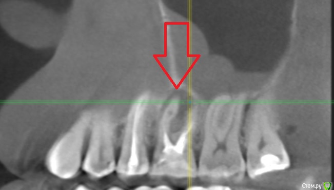
twodudu Опубликовано 12 декабря, 2019 Поделиться Опубликовано 12 декабря, 2019 (изменено) стоит проблема- удалить, чтобы не беспокоил .Или же лечить. Что скажите? зуб номер 6, находится вверху справа. На корне киста Изменено 12 декабря, 2019 пользователем twodudu Ссылка на комментарий
red_butler Опубликовано 12 декабря, 2019 Поделиться Опубликовано 12 декабря, 2019 Можно лечить Ссылка на комментарий
twodudu Опубликовано 12 декабря, 2019 Автор Поделиться Опубликовано 12 декабря, 2019 (изменено) Можно лечить каков шанс на выздоровление? т.к у врачей есть мнение, что канал не удастся "пройти", и корень так же может портиться снаружи по стенкам Изменено 12 декабря, 2019 пользователем twodudu Ссылка на комментарий
DmitrySH Опубликовано 12 декабря, 2019 Поделиться Опубликовано 12 декабря, 2019 (изменено) каков шанс на выздоровление? т.к у врачей есть мнение, что канал не удастся "пройти", и корень так же может портиться снаружи по стенкамЛучше лечить под контролем микроскопа, корень достаточно тонкий. не удастся пройти, тогда удалять. Если все нормально обработать, то шанс на выздоровления достаточно хороший Изменено 12 декабря, 2019 пользователем DmitrySH Ссылка на комментарий
twodudu Опубликовано 12 декабря, 2019 Автор Поделиться Опубликовано 12 декабря, 2019 Лучше лечить под контролем микроскопа, корень достаточно тонкий. не удастся пройти, тогда удалять. Если все нормально обработать, то шанс на выздоровления достаточно хороший а утверждение , что "корень так же может портиться снаружи по стенкам" имеет место быть в реальности? как это увидеть не вырывая зуб? Ссылка на комментарий
twodudu Опубликовано 12 декабря, 2019 Автор Поделиться Опубликовано 12 декабря, 2019 возможно тема уже и обсуждалась , но я новичок. Если зуб вырвать и вставить имплант. Теоритически это надежней?! т.к на импланте кисты не образуется, и кариес его не будет "есть" Ссылка на комментарий
DmitrySH Опубликовано 12 декабря, 2019 Поделиться Опубликовано 12 декабря, 2019 а утверждение , что "корень так же может портиться снаружи по стенкам" имеет место быть в реальности? как это увидеть не вырывая зуб? При периодонтитах фактически всегда есть поверхностная резорбция верхушки корня. Зачем вам это видеть? Ссылка на комментарий
twodudu Опубликовано 12 декабря, 2019 Автор Поделиться Опубликовано 12 декабря, 2019 (изменено) При периодонтитах фактически всегда есть поверхностная резорбция верхушки корня. Зачем вам это видеть? хз, если честно.Но доктор говорит, что это может являться в будущем, "стартером" нового воспаления Изменено 12 декабря, 2019 пользователем twodudu Ссылка на комментарий
DmitrySH Опубликовано 12 декабря, 2019 Поделиться Опубликовано 12 декабря, 2019 возможно тема уже и обсуждалась , но я новичок. Если зуб вырвать и вставить имплант. Теоритически это надежней?! т.к на импланте кисты не образуется, и кариес его не будет "есть" Не знаю как сравнить надежность зуба и импланта. С имплантацией не должно быть особых сложностейНадежность этого зуба будет понятна после удаления пломбы и ревизии каналов с очагом воспаления. Сам по себе очаг воспаления не является чем-то неизлечимым. Больше вопрос в состоянии твердых тканей зуба. Если при ревизии каналов не будет выявлено каких-то критичных моментов, то зуб вполне надежный. Ссылка на комментарий
twodudu Опубликовано 12 декабря, 2019 Автор Поделиться Опубликовано 12 декабря, 2019 Надежность этого зуба будет понятна после удаления пломбы и ревизии каналов с очагом воспаления. Сам по себе очаг воспаления не является чем-то неизлечимым. Больше вопрос в состоянии твердых тканей зуба. Если при ревизии каналов не будет выявлено каких-то критичных моментов, то зуб вполне надежный. зуб лечен (повторно) , около 11 месяцев назад. Один канал оказался не пройден . Доктор его не смогла найти, говорит, что если изначально он не был найден и отремонтирован, то и при повторном вскрытии не найти. Есть вероятность, что он вообще расколется. Одна надежда на микроскоп, но вот у специалистов все расписано на пару недель вперед.А зуб ужасно болит и десна/щека опухла. Сегодня хирург наложил дренаж Ссылка на комментарий
DmitrySH Опубликовано 12 декабря, 2019 Поделиться Опубликовано 12 декабря, 2019 На начальный вопрос в теме поста я ответил. А бороться за него или нет, вы уж сами решите. После дренирования станет легче. 1 Ссылка на комментарий
twodudu Опубликовано 14 декабря, 2019 Автор Поделиться Опубликовано 14 декабря, 2019 После дренирования станет легче. Да, стало легче, но щека все равно опухшая. Пью антибиотики Ссылка на комментарий
twodudu Опубликовано 14 декабря, 2019 Автор Поделиться Опубликовано 14 декабря, 2019 А бороться за него или нет, вы уж сами решите. вы занимаетесь лечением под микроскопом? Ссылка на комментарий
DmitrySH Опубликовано 14 декабря, 2019 Поделиться Опубликовано 14 декабря, 2019 вы занимаетесь лечением под микроскопом? Да, занимаюсь. Вы готовы ездить в Москву? Ссылка на комментарий
twodudu Опубликовано 14 декабря, 2019 Автор Поделиться Опубликовано 14 декабря, 2019 (изменено) Да, занимаюсь. Вы готовы ездить в Москву? да, если не найду ничего подходящего по месту.Я так понимаю надо примерно 3 визита? Изменено 14 декабря, 2019 пользователем twodudu Ссылка на комментарий
DmitrySH Опубликовано 14 декабря, 2019 Поделиться Опубликовано 14 декабря, 2019 Я так понимаю надо примерно 3 визита? Скорее всего. Заранее невозможно предсказать Ссылка на комментарий
twodudu Опубликовано 15 декабря, 2019 Автор Поделиться Опубликовано 15 декабря, 2019 Скорее всего. Заранее невозможно предсказать что целесообразней/надежней применять: гутаперчу или пасту (современную) для лечения канала? Ссылка на комментарий
twodudu Опубликовано 18 декабря, 2019 Автор Поделиться Опубликовано 18 декабря, 2019 (изменено) подскажите еще, вопрос по гайморовой пазухе. Как она далеко, не прошло ли в нее воспаление? Сегодня был на приеме говорят, что вроде как очень близко Изменено 18 декабря, 2019 пользователем twodudu Ссылка на комментарий
red_butler Опубликовано 18 декабря, 2019 Поделиться Опубликовано 18 декабря, 2019 подскажите еще, вопрос по гайморовой пазухе. Как на далеко, не прошло ли в нее воспаление? Сегодня был на приеме говорят, что вроде как очень близкоБлизко, но это не страшно Ссылка на комментарий
twodudu Опубликовано 29 декабря, 2019 Автор Поделиться Опубликовано 29 декабря, 2019 Удалили зуб( Лечение канала не удалось, не проходимый оказался Ссылка на комментарий
Рекомендуемые сообщения
Для публикации сообщений создайте учётную запись или авторизуйтесь
Вы должны быть пользователем, чтобы оставить комментарий
Создать аккаунт
Зарегистрируйте новый аккаунт в нашем сообществе. Это очень просто!
Регистрация нового пользователяВойти
Уже есть аккаунт? Войти в систему.
Войти