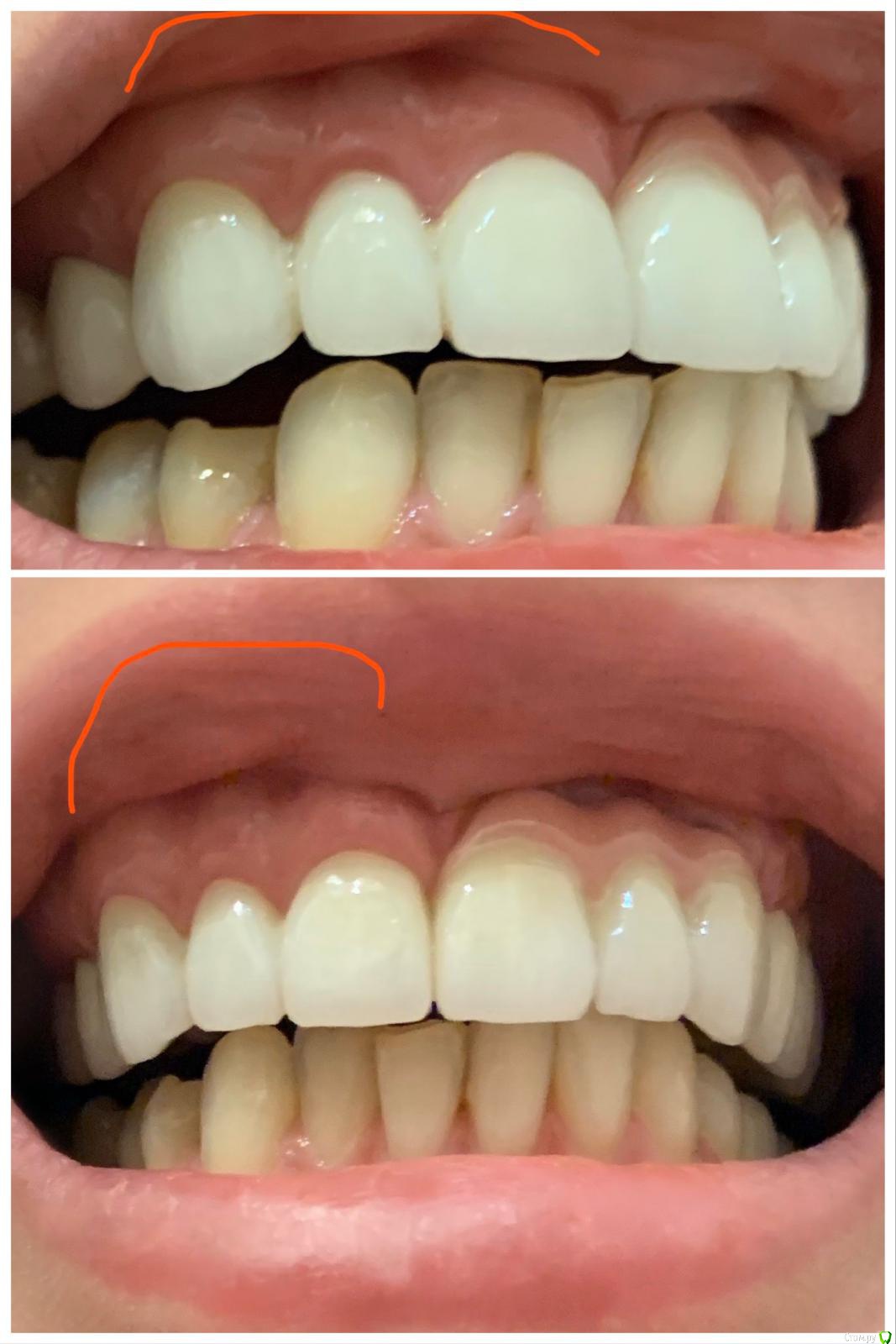
Polika-polika Опубликовано 21 декабря, 2019 Поделиться Опубликовано 21 декабря, 2019 (изменено) Здравствуйте, дорогие стоматологи, которые находят время отвечать чужим пациентам! Спасибо, что вы это делаете.Мне очень нужен ваш совет. Месяц назад мне установили коронки на передние зубы. Я хотела, чтобы сделали раздельно каждый зуб, там где можно, но врач настоял на том, что нужно совместить в мост из трёх для прочности. Я уехала сразу в Москву, поэтому к ним не обратилась. Спустя несколько дней я стала чувствовать неприятный запах и вкус внутри одной конструкции, похожий на утренний запах изо рта, может хуже. Проявляется это, только если «подсасывать оттуда» но я же невольно могу так делать.. Сходила в клинику в Москве, где мне сказали, что зажаты десневые сосочки, от чего они там гниют или что-то такое. И что из-за этого может начать отступать десна. Но мне ещё 26 лет, какая десна! К тому же у меня с дёснами все отлично было. А ещё сейчас щёлкает что-то в этой области при надавливании языком. В Москве сказали, что это не гарантийный случай и скорее всего мне их не переделают на одиночные бесплатно. Но может быть я могу на что-то рассчитывать? Хотя бы на скидку.. И нужно ли вообще переделывать? Но честно говоря ходить с какой-то гнилью во рту всю жизнь я не хочу. А ещё задние мосты не достаточно соприкасаются с задними зубами и один зуб уже начал болеть. Что мне сказать им по этому поводу и что можно сделать? Гавкаться с ними я вообще не хочу, потому что терапевт лечил все замечательно. Изменено 21 декабря, 2019 пользователем Polika-polika Ссылка на комментарий
chervoncevdaniil Опубликовано 21 декабря, 2019 Поделиться Опубликовано 21 декабря, 2019 У вас точно только 3 соединены,Правая сторона точно не вместе с передними?потвашему описанию похоже на расцементировку одной из опорных коронок Ссылка на комментарий
AndyAndy Опубликовано 22 декабря, 2019 Поделиться Опубликовано 22 декабря, 2019 Десна в области коронок правой стороны выглядят нормально по вашим фотографиям. Воспалённая десна отличается по цвету и кровоточит. +1 к расцементировке, как сказал коллега выше Ссылка на комментарий
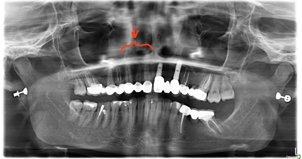
krokomot Опубликовано 22 декабря, 2019 Поделиться Опубликовано 22 декабря, 2019 Наличие запаха из под коронок при удовлетворительной гигиены наводит на мысль об их расцементировке, желательно сделать прицельные снимки этих зубов. Расцементировка показание к снятию конструкции. Но вы должны понимать, что по снимкам и фотографиям мы не можем точно определить, что это расцементировка. Обратитесь к доктору изготовившему конмтукцию со своими жалобами. Ссылка на комментарий
Polika-polika Опубликовано 24 декабря, 2019 Автор Поделиться Опубликовано 24 декабря, 2019 (изменено) У вас точно только 3 соединены,Правая сторона точно не вместе с передними?потвашему описанию похоже на расцементировку одной из опорных коронокА почему похоже на расцементеровку? из-за щелчков или из-за запаха? Врач в Москве смотрел, ковырялся и сказал, что хорошо прилегает, правда без прицельного снимка это было.. Точно только 3 соединены в этом местеСпасибо всем за ответы Изменено 24 декабря, 2019 пользователем Polika-polika Ссылка на комментарий
Рекомендуемые сообщения
Для публикации сообщений создайте учётную запись или авторизуйтесь
Вы должны быть пользователем, чтобы оставить комментарий
Создать аккаунт
Зарегистрируйте новый аккаунт в нашем сообществе. Это очень просто!
Регистрация нового пользователяВойти
Уже есть аккаунт? Войти в систему.
Войти