Перейти к содержанию
Стоматология для всех

Помогите найти причину болей


kadetlessy

Рекомендуемые сообщения

Здравствуйте! Год назад у меня откололся кусок пломбы от 6-ого зуба справа внизу. Стала забиваться пища, появились болевые ощущения. Пломбу мне поменяли, но боль не прошла. В течение двух недель сохранялся постоянный дискомфорт, спустя это время остались боль при накусывании и реакция на холодное/горячее. Кушала долгое время только на левой стороне. Плюс периодическая ноющая боль наверху над этим зубом, в каком конкретном зубе болит определить не могу - боль по всей стороне.

 

Полгода назад был пролечен кариес на соседнем зубе, седьмом. Стоит небольшая пломба.

 

За этот год положительная динамика есть - я могу жевать на правой стороне, правда не очень твердую пищу. Иногда зубы не беспокоят совсем. Но тем не менее очень часто та ноющая боль возвращается. Ночью она спать не мешает, но отнимает много сил. На кислое-холодное реагирует пломба 6-ого зуба, реакция кратковременная.

 

Я была у многих врачей за это время. Мнения врачей очень сильно расходятся. Предлагали препарировать 6-ой, 7-ой и 4-ый зуб (единственный запломбированный наверху на той стороне, где дискомфорт).

 

Предполагаю, что пломба изначально откололась из-за фисташки. Возможно, при этом так же верхние зубы повредились. Но врачи сходятся в одном - проблем наверху они не видят.

 

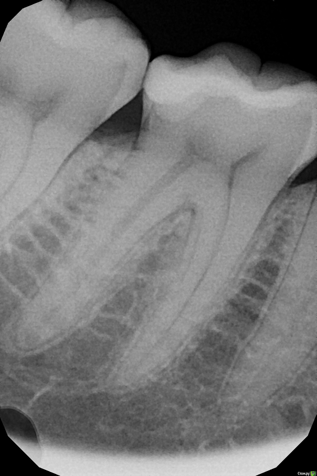
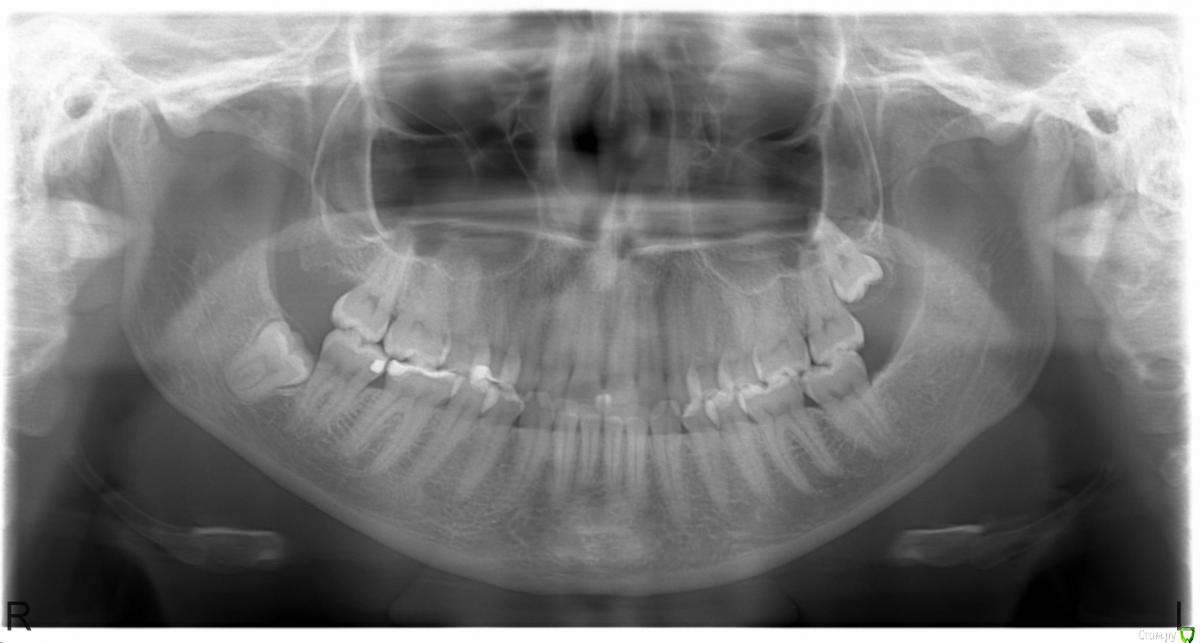
Прикрепляю общий снимок и прицельный снимок шестерки. Есть КТ этой стороны, если нужно.

 

post-59181-0-34856900-1574717651_thumb.jpg

post-59181-0-96662100-1574717694_thumb.jpg

Изменено пользователем kadetlessy
  • Поддерживаю 1
Ссылка на комментарий

Я думаю, проблема у вас все-таки в 6-ом зубе. Скорее всего в нем имеется хроническое воспаление пульпы. Процесс вялотекущий, поэтому сильных болей вы не испытываете. Для подтверждения диагноза нужно сделать ЭОД. На втором месте по вероятности стоит нарушение герметичности либо микроотрыв пломбы. Решается заменой реставрации. Наличие длительной ноющей боли вверху без четкой локализации является скорее всего иррадиацией от нижнего зуба. Это тоже говорит о том, что скорее всего в 6-ом зубе пульпит.

  • Поддерживаю 1
Ссылка на комментарий

Я думаю, проблема у вас все-таки в 6-ом зубе. Скорее всего в нем имеется хроническое воспаление пульпы. Процесс вялотекущий, поэтому сильных болей вы не испытываете. Для подтверждения диагноза нужно сделать ЭОД. На втором месте по вероятности стоит нарушение герметичности либо микроотрыв пломбы. Решается заменой реставрации. Наличие длительной ноющей боли вверху без четкой локализации является скорее всего иррадиацией от нижнего зуба. Это тоже говорит о том, что скорее всего в 6-ом зубе пульпит.

 

Спасибо за консультацию!

 

Вижу, что вы тоже из Тамбова, подскажите, пожалуйста, можно вам в лс написать по поводу возможности записи на прием?

Ссылка на комментарий

Для публикации сообщений создайте учётную запись или авторизуйтесь

Вы должны быть пользователем, чтобы оставить комментарий

Создать аккаунт

Зарегистрируйте новый аккаунт в нашем сообществе. Это очень просто!

Регистрация нового пользователя

Войти

Уже есть аккаунт? Войти в систему.

Войти
×
×
  • Создать...
Вверх