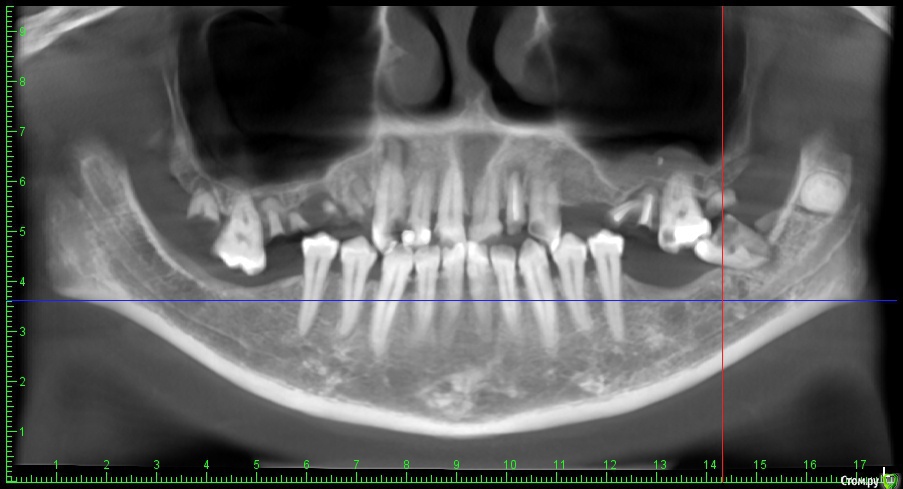
DenisV Опубликовано 18 декабря, 2019 Поделиться Опубликовано 18 декабря, 2019 Уважаемые коллеги, реферативный пациент, после химиотерапии окончил прохождение 2 месяца назад, хочет санировать полость рта (онколог разрешил), обнаружили образование на КТ в ретромолярной области слева. Какое Ваше мнение ? Направить к онкологу? Ссылка на комментарий
red_butler Опубликовано 18 декабря, 2019 Поделиться Опубликовано 18 декабря, 2019 Не нужно отправлять. Бисфосфонаты пациент получал? 1 Ссылка на комментарий
DenisV Опубликовано 18 декабря, 2019 Автор Поделиться Опубликовано 18 декабря, 2019 Принимает только томоксифен в данный момент Ссылка на комментарий
red_butler Опубликовано 19 декабря, 2019 Поделиться Опубликовано 19 декабря, 2019 Принимает только томоксифен в данный моментУзнайте всё что принимала Ссылка на комментарий
Xamik68 Опубликовано 19 декабря, 2019 Поделиться Опубликовано 19 декабря, 2019 Уважаемые коллеги, реферативный пациент, после химиотерапии окончил прохождение 2 месяца назад, хочет санировать полость рта (онколог разрешил), обнаружили образование на КТ в ретромолярной области слева. Какое Ваше мнение ? Направить к онкологу?Отравите, и что хотите от него услышать? Ссылка на комментарий
Lodkin666 Опубликовано 19 декабря, 2019 Поделиться Опубликовано 19 декабря, 2019 Мне кажется это похоже на сверхкомплектный зуб. Ссылка на комментарий
DenisV Опубликовано 19 декабря, 2019 Автор Поделиться Опубликовано 19 декабря, 2019 Мне кажется это похоже на сверхкомплектный зуб.неоднородной плотности, напрятали это зуб Ссылка на комментарий
Jurai Опубликовано 22 декабря, 2019 Поделиться Опубликовано 22 декабря, 2019 кажется, что зачаток сверхкомплектного или одонтома. Узнайте у пациента нет ли у него снимков прошлых лет - сравнить со свежим. Ссылка на комментарий
Irouil Опубликовано 22 декабря, 2019 Поделиться Опубликовано 22 декабря, 2019 Согласен, похоже на одонтому, чёткая капсула, плотность дентина 2 Ссылка на комментарий
Рекомендуемые сообщения
Для публикации сообщений создайте учётную запись или авторизуйтесь
Вы должны быть пользователем, чтобы оставить комментарий
Создать аккаунт
Зарегистрируйте новый аккаунт в нашем сообществе. Это очень просто!
Регистрация нового пользователяВойти
Уже есть аккаунт? Войти в систему.
Войти