Перейти к содержанию
Стоматология для всех

тотальное протезирование ЕМах


Петр Бриньковский

Рекомендуемые сообщения

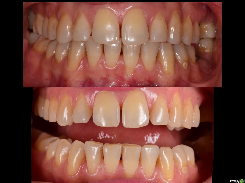
После длительного и не совсем удачного ортодонтического лечения..., имплантация во 2-м и 3- сегментах, стабилизация прикуса на капах, тотальное препарирование и перекрытие ЕМах-ом В1..., закрытие рецессии позже(пациентка устала и не принципиально под губой не видно.., но я настоял ,сделаем после Нг) Стабилизация на капах ночного ношения

post-46976-0-93970000-1574319054_thumb.jpeg

post-46976-0-77180400-1574319135_thumb.jpg

post-46976-0-01586600-1574319188_thumb.jpg

post-46976-0-68948600-1574319261_thumb.jpg

post-46976-0-15360400-1574319635_thumb.jpg

post-46976-0-47626700-1574319929_thumb.jpg

post-46976-0-07398500-1574320080_thumb.jpg

post-46976-0-09764200-1574320152_thumb.jpg

post-46976-0-62293200-1574320229_thumb.jpg

post-46976-0-83409000-1574320327_thumb.jpg

  • Поддерживаю 8
Ссылка на комментарий

Очень круто. Расскажите пожалуйста про каппы - они с вакуумформера? Если да, как с помощью таких капп формировали окклюзию, брали толстые пластины и пришлифовывали их в артикуляторе? Или наслаивали на каппу прозрачный акрил окклюзионно? Был ли мок-ап длительного ношения? Были ли изначально какие-то проблемы с суставом, мышцами? Что подразумеваете под стабилизацией после фиксации постоянных реставраций, в чем смысл этих капп, ведь если я правильно понял каппы были и до протезирования? 

Изменено пользователем BadMojo
Ссылка на комментарий

Очень круто. Расскажите пожалуйста про каппы - они с вакуумформера? Если да, как с помощью таких капп формировали окклюзию, брали толстые пластины и пришлифовывали их в артикуляторе? Или наслаивали на каппу прозрачный акрил окклюзионно? Был ли мок-ап длительного ношения? Были ли изначально какие-то проблемы с суставом, мышцами? Что подразумеваете под стабилизацией после фиксации постоянных реставраций, в чем смысл этих капп, ведь если я правильно понял каппы были и до протезирования? 

Спасибо) Изготавливали капы лабораторные, естественно все делалось в артикуляторе, вывели в ЦС, каких то особых проблем с суставом и болями у пациентки не было.., но судя по прикусу и расположению зубов после ортодонтии 100% возникли бы( . Мокап изготавливался на 2 недели. Стабилизация после фиксации постоянных реставраций будет минимум 2 года .., после такого тотала - обязательная необходимость и наблюдение

Ссылка на комментарий
  • 1 месяц спустя...

Спасибо) Изготавливали капы лабораторные, естественно все делалось в артикуляторе, вывели в ЦС, каких то особых проблем с суставом и болями у пациентки не было.., но судя по прикусу и расположению зубов после ортодонтии 100% возникли бы( . Мокап изготавливался на 2 недели. Стабилизация после фиксации постоянных реставраций будет минимум 2 года .., после такого тотала - обязательная необходимость и наблюдение

Красивая и живая работa.

Только по итогу не понял смысл кап после сдачи! да еще и на два года...???

  • Поддерживаю 1
Ссылка на комментарий

Для публикации сообщений создайте учётную запись или авторизуйтесь

Вы должны быть пользователем, чтобы оставить комментарий

Создать аккаунт

Зарегистрируйте новый аккаунт в нашем сообществе. Это очень просто!

Регистрация нового пользователя

Войти

Уже есть аккаунт? Войти в систему.

Войти
×
×
  • Создать...
Вверх