MARTA452 Опубликовано 19 ноября, 2019 Поделиться Опубликовано 19 ноября, 2019 Здравствуйте уважаемые доктора специалисты! Нужен ваш совет. В июле 1918 года обратилась в клинику за консультацией. Осматривали меня ортопед и имплантолог. У меня на верхней челюсти стоял мост из металокерамики ( прослужил мне 14 лет) и бюгельный протез. Предлагалось мне несколько вариантов. , но решили все удалить , сделать синус-лифтинг, установить 6 имплантов и на них небольшую поддесневую конструкцию на винтах с цирконивыеми коронками. . Выбрали импланты Анкилоз. Все рассчитали, я заплатила сразу под ключ всю сумму. Операции прошли без осложнений( так мне сказали), их было 5. После первой операции мне сразу надели пластинчатый временный протез. В мае имплантолог поставил последний имплант ,а в июне надел на них формирователи десен ., сделали заключительный снимок КТ и сказали , что можно через 2 недели протезироваться. О проблемах ни слова. И дали мне другого ортопеда. Ортопеду не нравились мои десна. Тянул время. Десна лучше не становились. В сентябре решил все ж поставить протез. Форму зубов мне не подбирали, временный протез мне не делали, была одна примерка восковой конструкции с нарисованными длинными зубами. Мне сказали, что я все равно ничего не пойму в эстетике, померили абантманты и решили сразу делать мне постоянную конструкцию. Через неделю мне поставил зубы, от которых я пришла в шок. Огромная наддесневая конструкция , которая устанавливается на цемент. С ужастной эстетикой. И врач ортопед из этой клиники уволился. Я решила обратиться к главврачу клиники с претензией . Главврач признала ошибки ортопеда и предлжила мне переделать конструкцию за счет клиники. Я решила самостоятельно разобраться почему так получилось. Сделала сначала панорамный снимок . Импланты стоят криво и конструкцию можно установить либо на цементе, либо на мультиюнитах ( так мне сказал независимый врач). Но когда я сделала дополнительно КТ. Я пришла еще в больший шок. Перфорация правого и левого синуса имплантами. И теперь сомневаюсь можно ли вообще что то устанавливать.? Или мне придется выкручивать импланты ? Врач ( не из этой клиники) сказал , что анкилоз выкручивать очень травмотично и лучше на мультиюниты установить конструкцию. Чем мне это грозит в дальнейшем. ? Ссылка на комментарий
red_butler Опубликовано 19 ноября, 2019 Поделиться Опубликовано 19 ноября, 2019 В июле 1918 года обратилась в клинику за консультацией. 1 Ссылка на комментарий
red_butler Опубликовано 19 ноября, 2019 Поделиться Опубликовано 19 ноября, 2019 сделали заключительный снимок КТ покажите Ссылка на комментарий
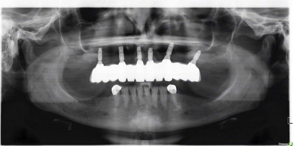
MARTA452 Опубликовано 19 ноября, 2019 Автор Поделиться Опубликовано 19 ноября, 2019 А это панорамный снимок и мои "Красивые" зубы. У меня болят десна и, прикусываю постоянно язык, у меня невнятная дикция и слюна брызгает. Конструкцию мне обещают переделать. Но что будет с костью и с гайморовой пазухой в дальнейшем? Ссылка на комментарий
MARTA452 Опубликовано 19 ноября, 2019 Автор Поделиться Опубликовано 19 ноября, 2019 (изменено) покажите Я прикрепила изображения. Не видно Вам? Это последний снимок., который я сделала сама в Пикассо. А тот который мне в клинике делали , мне его не показали. Изменено 19 ноября, 2019 пользователем MARTA452 Ссылка на комментарий
red_butler Опубликовано 19 ноября, 2019 Поделиться Опубликовано 19 ноября, 2019 Я прикрепила изображения. Не видно Вам?это панорамный снимок Ссылка на комментарий
MARTA452 Опубликовано 19 ноября, 2019 Автор Поделиться Опубликовано 19 ноября, 2019 это панорамный снимокА, поняла, снимки загрузила, но они превышают размер, сейчас еще попробую. Ссылка на комментарий
red_butler Опубликовано 19 ноября, 2019 Поделиться Опубликовано 19 ноября, 2019 А, поняла, снимки загрузила, но они превышают размер, сейчас еще попробую. сделайте скриншоты с контрольной Кт (как те что уже выложили), залейте на файлообменник и выкладывайте ссылки Ссылка на комментарий
MARTA452 Опубликовано 19 ноября, 2019 Автор Поделиться Опубликовано 19 ноября, 2019 (изменено) https://cloud.mail.ru/public/5j4P/2oBcvuhtfhttps://cloud.mail.ru/public/3nw6/5KJ4npuZ3https://cloud.mail.ru/public/43pr/3VFwF5FMFhttps://cloud.mail.ru/public/5HsL/4puNKQnRGhttps://cloud.mail.ru/public/5HsL/4puNKQnRG Вот так понятно? Изменено 19 ноября, 2019 пользователем MARTA452 Ссылка на комментарий
MARTA452 Опубликовано 19 ноября, 2019 Автор Поделиться Опубликовано 19 ноября, 2019 https://cloud.mail.ru/public/K2PG/5qHNRiZVM Ссылка на комментарий
red_butler Опубликовано 19 ноября, 2019 Поделиться Опубликовано 19 ноября, 2019 Вот так понятно? вы это уже выкладывали,покажите сделали заключительный снимок КТ Ссылка на комментарий
MARTA452 Опубликовано 19 ноября, 2019 Автор Поделиться Опубликовано 19 ноября, 2019 вы это уже выкладывали,покажите Это расшифровка последнего КТ со снимками. Извините, если я что то недопонимаю. Еще мне выслали сжатый файл. Вот ссылка на него https://cloud.mail.ru/public/2TDv/2mfoCT5AR Ссылка на комментарий
MARTA452 Опубликовано 19 ноября, 2019 Автор Поделиться Опубликовано 19 ноября, 2019 https://cloud.mail.r.../5HsL/4puNKQnRG https://cloud.mail.r.../K2PG/5qHNRiZV А это снимки с проблемных участков из исследования. Ничего другого я не могу Вам показать, к сожалению. Ссылка на комментарий
chervoncevdaniil Опубликовано 19 ноября, 2019 Поделиться Опубликовано 19 ноября, 2019 Сделайте,пожалуйста,обычное фото на телефон легкой улыбки и максимально широкой улыбки(произнося длинный звук и-и-и-и).Руками губы отодвигать не нужно просто два фото улыбки.Это нужно,чтобы оценить длинну зубов относительно ваших губ и лица в целом,потому что есть у меня предположение,что если длинна зубов относительно нормальная,то используя керамику при том уровне костной ткани который у вас сейчас есть исходно,координально изменить ситуацию на несъемной конструкции может и не получится Ссылка на комментарий
MARTA452 Опубликовано 19 ноября, 2019 Автор Поделиться Опубликовано 19 ноября, 2019 (изменено) Сделайте,пожалуйста,обычное фото на телефон легкой улыбки и максимально широкой улыбки(произнося длинный звук и-и-и-и).Руками губы отодвигать не нужно просто два фото улыбки.Это нужно,чтобы оценить длинну зубов относительно ваших губ и лица в целом,потому что есть у меня предположение,что если длинна зубов относительно нормальная,то используя керамику при том уровне костной ткани который у вас сейчас есть исходно,координально изменить ситуацию на несъемной конструкции может и не получитсяМне сказали, что эстетику можно и на этом протезе исправить. Длина передних зубов меня устраивает. Коренные зубы нет- они длиннее, чем передние. Нижний бюгельный протез не вмещается. Сами зубы плоские, как нарисованные. Десна плохо обозначена. Неестественная. Ну и большой он изнутри. Речь деформированная. Другое дело, что мне обещали на винтах, а поставили на цементе. Если что то с десной или имплантом произойдет проблематично снимать с цемента. И еще больше вопрос волнует, как поведут себя импланты , косо установленные, в гойморовы пазухи. Это же нагрузка будет не правильная, костная ткань будет разрушаться. Будут восполительные процессы . Или это ничего страшного и дело обычное? Изменено 19 ноября, 2019 пользователем MARTA452 Ссылка на комментарий
chervoncevdaniil Опубликовано 19 ноября, 2019 Поделиться Опубликовано 19 ноября, 2019 Коренные зубы нет- они длиннее, чем передние. Нижний бюгельный протез не вмещается Как понять не вмещается,у вас в прикусе,когда одет нижний бюгельный протез передние зубы не сходятся,там щель? Сами зубы плоские, как нарисованные. Десна плохо обозначена. Неестественная Он у вас зафиксирован на постоянный цемент?Если вам коронки изначально не понравились,зачем разрешали доктору фиксировать постоянно?По поводу цементной или винтовой,имплантов под углом и прочее не стоит волноваться,при правильном исполнении это все функционирует очень хорошо,выбор тут больше за врачом Ссылка на комментарий
MARTA452 Опубликовано 20 ноября, 2019 Автор Поделиться Опубликовано 20 ноября, 2019 Он у вас зафиксирован на постоянный цемент?Если вам коронки изначально не понравились,зачем разрешали доктору фиксировать постоянно?По поводу цементной или винтовой,имплантов под углом и прочее не стоит волноваться,при правильном исполнении это все функционирует очень хорошо,выбор тут больше за врачом Спасибо, что ответили. Поставили пока на временный цемент. Скажите, а как поведут себя импланты и гайморовы пазухи с перфорацией в дальнейшем ? У меня синус лифтинг отдельно, а имплант идет ровно в гайморову пазуху. Как с этим живут? Или нужно имплант удалять? Ссылка на комментарий
Bier Опубликовано 20 ноября, 2019 Поделиться Опубликовано 20 ноября, 2019 Да нормально себя ведут имплантаты в пазухе. Это не проблема. http://implantarium.ru/%d0%b8%d0%bc%d0%bf%d0%bb%d0%b0%d0%bd%d1%82%d0%b0%d1%82%d1%8b-%d0%b2-%d1%81%d0%b8%d0%bd%d1%83%d1%81%d0%b5/вот почитайте. В целом у вас все неплохо установлено. Протез лучше на мультиюнитах делать всегда в таких случаях. Имплантаты невозможно установить настолько ровно под винтовую фиксацию, тем более анкилоз. 1 Ссылка на комментарий
MARTA452 Опубликовано 21 ноября, 2019 Автор Поделиться Опубликовано 21 ноября, 2019 (изменено) Да нормально себя ведут имплантаты в пазухе. Это не проблема. http://implantarium.ru/%d0%b8%d0%bc%d0%bf%d0%bb%d0%b0%d0%bd%d1%82%d0%b0%d1%82%d1%8b-%d0%b2-%d1%81%d0%b8%d0%bd%d1%83%d1%81%d0%b5/вот почитайте. В целом у вас все неплохо установлено. Протез лучше на мультиюнитах делать всегда в таких случаях. Имплантаты невозможно установить настолько ровно под винтовую фиксацию, тем более анкилоз.Спасибо, Вам огромное за ответ и за ссылку. ! Успокоилась немного. Изменено 21 ноября, 2019 пользователем MARTA452 Ссылка на комментарий
Рекомендуемые сообщения
Для публикации сообщений создайте учётную запись или авторизуйтесь
Вы должны быть пользователем, чтобы оставить комментарий
Создать аккаунт
Зарегистрируйте новый аккаунт в нашем сообществе. Это очень просто!
Регистрация нового пользователяВойти
Уже есть аккаунт? Войти в систему.
Войти