Перейти к содержанию
Стоматология для всех

Помощь советом.


Рекомендуемые сообщения

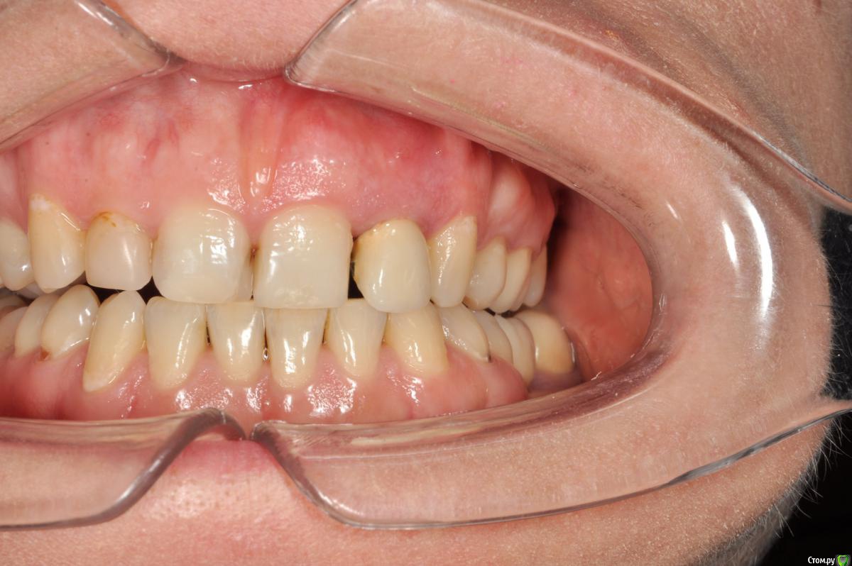
Посоветуйте, пожалуйста,  как лучше сделать в этом случае. Начинающий в имплантации (где-то 30 импл.) , во фронте   вовсе 3 штуки. 

Пациентка 37 лет, не курит, соматически здорова. Частое выпадение ЛШКВ с коронкой. Диагностирована  фрактура вестибулярной стенки кореня зуба 22. Линия улыбки высокая. Биотип толстый.  Отсутствие вестибулярной пластинки, карман 8мм без ексудата.  Латеротрузия через 22.

Какая стратегия предпочтительней удаление корня 22, НКР, времянка понтик, потом имплантация с правельним наклоном. Или одномоментно с вестибулярным уклоном и в будущем  инд.абатмени+цементная фиксация. 

Буду рад совету. 

 

post-23872-0-48885400-1574518416_thumb.jpg

post-23872-0-16042000-1574518428_thumb.jpg

post-23872-0-09891900-1574518440_thumb.jpg

post-23872-0-25280500-1574518448_thumb.jpg

post-23872-0-52294000-1574518477_thumb.jpg

post-23872-0-08834400-1574518507_thumb.jpg

post-23872-0-95712800-1574518530_thumb.jpg

post-23872-0-92413400-1574518561_thumb.jpg

post-23872-0-70615200-1574518596_thumb.jpg

post-23872-0-94476100-1574518618_thumb.jpg

post-23872-0-97913900-1574518656_thumb.jpg

post-23872-0-21169400-1574518691_thumb.jpg

post-23872-0-15456300-1574519223_thumb.jpg

Ссылка на комментарий

Посоветуйте, пожалуйста,  как лучше сделать в этом случае. Начинающий в имплантации (где-то 30 импл.) , во фронте   вовсе 3 штуки. 

Пациентка 37 лет, не курит, соматически здорова. Частое выпадение ЛШКВ с коронкой. Диагностирована  фрактура вестибулярной стенки кореня зуба 22. Линия улыбки высокая. Биотип толстый.  Отсутствие вестибулярной пластинки, карман 8мм без ексудата.  Латеротрузия через 22.

Какая стратегия предпочтительней удаление корня 22, НКР, времянка понтик, потом имплантация с правельним наклоном. Или одномоментно с вестибулярным уклоном и в будущем  инд.абатмени+цементная фиксация. 

Буду рад совету. 

2 вариант смело,через навигацию

Ссылка на комментарий

 

 

Или одномоментно с вестибулярным уклоном и в будущем  инд.абатмени+цементная фиксация.

что вы подразумеваете под этим? просто удалить и поставить имплант с немедленной нагрузкой? хотите уйти от НКР?

при любом варианте нужно или НКР, или IDR. Если Латеротрузия через 22, немедленная нагрузка не возможна так и так нужен какой либо временный протез, иммедиат или "бабочка"

делайте той методикой, которой владеете лучше всего, в которой уверенны, и все получится ;)

  • Поддерживаю 1
Ссылка на комментарий

Для публикации сообщений создайте учётную запись или авторизуйтесь

Вы должны быть пользователем, чтобы оставить комментарий

Создать аккаунт

Зарегистрируйте новый аккаунт в нашем сообществе. Это очень просто!

Регистрация нового пользователя

Войти

Уже есть аккаунт? Войти в систему.

Войти
×
×
  • Создать...
Вверх