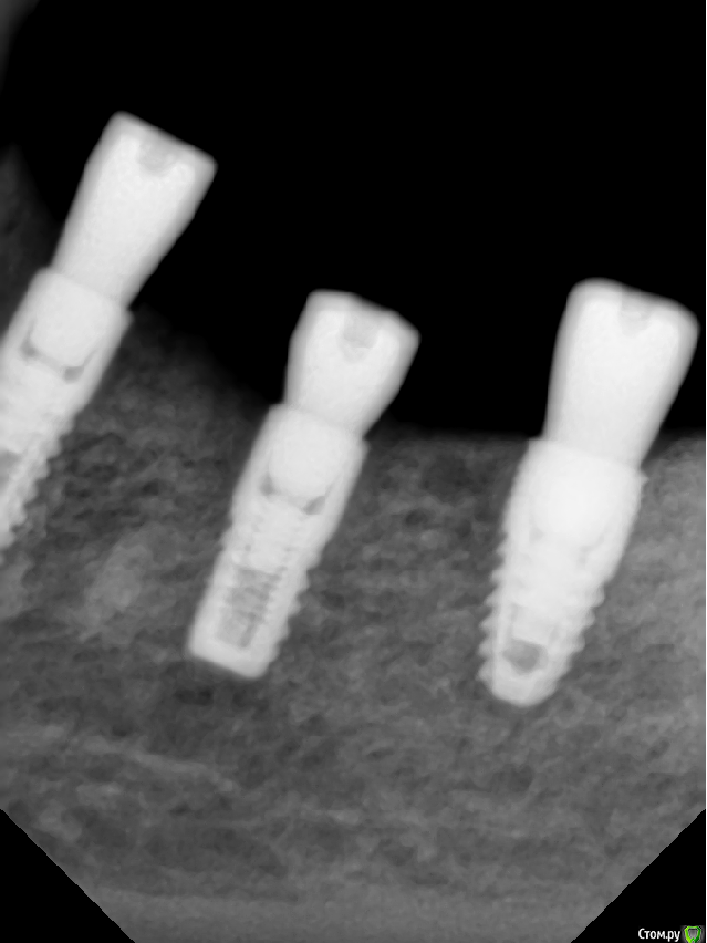
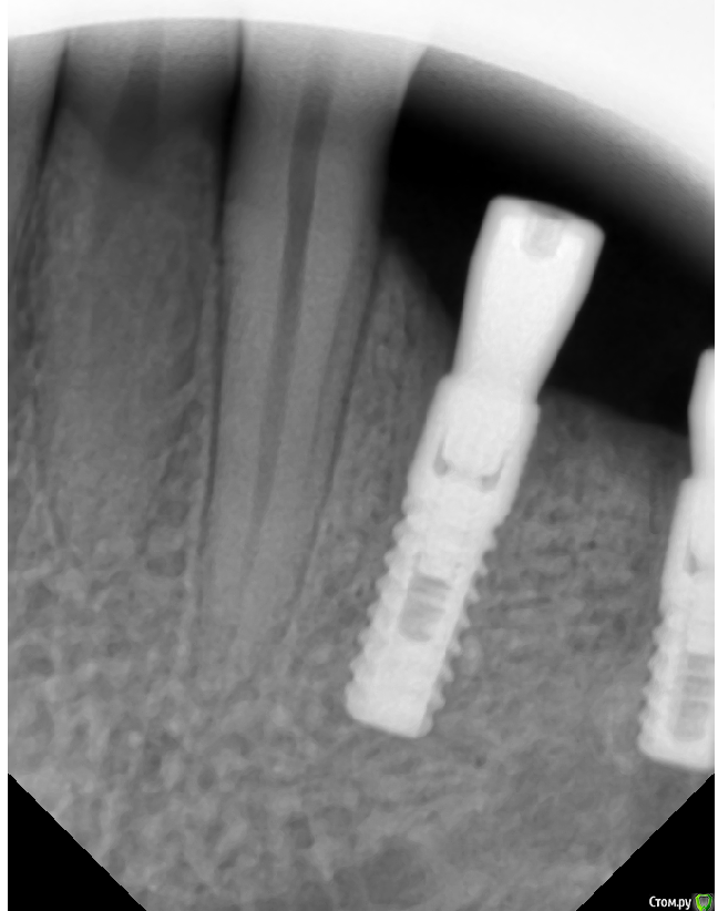
Sergiosse Опубликовано 4 декабря, 2019 Поделиться Опубликовано 4 декабря, 2019 Установил три импланта , средний вплотную к н.ч. каналу. После формирования ложа при зондировании перфора не было . на следующий день после операции онемение в области угла рта не проходит . Думал что из-за отёка. Сегодня пятый день. Изменений нет. Сильных болей нет , хотя пациентка принимает Кетонал. Пациентка сейчас в Москве , я я хочу попросить её чтобы она дошла до хирурга и на пару оборотов выкрутила средний имплант . вопрос Нужно ли это делать , как удостовериться, что это именно из—за импланта,сделать Кт? Отслойку лоскута делал осторожно,к выходу нерва не приближался , кровотечение и боли во время операции не было . Я думаю может быть медсестра (новенькая , неопытная )фарабефом придавила?=48001:тазеева2.png] Ссылка на комментарий
dok1 Опубликовано 4 декабря, 2019 Поделиться Опубликовано 4 декабря, 2019 Для начала современное кт. Потом все выводы 1 Ссылка на комментарий
dok1 Опубликовано 4 декабря, 2019 Поделиться Опубликовано 4 декабря, 2019 Вообще по снимку как будто провалились слегка. Если это действительно так, то выкручивание большой пользы непринесёт 2 Ссылка на комментарий
red_butler Опубликовано 4 декабря, 2019 Поделиться Опубликовано 4 декабря, 2019 Кт и предварительно удаление импланта 2 Ссылка на комментарий
Kostoprav Опубликовано 7 декабря, 2019 Поделиться Опубликовано 7 декабря, 2019 для начала кт и даже если имплант чуток торчит в нижнечелюстном канале то я бы не спешил с его удалением. скорее всего нерв сдавила гематома которая образовалась в следствии травмы сосуда который находиться сразу над нервом. Назначьте комплекс витаминов Б и подождите 3 -4 недели, потихоньку онемении должна пройти. Ссылка на комментарий
Dmitry DK Опубликовано 8 декабря, 2019 Поделиться Опубликовано 8 декабря, 2019 Если вы все сделали по "инструкции" ( которая у вас на КТ ), наверняка имплантат оказался вплотную к каналу, но не думаю, что вы в него погрузились, но КТ нужно сделать для перестраховки.Скорее всего - фрезой залезли в канал ( он не обязательно должен кровить ), в таком случае выкручивание имплантата не поможет. Вопрос в том как сильно был поврежден сосудисто-нервный пучок, от этого будет зависеть динамика Ссылка на комментарий
Sergiosse Опубликовано 11 декабря, 2019 Автор Поделиться Опубликовано 11 декабря, 2019 Коллеги Спасибо всем за ответы . Обычно в таких случаях Я всегда зондирую сформированное костное ложе на предмет перфорации . В данном случае её не было . Скорее всего отёк , либо выдавил костную канала стенку , так как я давал торk 40 Ньютонов. Когда ситуация разрешится , отпишусь 1 Ссылка на комментарий
Дмитрий М Опубликовано 15 декабря, 2019 Поделиться Опубликовано 15 декабря, 2019 Коллеги Спасибо всем за ответы . Обычно в таких случаях Я всегда зондирую сформированное костное ложе на предмет перфорации . В данном случае её не было . Скорее всего отёк , либо выдавил костную канала стенку , так как я давал торk 40 Ньютонов. Когда ситуация разрешится , отпишусьждем! Кт еще не делали? Ссылка на комментарий
Sergiosse Опубликовано 16 декабря, 2019 Автор Поделиться Опубликовано 16 декабря, 2019 В продолжение истории. Жалоб кроме, как на онемение нет. витамин В12 назначил. Думаю,продавил имплантом стенку канала,кагда давал торк. Через неделю увижу пациентку,какая дальнейшая тактика? Под нагрузкой от коронки не будет болей? странная верхняя стенка канала, с размытыми границами, остеопорз? Ссылка на комментарий
red_butler Опубликовано 16 декабря, 2019 Поделиться Опубликовано 16 декабря, 2019 Удалить имплант Ссылка на комментарий
Евгений Ходыкин Опубликовано 16 декабря, 2019 Поделиться Опубликовано 16 декабря, 2019 Помимо витаминов назначьте "Мильгамму" или аналоги. Ждите. Имплантат можно оставить пока. Ссылка на комментарий
Sergiosse Опубликовано 17 декабря, 2019 Автор Поделиться Опубликовано 17 декабря, 2019 (изменено) Мнения разделились. Вопрос: удаление импланта улучшит ситуацию? Выдавленная костная стенка всё равно останется внутри канала . Может быть лучше его выкрутить на пару оборотов ? Изменено 17 декабря, 2019 пользователем Sergiosse Ссылка на комментарий
red_butler Опубликовано 17 декабря, 2019 Поделиться Опубликовано 17 декабря, 2019 Мнения разделились. Вопрос: удаление импланта улучшит ситуацию? Выдавленная костная стенка всё равно останется внутри канала . Может быть лучше его выкрутить на пару оборотов ?Удаление импланта пока он не интегрировался убережёт Вас от конфликта в случае если парестезия не пройдёт. Вы уверены На 100% что не травмировали нерв фрезой? 1 Ссылка на комментарий
Irouil Опубликовано 17 декабря, 2019 Поделиться Опубликовано 17 декабря, 2019 ИМХО, не похоже, что продавили 2 Ссылка на комментарий
red_butler Опубликовано 17 декабря, 2019 Поделиться Опубликовано 17 декабря, 2019 Sergiosse У Вас есть доступ в закрытый раздел? Пора тему переносить Ссылка на комментарий
Kev Опубликовано 17 декабря, 2019 Поделиться Опубликовано 17 декабря, 2019 Доктор, у вас или стальные нервы, или яйца.Я бы давно выкрутил средний имплантат. Нерв дороже имплантата. 2 Ссылка на комментарий
Дмитрий М Опубликовано 18 декабря, 2019 Поделиться Опубликовано 18 декабря, 2019 Мнения разделились. Вопрос: удаление импланта улучшит ситуацию? Выдавленная костная стенка всё равно останется внутри канала . Может быть лучше его выкрутить на пару оборотов ?что вам даст выкручивание на пару оборотов? по снимку не видно что имплантом провалились в канал, возможно только фрезой во время препарирования, и получили гиперкомпрессию от гемптомы в канале. возможно дело даже не в среднем импланте.покажите срезы ментального отверстия. после операции онемение в области угла рта не проходиттак понял, вы проводниковую анестезию делали? и во время операции пациент ничего не почувствовал, возможно ли что задели его во время отслойки лоскута? Ссылка на комментарий
ilnurik Опубликовано 23 декабря, 2019 Поделиться Опубликовано 23 декабря, 2019 Как в итоге все сложилось?У меня есть случай очень похожий на ваш, чувствительность не вернулась. Имплантанты выкрутил через 2 месяца. Ссылка на комментарий
Sampson Опубликовано 25 декабря, 2019 Поделиться Опубликовано 25 декабря, 2019 Если юридически хотите быть чисты, выкручивайте. 2 Ссылка на комментарий
Dmitry DK Опубликовано 27 декабря, 2019 Поделиться Опубликовано 27 декабря, 2019 Винт не в канале, очевидно, что фрезой задели. Выкручивание ничего не даст ( на нерв не давит). Удалять на случай разборок... Зачем?... Если разбор реально будет, на КТ все видно. Не переживайте, все наверняка восстановится через месяца 4, последней фрезой до нижней стенки вы видимо не дошли Ссылка на комментарий
Рекомендуемые сообщения
Для публикации сообщений создайте учётную запись или авторизуйтесь
Вы должны быть пользователем, чтобы оставить комментарий
Создать аккаунт
Зарегистрируйте новый аккаунт в нашем сообществе. Это очень просто!
Регистрация нового пользователяВойти
Уже есть аккаунт? Войти в систему.
Войти