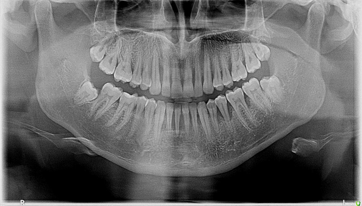
Paggy Опубликовано 17 декабря, 2019 Поделиться Опубликовано 17 декабря, 2019 ЗдравствуйтеПришел в клинику с жалобами на несколько шатающихся зубов (один нижний и верхние), чувствительность десен и появившийся запах изо рта. Сделали проф гигиену, прописали ципрофлоксацин на 5 дней. Обозначили лечение - открытый кюретаж, потом шинирование верхних и нижних зубов. Проконсультировался еще у одного парадонтолога. На вопрос можно ли восстановить десны и спасти шатающиеся зубы, врач ответил, что сначала нужно остановить инфекцию, которая разрушает ткань, а шатающийся нижний уже не спасти. Отправил сдавать кровь на гликированный гемоглобин и общий анализ с лейкоцитарной формулой. На январь назначил гигиену, закрытый кюретаж, введение лекарств в карманы. Дальше сказал, будем смотреть, что делать.Диагноз ни от одного, ни от второго врача не услышал, понял только что все плохо. Можно по этому снимку определить что у меня? Какое лечение необходимо и что можно сделать с теми зубами, которые шатаются? Ссылка на комментарий
ЛанаМ Опубликовано 18 декабря, 2019 Поделиться Опубликовано 18 декабря, 2019 Диагноз - парадонтит. План лечения правильный. Еще бы консультацию ортопеда по поводу прикуса и наличия суперконтактов. Ссылка на комментарий
Paggy Опубликовано 18 декабря, 2019 Автор Поделиться Опубликовано 18 декабря, 2019 Диагноз - парадонтит. План лечения правильныйКоторый из двух? Ссылка на комментарий
red_butler Опубликовано 19 декабря, 2019 Поделиться Опубликовано 19 декабря, 2019 Который из двух?Для ответа нужен очный осмотр Ссылка на комментарий
ЛанаМ Опубликовано 19 декабря, 2019 Поделиться Опубликовано 19 декабря, 2019 Первым делом купируется воспалительный процесс, в вашем случае это ципрофлоксацин, и проводится удаление зубных отложений. Затем кюретаж (открытый или закрытый это нужно определять на очном осмотре). Вы сдали анализы, чтобы определить,какие процессы в организме привели к такой ситуации. Также может быть необходимо шинирование, удаление нежизнеспособных зубов, протезирование. Пародонтит - это заболевание на всю оставшуюся жизнь. Раз в полгода, а может быть и чаще или реже, вам нужно будет проходить курс поддерживающей терапии, чтобы заболевание не прогрессировало. Поэтому выбирайте врача с которым будете работать долгие годы. Ссылка на комментарий
Paggy Опубликовано 20 декабря, 2019 Автор Поделиться Опубликовано 20 декабря, 2019 Спасибо! Ссылка на комментарий
Рекомендуемые сообщения
Для публикации сообщений создайте учётную запись или авторизуйтесь
Вы должны быть пользователем, чтобы оставить комментарий
Создать аккаунт
Зарегистрируйте новый аккаунт в нашем сообществе. Это очень просто!
Регистрация нового пользователяВойти
Уже есть аккаунт? Войти в систему.
Войти