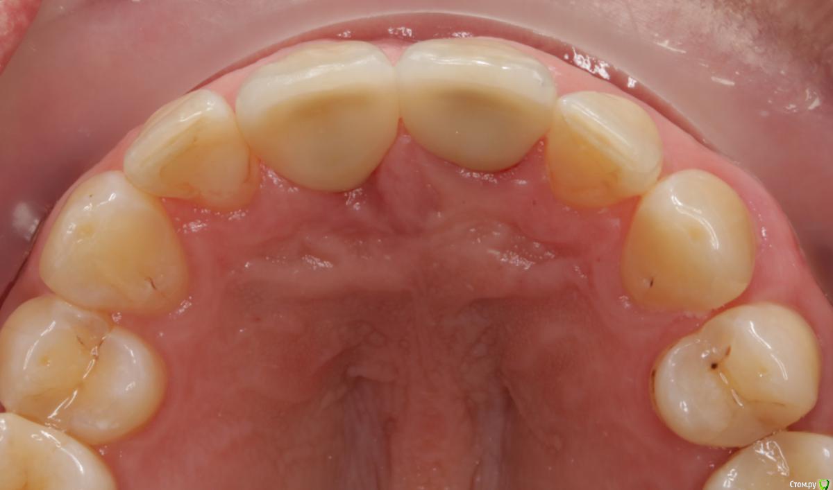
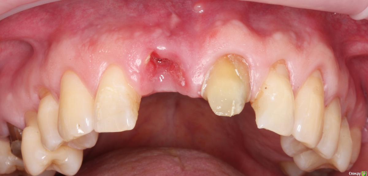
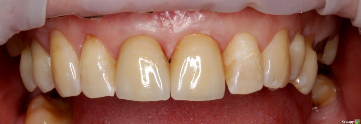
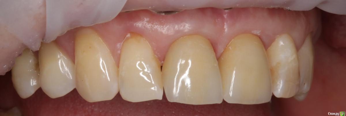
Dmitry DK Опубликовано 1 декабря, 2019 Поделиться Опубликовано 1 декабря, 2019 Имплантация с костной реконструкцие в позиции 11 з. Через 6 мес работа с мягкими тканями и временное протезирование.Протезирование 21 з одномоментно с установкой ортопедической конструкции на импл в поз 11 з. 10 Ссылка на комментарий
red_butler Опубликовано 1 декабря, 2019 Поделиться Опубликовано 1 декабря, 2019 Как делали НКР? Ссылка на комментарий
Dmitry DK Опубликовано 1 декабря, 2019 Автор Поделиться Опубликовано 1 декабря, 2019 Как делали НКР?Сосиска 1 Ссылка на комментарий
dok1 Опубликовано 2 декабря, 2019 Поделиться Опубликовано 2 декабря, 2019 Дайте ссыль почитать про "сосиску" плиз. Есть пробелы кое какие. Спасибо заранее 1 Ссылка на комментарий
stommm Опубликовано 2 декабря, 2019 Поделиться Опубликовано 2 декабря, 2019 Имплантация с костной реконструкцие в позиции 11 з. Через 6 мес работа с мягкими тканями и временное протезирование.Протезирование 21 з одномоментно с установкой ортопедической конструкции на импл в поз 11 з. Отличный результат Дайте ссыль почитать про "сосиску" плиз. Есть пробелы кое какие. Спасибо заранееАзбука, УРБАНИли Симко, УРБАН Ссылка на комментарий
Dmitry DK Опубликовано 2 декабря, 2019 Автор Поделиться Опубликовано 2 декабря, 2019 Отличный результат Азбука, УРБАНИли Симко, УРБАН+ Ссылка на комментарий
dok1 Опубликовано 2 декабря, 2019 Поделиться Опубликовано 2 декабря, 2019 На ютубе нашол видос. Насверлить отверстия, прикнопить мембрану, под неё графт и прикнопить поверх графта? Оно? 1 Ссылка на комментарий
АнтонТЛТ Опубликовано 2 декабря, 2019 Поделиться Опубликовано 2 декабря, 2019 Можно без отверстий, главное чтобы графт был неподвижный и набит по консистенции как камень) Ссылка на комментарий
Dmitry DK Опубликовано 3 декабря, 2019 Автор Поделиться Опубликовано 3 декабря, 2019 На ютубе нашол видос. Насверлить отверстия, прикнопить мембрану, под неё графт и прикнопить поверх графта? Оно?Да, по сути Ссылка на комментарий
dok1 Опубликовано 3 декабря, 2019 Поделиться Опубликовано 3 декабря, 2019 По сути. А какие отличия? В вашем случае? Ссылка на комментарий
aaxx Опубликовано 4 декабря, 2019 Поделиться Опубликовано 4 декабря, 2019 На ютубе нашол видосКиньте ссылку пожалуйста Ссылка на комментарий
dok1 Опубликовано 4 декабря, 2019 Поделиться Опубликовано 4 декабря, 2019 Уже непомню как набрать точно. Азбука урбан. И ниже в поиске яндекса прямо ярлык ютуба. 1 Ссылка на комментарий
Dmitry DK Опубликовано 6 декабря, 2019 Автор Поделиться Опубликовано 6 декабря, 2019 По сути. А какие отличия? В вашем случае?Не перфорировал кортикалку ( это в данном случае не требовалось ). Ссылка на комментарий
Рекомендуемые сообщения
Для публикации сообщений создайте учётную запись или авторизуйтесь
Вы должны быть пользователем, чтобы оставить комментарий
Создать аккаунт
Зарегистрируйте новый аккаунт в нашем сообществе. Это очень просто!
Регистрация нового пользователяВойти
Уже есть аккаунт? Войти в систему.
Войти