Владимир Андреевич Опубликовано 6 декабря, 2019 Поделиться Опубликовано 6 декабря, 2019 Здравствуйте! Помогите, пожалуйста, советом.Ситуация такая - нет нижних жевательных с обоих сторон...нет уже давно, верхние зубы выдвинулись в сторонуотсутствующих. Сейчас есть возможность заняться зубами, поставить импланты, но под них банально нет места(С одной стороны всё более-менее, место нашли, а вот с другой стороны совсем беда, причем там еще и сверху одного зубанет (и один сильно стерся, но он еще пригоден для протезирования), соответственно нижние выдвинулись в сторону верхних, отсутствующих.Ортопед говорит, что ортодонтия тут не поможет (вот вообще никак!), предложил ставить огромную дугу, с 6ки до 6ки, но мне такой план совсем не по нраву...Помогите, пожалуйста! Можно ли что-то сделать в таком случае, чтобы хоть немного места освободить (потом, возможно, подпилить те зубы, которые мешают)?34 года Ссылка на комментарий
Владимир Андреевич Опубликовано 6 декабря, 2019 Автор Поделиться Опубликовано 6 декабря, 2019 Вот так это выглядит в реальности (думаю по снимку не совсем понятно) Ссылка на комментарий
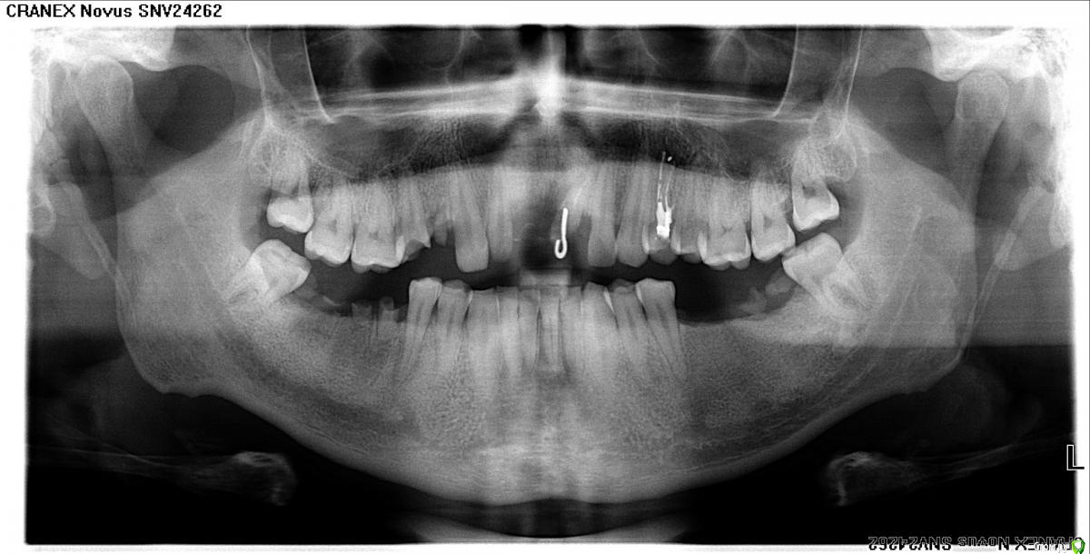
kramer Опубликовано 6 декабря, 2019 Поделиться Опубликовано 6 декабря, 2019 Покажите панорамный снимок Ссылка на комментарий
Владимир Андреевич Опубликовано 6 декабря, 2019 Автор Поделиться Опубликовано 6 декабря, 2019 Покажите панорамный снимокЯ недавно 3D делал, а панорамный года 3 назад, не знаю, актуально ли... Ссылка на комментарий
Владимир Андреевич Опубликовано 6 декабря, 2019 Автор Поделиться Опубликовано 6 декабря, 2019 Такой вот еще есть Ссылка на комментарий
stommm Опубликовано 6 декабря, 2019 Поделиться Опубликовано 6 декабря, 2019 На мой взгляд тут сначала диагностика и планирование. Ортодонтическое лечение наверняка будет полноценным, а не локальным. Потом имплантация и протезирование. Вобщем нужен грамотный ортопед с хорошей командой. Вам всего 34. Не надо компромиссные работы делать. Сделайте правильно! 2 Ссылка на комментарий
Владимир Андреевич Опубликовано 7 декабря, 2019 Автор Поделиться Опубликовано 7 декабря, 2019 На мой взгляд тут сначала диагностика и планирование. Ортодонтическое лечение наверняка будет полноценным, а не локальным. Потом имплантация и протезирование. Вобщем нужен грамотный ортопед с хорошей командой. Вам всего 34. Не надо компромиссные работы делать. Сделайте правильно!Где ж его азять то, грамотного, с хорошей командой? Ортопед, у которого сейчас наблюдаюсь ортодонтию сразу исключил (вроде как в 34 года поздно), но тот план лечения, который он предлагает мне совсем не нравится... Это как минимум 5 здоровых зубов под обточку, у меня их не так много, чтобы так легко ими разбрасываться. Ссылка на комментарий
Владимир Андреевич Опубликовано 7 декабря, 2019 Автор Поделиться Опубликовано 7 декабря, 2019 Посоветуйте кого-нибудь, пожалуйста, уже сил нет искать...читать отзывы и т.д. Ссылка на комментарий
DmitrySH Опубликовано 7 декабря, 2019 Поделиться Опубликовано 7 декабря, 2019 (вроде как в 34 года поздно) Никак не поздно. Пациенты и в 50+ проходят ортодонтическое лечение по ортопедическим показаниям. Как уже написал коллега, нужно тщательное планирование и полноценное ортодонтическое лечение. Далее имплантация и ортопедия. Все остальное будет весьма компромиссным решением. Ссылка на комментарий
Рекомендуемые сообщения
Для публикации сообщений создайте учётную запись или авторизуйтесь
Вы должны быть пользователем, чтобы оставить комментарий
Создать аккаунт
Зарегистрируйте новый аккаунт в нашем сообществе. Это очень просто!
Регистрация нового пользователяВойти
Уже есть аккаунт? Войти в систему.
Войти