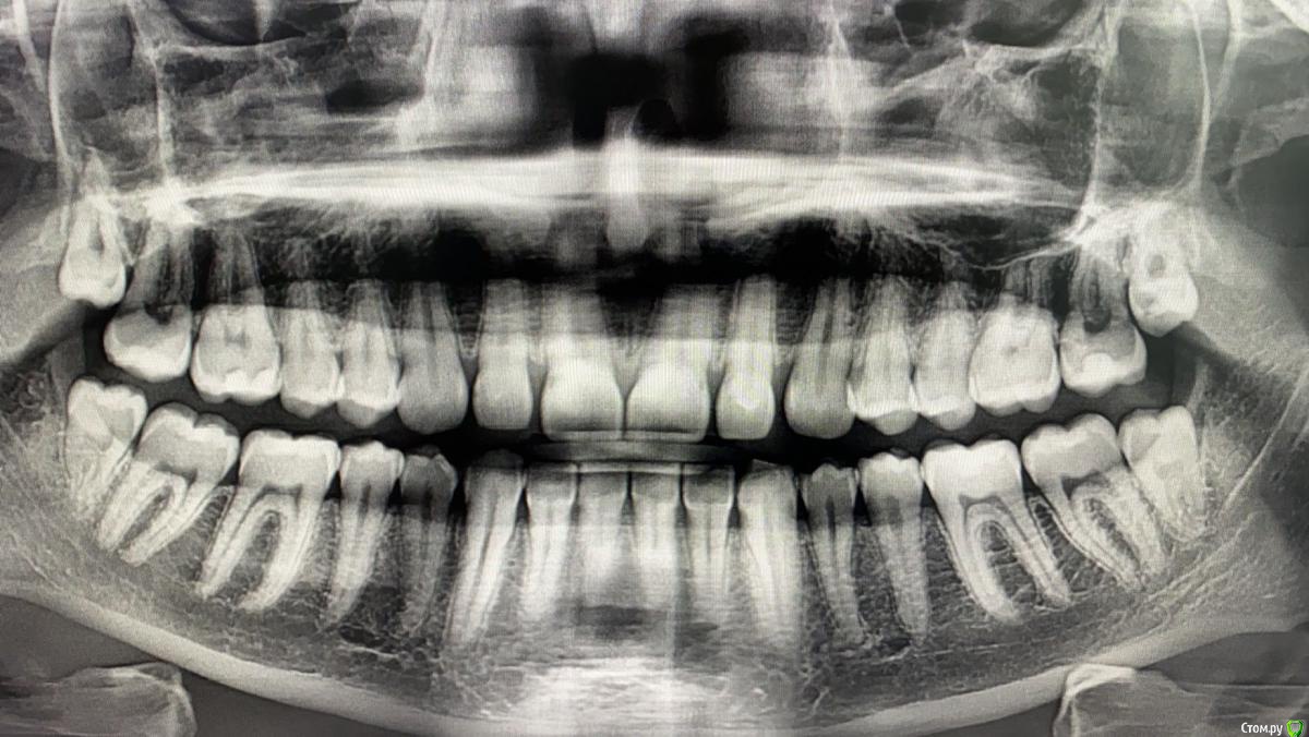
Daria___ Опубликовано 8 декабря, 2019 Поделиться Опубликовано 8 декабря, 2019 (изменено) День добрый. На данный момент нахожусь в другой стране и столкнулась с проблемой зуба мудрости- зуб с левой стороны челюсти не до конца прорезан и находится под капюшоном. Далее всё как по книжке- ноющая боль, небольшое воспаление,потом нагноение под капюшоном. Температуры и отёка пока нет. Сходив к местному врачу получила рекомендацию на удаление зуба. Причем сразу с зубом- антагонистом.Отправила рентген своему семейному врачу: он сказал что места под зуб маловато, но, в целом зуб выглядит пока не плохо. получила рекомендацию полоскать рот мирамистином и раствором соли и ждать как зуб покажет себя в прогрессеЗуб болит уже неделю, полоскания вомпроизвожу 2-3 раза в день третий день. Нагноения вчера после полоскания стало даже немного больше, на что мой отец высказал мнение что это не показатель распространения инфекции, а соль вытягивает гной на поверхность. В общем, у меня тут уже целый консилиум, а что делать так и не решилась. Ибо всё же другая страна, на операцию идти немного боязно ввиду своей правовой незащищенности, хотя многие люди этого врача рекомендовали, в том числе по операции по удалению сложного зуба мудрости. Надеюсь на дополнительные профессиональные отзывы о данной ситуации. Удалять зуб(ы)? Иссекать десну? Продолжать полоскать и ждать? Изменено 8 декабря, 2019 пользователем Daria___ Ссылка на комментарий
red_butler Опубликовано 8 декабря, 2019 Поделиться Опубликовано 8 декабря, 2019 Удалять Ссылка на комментарий
Большой Зеленый Опубликовано 9 декабря, 2019 Поделиться Опубликовано 9 декабря, 2019 Удалять Ссылка на комментарий
Рекомендуемые сообщения
Для публикации сообщений создайте учётную запись или авторизуйтесь
Вы должны быть пользователем, чтобы оставить комментарий
Создать аккаунт
Зарегистрируйте новый аккаунт в нашем сообществе. Это очень просто!
Регистрация нового пользователяВойти
Уже есть аккаунт? Войти в систему.
Войти