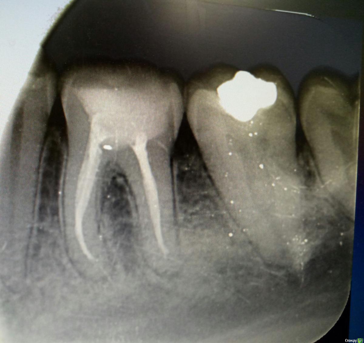
Verta Опубликовано 21 ноября, 2019 Поделиться Опубликовано 21 ноября, 2019 (изменено) Вечером разболелась половина лица, подумала на начинающийся гайморит или режущийся зуб мудрости. На 4 день боль локализовалась в нижней 6. Зуб пломбированный лет 15 назад, ранее не беспокоил, стал реагировать на холодное: рентген, пульпит. После наложения пасты реакция на холодное пропала, но при давлении на зуб сильная боль, также боль при давлении на десну под зубом только с внутренней стороны. Через 3 дня обратилась с болью- пасту переложили. После очередного приступа боли сделала КТ зуба, третий врач предположила, что это реакция на пасту. На лечении при прохождении одного канала была опять эта знакомая боль. Контрольный снимок показал правильно запломбированные каналы. И вот, спустя неделю, зуб сильно болит при накусывании, никаких изменений на дёснах нет, четыре врача не видят причины. Что делать? Снимки сделаны до лечения, ещё заложена паста Изменено 21 ноября, 2019 пользователем Verta Ссылка на комментарий
krokomot Опубликовано 22 ноября, 2019 Поделиться Опубликовано 22 ноября, 2019 Покажите снимки после лечения 1 Ссылка на комментарий
Verta Опубликовано 22 ноября, 2019 Автор Поделиться Опубликовано 22 ноября, 2019 Снимки остались у врача. Характер боли после пломбирования не изменился. Собираюсь сделать КТ обеих челюстей Ссылка на комментарий
Verta Опубликовано 22 ноября, 2019 Автор Поделиться Опубликовано 22 ноября, 2019 Снимок Ссылка на комментарий
krokomot Опубликовано 22 ноября, 2019 Поделиться Опубликовано 22 ноября, 2019 если боли не проходят, распломбировывать , снова мыть снова паста на основе гидроокиси кальция, затем постоянная пломбировка. по кт найти все каналы и возможные ответвления. 1 Ссылка на комментарий
Рекомендуемые сообщения
Для публикации сообщений создайте учётную запись или авторизуйтесь
Вы должны быть пользователем, чтобы оставить комментарий
Создать аккаунт
Зарегистрируйте новый аккаунт в нашем сообществе. Это очень просто!
Регистрация нового пользователяВойти
Уже есть аккаунт? Войти в систему.
Войти