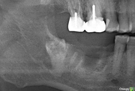
Дмитрий М Опубликовано 16 декабря, 2019 Поделиться Опубликовано 16 декабря, 2019 Коллеги, кто сталкивался? Что произошло с коронкой 8 зуба? полная ретенция, сообщения с полостью рта нет! никогда не беспокоил (пациент и не знал о существовании 8) Ссылка на комментарий
red_butler Опубликовано 16 декабря, 2019 Поделиться Опубликовано 16 декабря, 2019 Резорбция или кариес. Удалять планируете? Ссылка на комментарий
Дмитрий М Опубликовано 18 декабря, 2019 Автор Поделиться Опубликовано 18 декабря, 2019 (изменено) Резорбция или кариес. Удалять планируете?тоже думал кариес, но не кариес 100% резорбцияпланировал удалять, раскрылся и увидел кость в полости зуба, периодонтальной щели нет, как анкилозированный! удалил 6,7,8 не стал, лишняя травма. пульповой камеры нет, зуб мертвый, расти он не будет, имплантации не помешает. Изменено 18 декабря, 2019 пользователем Дмитрий М 2 Ссылка на комментарий
Рекомендуемые сообщения
Для публикации сообщений создайте учётную запись или авторизуйтесь
Вы должны быть пользователем, чтобы оставить комментарий
Создать аккаунт
Зарегистрируйте новый аккаунт в нашем сообществе. Это очень просто!
Регистрация нового пользователяВойти
Уже есть аккаунт? Войти в систему.
Войти