонисты). Стоит ли платить больше за керамику и почему? Ссылка на комментарий
___49___ Опубликовано 24 декабря, 2019 Поделиться Опубликовано 24 декабря, 2019 (изменено) Диоксид циркония в полную анатомию, диоксид циркония с нанесением керамики, диоксид циркония меньшей плотности, керамика методом нанесения, методом прессования, металлокерамика обычная, на благородных сплавах , с плечевой массой ......все перечисленные материалы ( которые вы пытались сформулировать в 2 группы разницы между металлокерамикой и диоксидом циркония нет Стоит ли платить больше за керамику- путая диоксид с просто керамикой) обладают разными свойствами . Вы не первый день на форуме , и знаете правила форума , он не предназначен обучать вас - дайте конкретный клинический случай с объективными данными и мы попытаемся дать Вам совет исходя из предоставленных Вами данных - http://forum.stom.ru...k-prochteniiu/ Изменено 24 декабря, 2019 пользователем ___49___ Ссылка на комментарий
yellowborodova Опубликовано 24 декабря, 2019 Автор Поделиться Опубликовано 24 декабря, 2019 (изменено) Ого, как много нюансов)) к ортопеду мне на консультацию ещё не скоро, через 2 недели, запись на слепки - через месяц. Терапевт обрисовал 2 варианта - безметалл и с металлом, в прайсе на сайте категорий тоже не так много. Спасибо за ответ, в скором времени загружу свежие срезы кт)) Изменено 24 декабря, 2019 пользователем yellowborodova Ссылка на комментарий
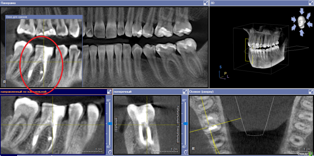
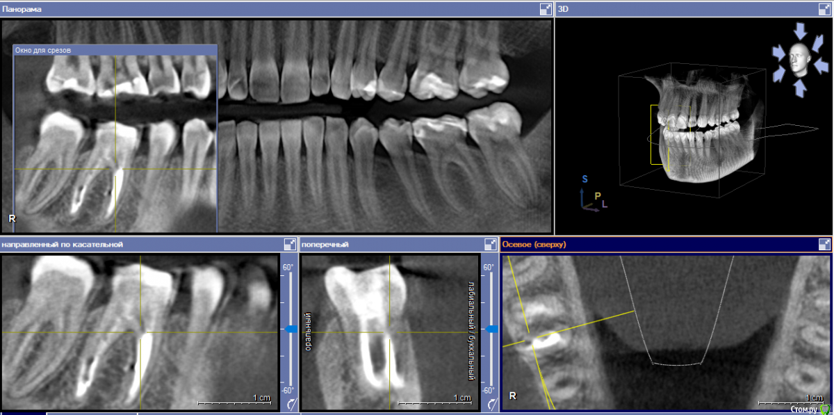
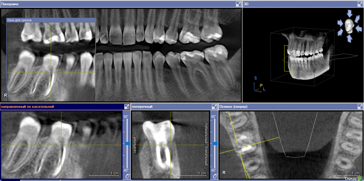
yellowborodova Опубликовано 5 января, 2020 Автор Поделиться Опубликовано 5 января, 2020 Здравствуйте... всех с праздником)) прошу прощения, что так долго... вот срезы кт и панорама. Надеюсь, заскринила то, что нужно)) буду рада, если у кого-либо будет желание и возможность прокомментировать тему. Ссылка на комментарий
yellowborodova Опубликовано 5 января, 2020 Автор Поделиться Опубликовано 5 января, 2020 Ссылка на комментарий
Рекомендуемые сообщения
Для публикации сообщений создайте учётную запись или авторизуйтесь
Вы должны быть пользователем, чтобы оставить комментарий
Создать аккаунт
Зарегистрируйте новый аккаунт в нашем сообществе. Это очень просто!
Регистрация нового пользователяВойти
Уже есть аккаунт? Войти в систему.
Войти