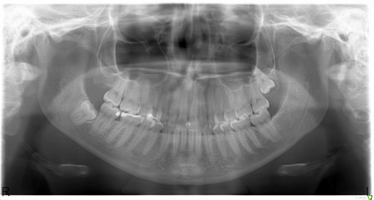
kadetlessy Опубликовано 28 ноября, 2019 Поделиться Опубликовано 28 ноября, 2019 (изменено) Здравствуйте! Дайте, пожалуйста, совет по поводу удаления нижней восьмерки. Снимок прилагаю. Была у двух специалистов. Один берется удалять без проблем, второй отказывается удалять, говорит, что зуб в кости, что это операция в стационаре и он не будет заниматься вредительством. Есть боль наверху неясной локализации, поэтому задумалась об удалении этого зуба, как о потенциальном источнике боли. Изменено 28 ноября, 2019 пользователем kadetlessy Ссылка на комментарий
red_butler Опубликовано 28 ноября, 2019 Поделиться Опубликовано 28 ноября, 2019 Снимок прилагаю. где? 1 Ссылка на комментарий
kadetlessy Опубликовано 28 ноября, 2019 Автор Поделиться Опубликовано 28 ноября, 2019 где? забыла добавить в сообщение исправила Ссылка на комментарий
red_butler Опубликовано 28 ноября, 2019 Поделиться Опубликовано 28 ноября, 2019 Не вижу проблем с удалением. Ищите квалифицированного хирург 1 Ссылка на комментарий
Irouil Опубликовано 28 ноября, 2019 Поделиться Опубликовано 28 ноября, 2019 Удалять, даже если не болит 1 Ссылка на комментарий
Jurai Опубликовано 28 ноября, 2019 Поделиться Опубликовано 28 ноября, 2019 Идите к первому специалисту, который не видит проблемы с удалением) удалять нужно и нижнюю справа и верхнюю слева. 1 Ссылка на комментарий
Рекомендуемые сообщения
Для публикации сообщений создайте учётную запись или авторизуйтесь
Вы должны быть пользователем, чтобы оставить комментарий
Создать аккаунт
Зарегистрируйте новый аккаунт в нашем сообществе. Это очень просто!
Регистрация нового пользователяВойти
Уже есть аккаунт? Войти в систему.
Войти