Перейти к содержанию
Стоматология для всех

Сохранить корни зубов под съемный протез


Anna2020

Рекомендуемые сообщения

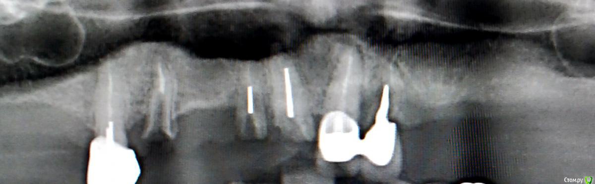
Здравствуйте! После того, как сняли мост с верхних 1-4 зубов, то рекомендовали удалить оставшиеся зубы и корни зубов и ставить съемный протез на верхнюю челюсть. Говорят, что оставшиеся корни не вынесут мост долгое время. Сами корни без сколов или воспалений.

Вопрос: возможно ли заличить корни и оставить их под съемный протез? По логике вещей, не должна ли кость с оставшимися корнями быть более укрепленной, чем после экстракции? Такое вообще делается?

Снимок прилагается.

Спасибо!

post-59268-0-46919000-1575813545_thumb.jpg

Ссылка на комментарий

Для публикации сообщений создайте учётную запись или авторизуйтесь

Вы должны быть пользователем, чтобы оставить комментарий

Создать аккаунт

Зарегистрируйте новый аккаунт в нашем сообществе. Это очень просто!

Регистрация нового пользователя

Войти

Уже есть аккаунт? Войти в систему.

Войти
×
×
  • Создать...
Вверх