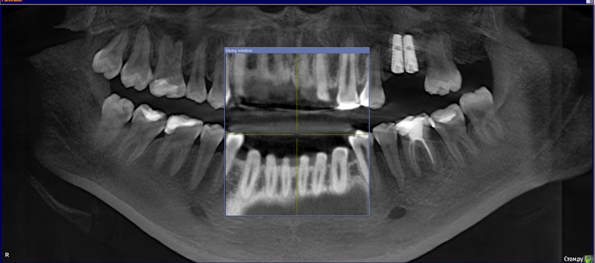
layraldo Опубликовано 4 декабря, 2019 Поделиться Опубликовано 4 декабря, 2019 Здравствуйте! Подскажите, пожалуйста, насчет ситуации. Весной этого года были установлены два импланта (вроде Nobel Biocare), перед этим был сделан синуслифтинг. Недавно пошла удалять зуб и там хирург, посмотрев на снимок челюсти, сказала, что импланты установлены неверно, очень близко друг к другу, и что они выпадут в течение года. Есть ли шанс, что они прослужат дольше и если прогноз неблагоприятный, то что делать? Врач-ортопед из клиники, где были установлены импланты ничего по поводу снимка не сказал. Ссылка на комментарий
dok1 Опубликовано 5 декабря, 2019 Поделиться Опубликовано 5 декабря, 2019 Если реалии соответствуют снимку, то близко Ссылка на комментарий
Pavel-Pskov Опубликовано 6 декабря, 2019 Поделиться Опубликовано 6 декабря, 2019 Кмк при такой ситуации даже фдм сложно будет установить. 1 Ссылка на комментарий
Bier Опубликовано 6 декабря, 2019 Поделиться Опубликовано 6 декабря, 2019 вынимать Ссылка на комментарий
Evikrol Опубликовано 6 декабря, 2019 Поделиться Опубликовано 6 декабря, 2019 Был подобный случай, нагрузил. Прошло пока что 4 месяца.Тоже переживаю, жду и надеюсь. Ссылка на комментарий
dok1 Опубликовано 7 декабря, 2019 Поделиться Опубликовано 7 декабря, 2019 Проходил через подобное. 100% фиаско Ссылка на комментарий
layraldo Опубликовано 7 декабря, 2019 Автор Поделиться Опубликовано 7 декабря, 2019 выниматьспасибо за ответ! а что будет, если так оставить? чем это чревато? Ссылка на комментарий
layraldo Опубликовано 7 декабря, 2019 Автор Поделиться Опубликовано 7 декабря, 2019 Кмк при такой ситуации даже фдм сложно будет установить. его поставили и надели коронки, но это все равно значит, что они не проживут долго? Спасибо за ответ! Ссылка на комментарий
dok1 Опубликовано 7 декабря, 2019 Поделиться Опубликовано 7 декабря, 2019 Между имплантами нет полноценных кровеносных сосудов, соответственно нет питания и полноценной кости. Ссылка на комментарий
layraldo Опубликовано 8 декабря, 2019 Автор Поделиться Опубликовано 8 декабря, 2019 Между имплантами нет полноценных кровеносных сосудов, соответственно нет питания и полноценной кости.ясно( спасибо за объяснение Ссылка на комментарий
Рекомендуемые сообщения
Для публикации сообщений создайте учётную запись или авторизуйтесь
Вы должны быть пользователем, чтобы оставить комментарий
Создать аккаунт
Зарегистрируйте новый аккаунт в нашем сообществе. Это очень просто!
Регистрация нового пользователяВойти
Уже есть аккаунт? Войти в систему.
Войти