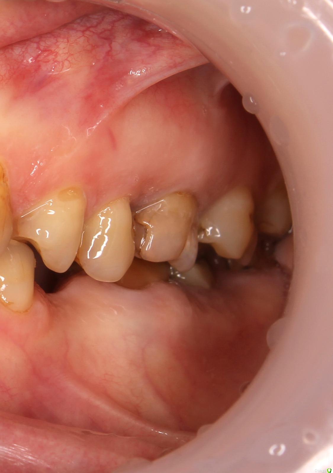
LOLga777 Опубликовано 24 ноября, 2019 Поделиться Опубликовано 24 ноября, 2019 (изменено) Здравствуйте, уважаемые врачи.37-й зуб. Депульпирован, стояла большая пломба. В 2013 году откололась наружная стенка зуба, скол близко к корню. Стоматологом № 1 был поставлен штифт, коронка восстановлена пломбой (фото с торчащим штифтом от 2013 года). Через год наружная часть пломбы откололась прямо по штифту, так ходила три года, ничего не царапало, не мешало. В 2016 году стоматолог № 2 в поликлинике уговорила запломбировать, в результате сделала скошенную наружную часть пломбы. Фото ротовой полости справа от 07.2019 г. прилагаю. Вопрос: что делать с 37-й зубом? Хирург не хочет удалять, говорит, что можно восстановить пломбой, и боится повредить 36-й. Не знаю, видно ли на снимках, в каком канале стоит штифт и можно ли поставить еще один штифт (второй штифт врач не поставила, насколько я помню, из-за того, что будет дороже и еще что-то там может не выдержать). Без второго штифта пломба, повторяющая анатомическую форму зуба, я считаю, простоит максимум год. С 36-м зубом тоже непонятно что делать, не идет ли там процесс кариеса на корне… Между корнями что-то черное (на КТ и 2016 года и 05.2019 года). Не хотелось бы покрывать коронкой зуб с гранулемой между корнями. Стоматолог предложил рассверлить пломбу и посмотреть.У меня ВОПРОС: можно ли будет что-то увидеть после рассверливания зуба, если процесс идет под «дном»? После сверления снимется еще часть тканей, а их там и так мало. По вкладкам и коронкам на 37-й зуб, наверное, надо продублировать тему в раздел «Протезирование». P.s. Есть большое количество других проблем Изменено 24 ноября, 2019 пользователем LOLga777 Ссылка на комментарий
red_butler Опубликовано 24 ноября, 2019 Поделиться Опубликовано 24 ноября, 2019 Удалять Ссылка на комментарий
LOLga777 Опубликовано 24 ноября, 2019 Автор Поделиться Опубликовано 24 ноября, 2019 УдалятьЧем обосновывается? А для хирурга в таком случае придется идти за направлением.. Ссылка на комментарий
red_butler Опубликовано 24 ноября, 2019 Поделиться Опубликовано 24 ноября, 2019 Чем обосновывается? объем оставшихся твердых тканей не позволяет восстановить зуб А для хирурга в таком случае придется идти за направлением.. зачем??? Ссылка на комментарий
LOLga777 Опубликовано 24 ноября, 2019 Автор Поделиться Опубликовано 24 ноября, 2019 (изменено) объем оставшихся твердых тканей не позволяет восстановить зуб зачем??? Он сказал, что без направления не будет удалять. Вклеит его в карту. По его мнению, зуб можно лечить. Поликлиника государственная, хотела удалить бесплатно по месту жительства, т.к предстоят огромные траты по зубам.Не ту цитату прикрепила.. Ответ - по вопросу зачем направление Изменено 24 ноября, 2019 пользователем LOLga777 Ссылка на комментарий
red_butler Опубликовано 24 ноября, 2019 Поделиться Опубликовано 24 ноября, 2019 Он сказал, что без направления не будет удалять. Вклеит его в карту. По его мнению, зуб можно лечить. Поликлиника государственная, хотела удалить бесплатно по месту жительства, т.к предстоят огромные траты по зубам.Не ту цитату прикрепила.. Ответ - по вопросу зачем направлениетогда идете к стоматологу ортопеду в этой клинике и берете направление. но лучше консультироваться и удалять у хирурга который будет Вас имплантировать Ссылка на комментарий
LOLga777 Опубликовано 24 ноября, 2019 Автор Поделиться Опубликовано 24 ноября, 2019 (изменено) тогда идете к стоматологу ортопеду в этой клинике и берете направлениеЭто платно. Я заявление напишу, чтоб удалил. У меня очень сложная ситуация. Мне уже говорят о тотальном протезировании, но я пока как-то не готова. После несанкционированного вмешательства в 47-й зуб спилили небный бугор 17-го зуба и пришлифовали 18, 47, 48. Прикус снизился. После спиливания бугра мне стало не хватать высоты зубов. Рассказывать долго, что было еще. Сейчас щелчки в ВНЧС остались, хорошо, хоть рот стал открываться на 3 пальца. По хорошему, надо идти к гнатологу с МРТ и КТ. Без тотального протезирования я не знаю, как исправлять заглаженные поверхности зубов и искать окклюзию, мне не хватает спиленного бугра, сейчас уже не восстановить того, что было. 46-й зуб хирург тоже ранее отказался удалять. Терапевт при вскрытии обнаружил кусок инструмента в дистальном канале, извлечь не смог. Сейчас зуб закрыт временной пломбой, которая наполовину уже разрушилась.Теперь думаю, какой зуб удалять - 37 или 46. Левой стороной (фото с тремя зубами) не очень пожуешь, но и с открытым 46-м долго нельзя ходить... А кто делает коронки в артикуляторе, разве хирург-имплантолог? Почему-то не прикрепляется снимок 46-го зуба с инструментом Изменено 24 ноября, 2019 пользователем LOLga777 Ссылка на комментарий
Бендер Опубликовано 25 ноября, 2019 Поделиться Опубликовано 25 ноября, 2019 Тогда и к ортодонту не грех за направлением и консультацией забежать Ссылка на комментарий
LOLga777 Опубликовано 25 ноября, 2019 Автор Поделиться Опубликовано 25 ноября, 2019 Тогда и к ортодонту не грех за направлением и консультацией забежатьЗаходила... бумагу надо было взять...И меня все-таки интересует, что можно увидеть между корней после рассверливания № 37. Мне кажется, что ничего, на то он и межкорневой процесс. Мне не очень понятно желание отдельных врачей пломбировать этот зуб... Ссылка на комментарий
Рекомендуемые сообщения
Для публикации сообщений создайте учётную запись или авторизуйтесь
Вы должны быть пользователем, чтобы оставить комментарий
Создать аккаунт
Зарегистрируйте новый аккаунт в нашем сообществе. Это очень просто!
Регистрация нового пользователяВойти
Уже есть аккаунт? Войти в систему.
Войти