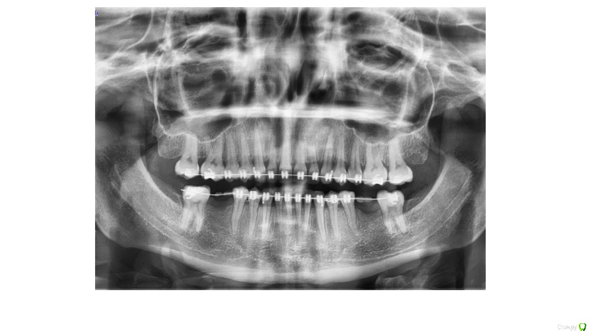
my_evid Опубликовано 15 ноября, 2019 Поделиться Опубликовано 15 ноября, 2019 Здравствуйте! Прошу высказать свое профессиональное мнение на мою ситуацию. Заканчиваю ортодонтическое лечение, 15 лет отсутствуют 46 и 36, мне сообщили о необходимости установки имплантов для дальнейшего сохранения результата. В итоге у трех хирургов разное мнение на этот счет: 1. необходима костная пластика по бокам и под имплантатом (с установкой костного блока) (вроде)2. костная пластика необходима по бокам3. костная пластика не нужна. Как мне объяснил врач, придерживающийся третьего варианта, костная пластика необходима в моем случае для того чтобы коронка была одинакового размера с остальными зубами, это важно только для эстетики, на жевательную способность это не влияет, а так, есть возможность имплантат вогнать глубже и обойтись без этой операции.Врач, придерживающийся второго варианта, сказал что тоже сделаем глубже имплантат, коронки будут отличаться по высоте, но пластика нужна по бокам, как я поняла, непосредственно для его установки.Так как это дополнительные средства и дополнительное вмешательство, не знаю как поступить. Сделала скрин КТ, надеюсь что-то будет ясно. Ссылка на комментарий
Irouil Опубликовано 15 ноября, 2019 Поделиться Опубликовано 15 ноября, 2019 Надо замеры делать на кт, но, на первый взгляд, возможны два последних, из перечисленных Вами, варианта, первый кажется чрезмерным Ссылка на комментарий
my_evid Опубликовано 15 ноября, 2019 Автор Поделиться Опубликовано 15 ноября, 2019 Надо замеры делать на кт, но, на первый взгляд, возможны два последних, из перечисленных Вами, варианта, первый кажется чрезмернымзнала бы я как это можно сделать) но, спасибо за ответ! Ссылка на комментарий
krokomot Опубликовано 15 ноября, 2019 Поделиться Опубликовано 15 ноября, 2019 На мой взгляд костная пластика вам не нужна, возможно потребуются действия с мягкими тканями, для улучшения окружающих коронку структур. Ссылка на комментарий
колесников Опубликовано 15 ноября, 2019 Поделиться Опубликовано 15 ноября, 2019 Вот так это будет выглядеть в третьем варианте. Так себе вариант Ссылка на комментарий
krokomot Опубликовано 15 ноября, 2019 Поделиться Опубликовано 15 ноября, 2019 Вот так это будет выглядеть в третьем варианте. Так себе вариантколлега на мой взгляд вы немного утрируете, по вершине гребня примерно 3.5 мм, на 1 мм от гребня 4 мм... Ссылка на комментарий
колесников Опубликовано 16 ноября, 2019 Поделиться Опубликовано 16 ноября, 2019 Посмотрите внимательней. 4 мм начинается от уровня тела челюсти. Измеряем конечно от внутренней стенки компактной пластинки Ссылка на комментарий
Bier Опубликовано 17 ноября, 2019 Поделиться Опубликовано 17 ноября, 2019 можно тут и без костной пластики и с нормальным зубом сделать. Правильный имплантат только выбрать. Ссылка на комментарий
my_evid Опубликовано 18 ноября, 2019 Автор Поделиться Опубликовано 18 ноября, 2019 Мне предложили на выбор имплантиум, штрауман и астру Ссылка на комментарий
red_butler Опубликовано 18 ноября, 2019 Поделиться Опубликовано 18 ноября, 2019 Мне предложили на выбор имплантиум, штрауман и аструвыбирать нужно врача, астра и штрауман прекрасные импланты Ссылка на комментарий
my_evid Опубликовано 18 ноября, 2019 Автор Поделиться Опубликовано 18 ноября, 2019 Спасибо всем кто откликнулся! Ссылка на комментарий
red_butler Опубликовано 18 ноября, 2019 Поделиться Опубликовано 18 ноября, 2019 Спасибо всем кто откликнулся!Тему закрываем, или Вы поделитесь результатом? Ссылка на комментарий
my_evid Опубликовано 19 ноября, 2019 Автор Поделиться Опубликовано 19 ноября, 2019 Тему закрываем, или Вы поделитесь результатом?Поделюсь) 1 Ссылка на комментарий
Рекомендуемые сообщения
Для публикации сообщений создайте учётную запись или авторизуйтесь
Вы должны быть пользователем, чтобы оставить комментарий
Создать аккаунт
Зарегистрируйте новый аккаунт в нашем сообществе. Это очень просто!
Регистрация нового пользователяВойти
Уже есть аккаунт? Войти в систему.
Войти