Перейти к содержанию
Стоматология для всех

Помогите составить тактику лечения... Запутался(


Nitrino1

Рекомендуемые сообщения

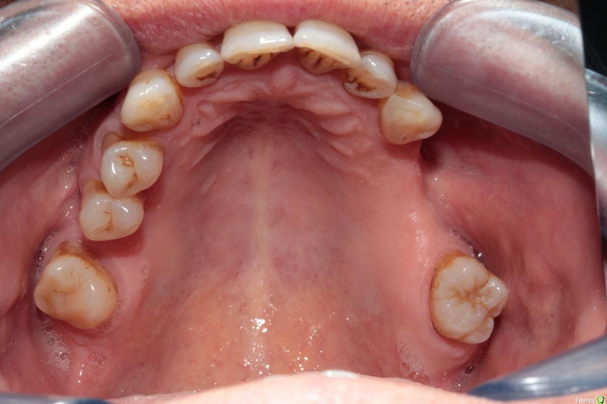
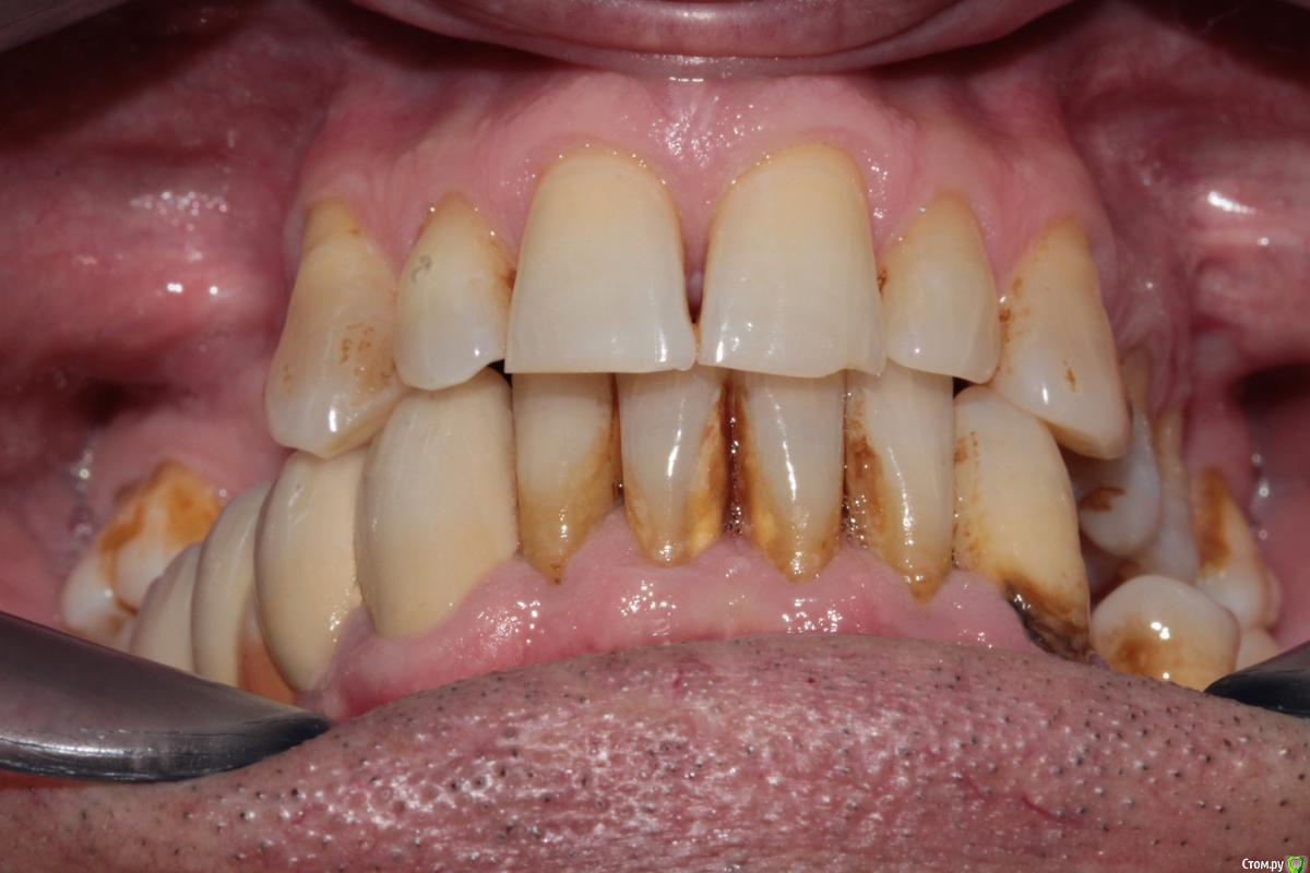
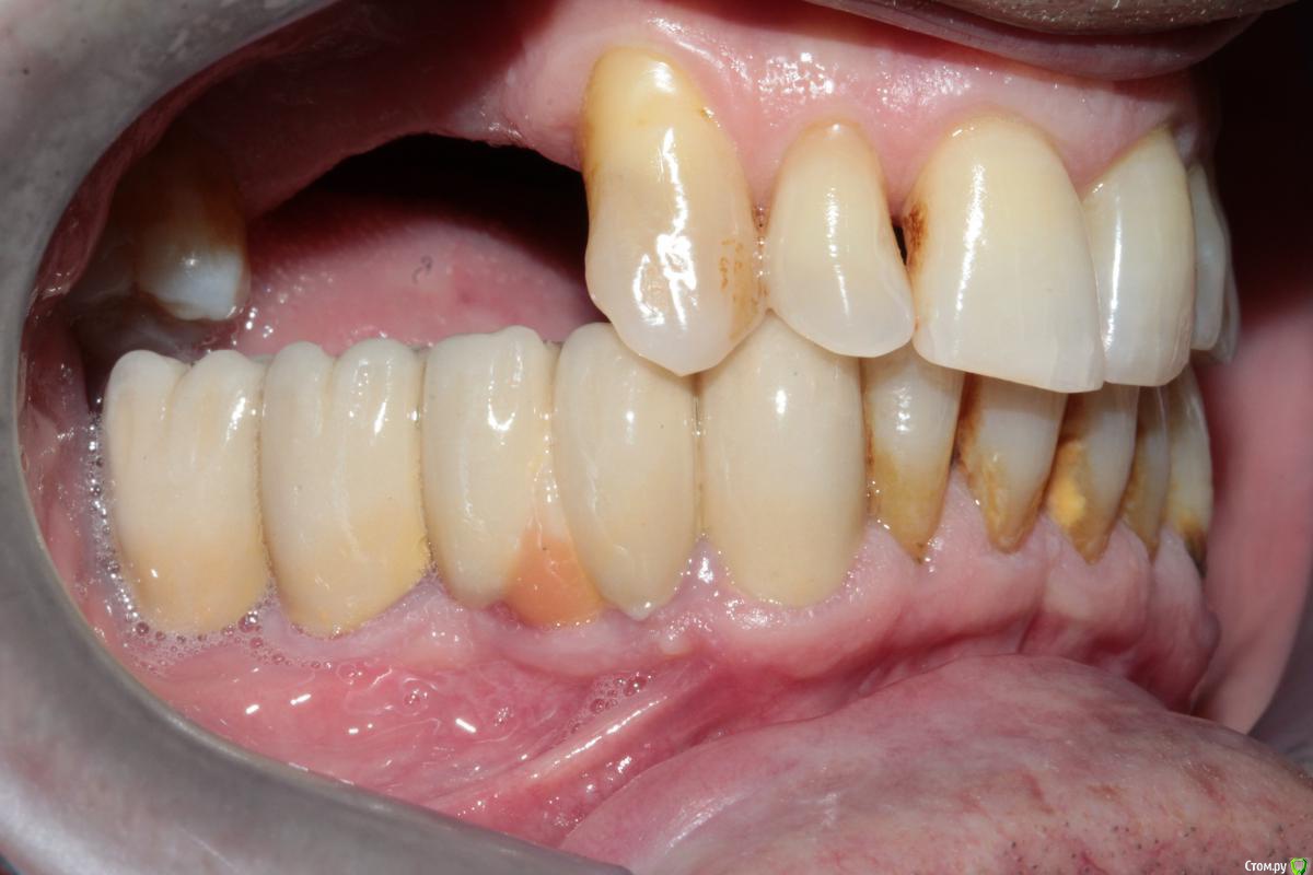
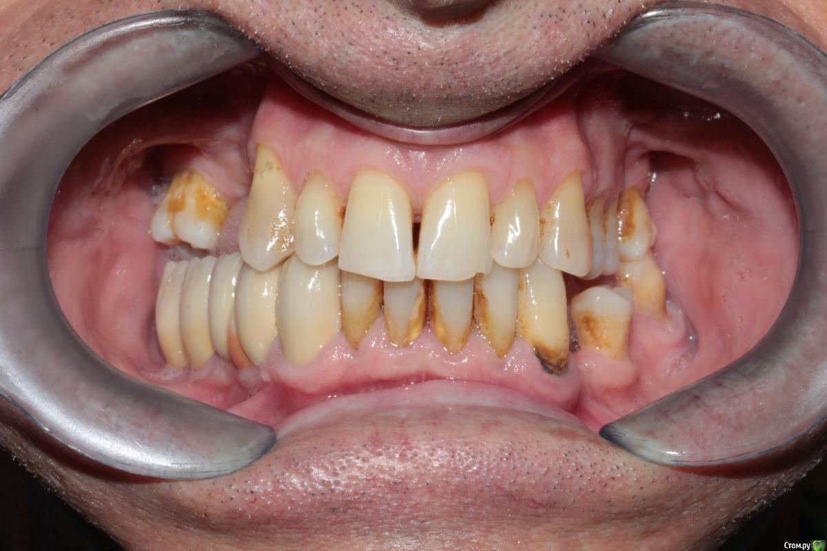
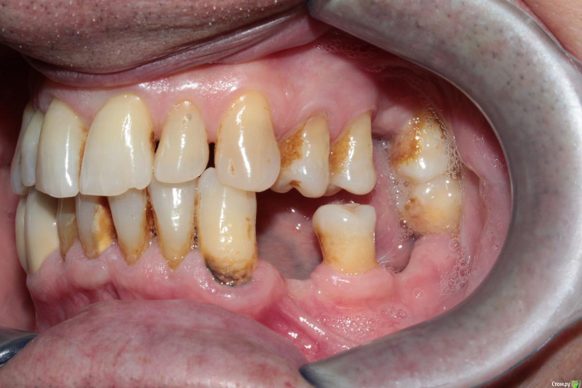
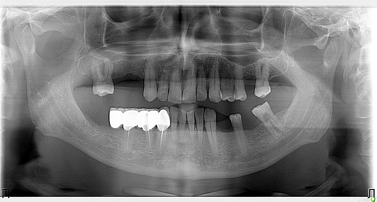
Здравствуйте уважаемые коллеги. Прошу у Вас совета какой план лечения вы бы рекомендовали данному пациенту.
Сразу замечу, я сначала рассматривал вариант с ортодонтией (чтобы собрать все зубы вместе) а далее в отсутствующие места имплантация. Но, пациент не в силах оплатить это лечение. Так как пациент мой бывший учитель, я хочу ему помочь, сделать работу которая материально минимально затратна и функционально его обеспечит. 
37ой зуб я уже удалил, сначала сделал ревизию, обнаружен был кариес корня по фуркации, поэтому удалили. На данный момент пациент не может полноценно жевать.
Меня больше смущает 2 момента, 1й - это то что на верхней челюсти зубы "разбросаны" как попало, не знаю что можно сделать не собрав их вместе предварительно. 2ой - в 4ом сегменте мост, консольный, его снимать не хочется, так как его по сути недавно поставили, а не сняв его не знаю что можно сделать в 3ем сегменте, если имплантацию откидываем как вариант....
Был предложен вариант сделать бюгель, с обычными кламмерами на верхней челюсти, как думаете при таком расположении зубов, это правильно?

 

P.S. - не совсем понятно как получилось  так, что фронт в контакте а премоляры вне контакта (слева). 
Спасибо за советы заранее

post-23100-0-49812900-1575450478_thumb.jpg

post-23100-0-66759000-1575450516_thumb.jpg

post-23100-0-79548900-1575450562_thumb.jpg

post-23100-0-57841800-1575450604_thumb.jpg

post-23100-0-06979200-1575450647_thumb.jpg

post-23100-0-22613200-1575450698_thumb.jpg

post-23100-0-88734400-1575450794_thumb.jpg

post-23100-0-77096300-1575450848_thumb.jpg

post-23100-0-08426100-1575450924_thumb.jpg

Ссылка на комментарий

Если вариант с имплантацией не рассматриваем 100%,то либо бюгеля,либо мосты.В случае НЧ,консольный зуб в крайнем случае можно отпилить,чтоьы не снимать весь мост,сделать мост 33-35 и кламмерный бюгель.На ВЧ аналогично,либо мосты,если 16 рискнете под опору,либо кламмерный бюгель

Изменено пользователем chervoncevdaniil
  • Поддерживаю 3
Ссылка на комментарий

Если вариант с имплантацией не рассматриваем 100%,то либо бюгеля,либо мосты.В случае НЧ,консольный зуб в крайнем случае можно отпилить,чтоьы не снимать весь мост,сделать мост 33-35 и кламмерный бюгель.На ВЧ аналогично,либо мосты,если 16 рискнете под опору,либо кламмерный бюгель

спасибо за ответ. Я с вами полностью согласен, хороший план, но меня вот беспокоят два момента: 1й - на верхнюю челюсть если сделать бюгель с кламмерами, то в области 24,25 там маленький зазор, а между 25 и 27 там зазор такой, что зуб вроде бы не поместится, в таких случаях там зуб не ставить? просто каркас? 

2й момент - слева премоляры вне контакта, если работать под существующий прикус (скорее всего так и будем работать) то они опять останутся без контакта, это не будет проблемой?

Ссылка на комментарий
24,25 там маленький зазор, а между 25 и 27 там зазор такой, что зуб вроде бы не поместится, в таких случаях там зуб не ставить

Поместится,в крайнем случае чуть пришлифуйте апроксималку,а зазор между 24 25 я думаю пациента не беспокоит,если беспокоит,пожалуйста,делайте дополнительно коронки и решайте вопрос.а по поводу низа если мост будет 33-35 то вы доведете их в контакт окклюзионно и пространства там не будет

Изменено пользователем chervoncevdaniil
  • Поддерживаю 1
Ссылка на комментарий

Поместится,в крайнем случае чуть пришлифуйте апроксималку,а зазор между 24 25 я думаю пациента не беспокоит,если беспокоит,пожалуйста,делайте дополнительно коронки и решайте вопрос.а по поводу низа если мост будет 33-35 то вы доведете их в контакт окклюзионно и пространства там не будет

все понял, спасибо за ответ)) благодарю)

Ссылка на комментарий

Для публикации сообщений создайте учётную запись или авторизуйтесь

Вы должны быть пользователем, чтобы оставить комментарий

Создать аккаунт

Зарегистрируйте новый аккаунт в нашем сообществе. Это очень просто!

Регистрация нового пользователя

Войти

Уже есть аккаунт? Войти в систему.

Войти
×
×
  • Создать...
Вверх