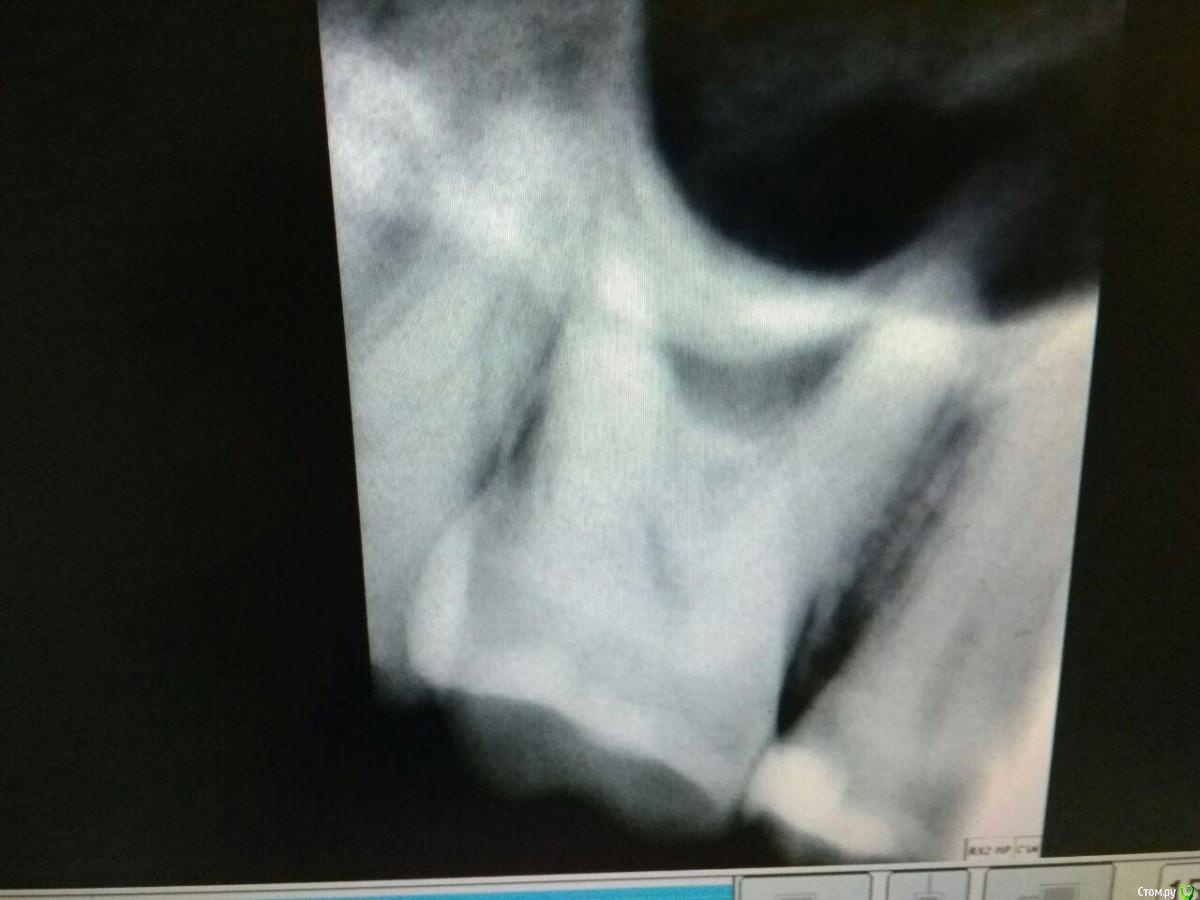
jeka88 Опубликовано 16 декабря, 2019 Поделиться Опубликовано 16 декабря, 2019 Врач настаивает, что надо сверлить до нерва, удалять его, ставить временную пломбу и в перспективе менять на коронку, что выльется в довольно круглую сумму на лечение. Хочу услышать мнение других специалистов, можно ли вообще по этому снимку поставить диагноз пульпит? Сам зуб (13 номер) боли не проявляет на данный момент, где-то месяц назад была небольшая реакция на холодное. Ссылка на комментарий
red_butler Опубликовано 16 декабря, 2019 Поделиться Опубликовано 16 декабря, 2019 По этому снимку однозначно не ответить 2 Ссылка на комментарий
annda Опубликовано 16 декабря, 2019 Поделиться Опубликовано 16 декабря, 2019 Может, проконсультироваться в разных клиниках? 1 Ссылка на комментарий
jeka88 Опубликовано 18 декабря, 2019 Автор Поделиться Опубликовано 18 декабря, 2019 По этому снимку однозначно не ответить Как вы считаете, имеет ли смысл сделать панорамный снимок? Или незачем лишний раз облучаться и опытный врач итак отличит кариес от пульпита? Может, проконсультироваться в разных клиниках? Так и решил в итоге, сложилось ощущение что в той клинике попытались развести, Москва как никак. Где-то через 2 недели схожу к своему проверенному врачу (он в другом городе), и отпишу чем в итоге закончилось) Ссылка на комментарий
red_butler Опубликовано 18 декабря, 2019 Поделиться Опубликовано 18 декабря, 2019 Как вы считаете, имеет ли смысл сделать панорамный снимок? Или незачем лишний раз облучаться и опытный врач итак отличит кариес от пульпита? снимок является дополнительным методом исследования, в первую очередь нужен очный осмотр Ссылка на комментарий
Рекомендуемые сообщения
Для публикации сообщений создайте учётную запись или авторизуйтесь
Вы должны быть пользователем, чтобы оставить комментарий
Создать аккаунт
Зарегистрируйте новый аккаунт в нашем сообществе. Это очень просто!
Регистрация нового пользователяВойти
Уже есть аккаунт? Войти в систему.
Войти