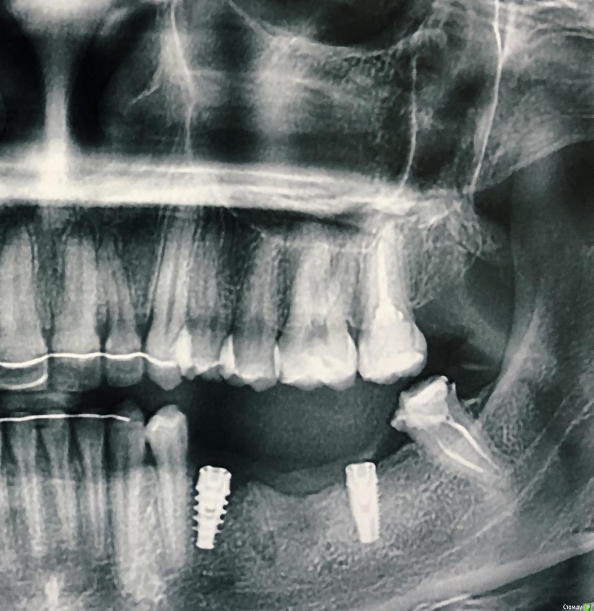
RaisaS Опубликовано 20 декабря, 2019 Поделиться Опубликовано 20 декабря, 2019 Добрый день! Нужен совет! Поставили 2 недели назад имплант, сделала снимок ОПТГ , по нему видно, что встал он слишком близко к корню соседнего зуба. Ничего не болит, не беспокоит. Ранее уже был неудачно установлен этот имплант , также близко к корню зуба. Пришлось удалять и имплант и зуб. Через 3 мес после восстановления была проведена новая операция. Подскажите, что делать! Врачу уже доверия особого нет... Спасибо! Ссылка на комментарий
red_butler Опубликовано 20 декабря, 2019 Поделиться Опубликовано 20 декабря, 2019 расстояние до зуба нормальное, но оба импланта не заглублены должным образом 3 Ссылка на комментарий
red_butler Опубликовано 24 декабря, 2019 Поделиться Опубликовано 24 декабря, 2019 тему можно закрывать? Ссылка на комментарий
Рекомендуемые сообщения
Для публикации сообщений создайте учётную запись или авторизуйтесь
Вы должны быть пользователем, чтобы оставить комментарий
Создать аккаунт
Зарегистрируйте новый аккаунт в нашем сообществе. Это очень просто!
Регистрация нового пользователяВойти
Уже есть аккаунт? Войти в систему.
Войти