Перейти к содержанию
Стоматология для всех

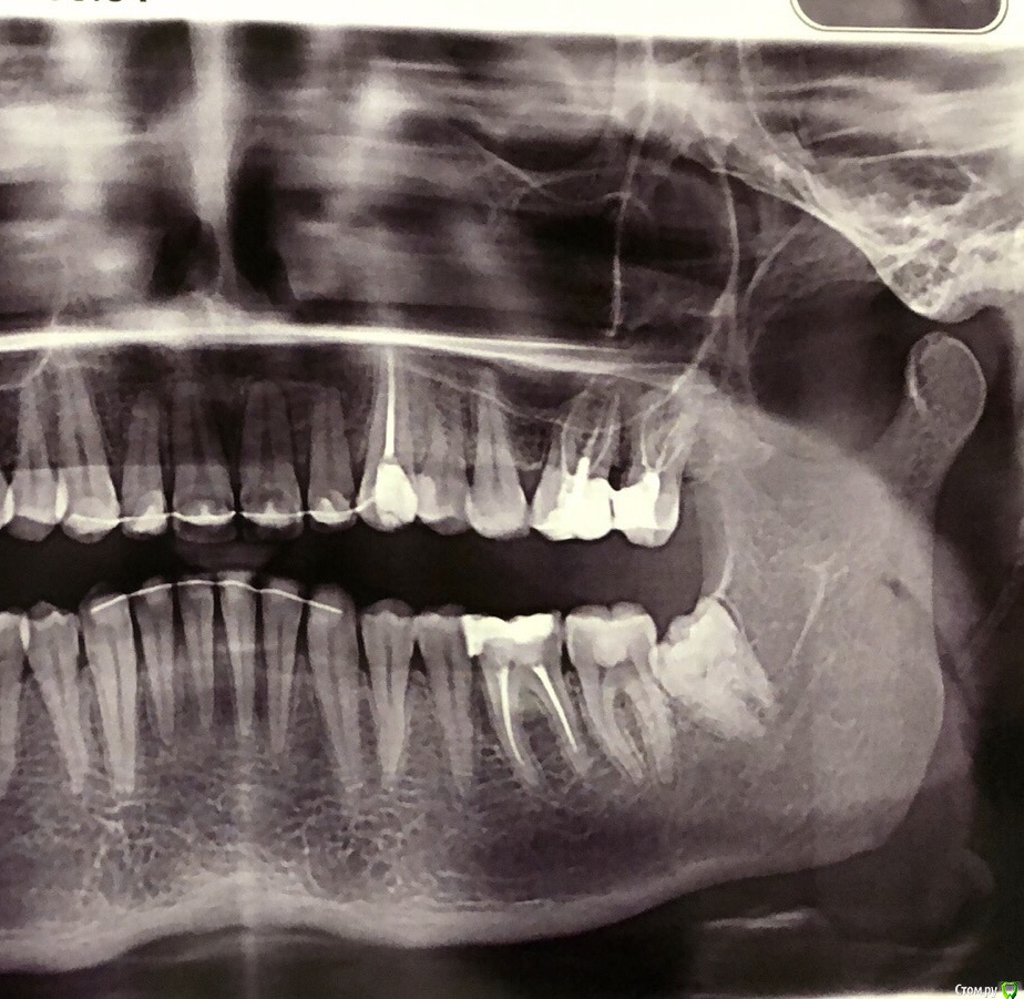
Месяц болит зуб после лечения пульпита


Анастасия Нетесов

Рекомендуемые сообщения

Здравствуйте, месяц назад пролечила верхние 6,7 по поводу пульпита. Неделю после лечения болела 6. Затихла на неделю и вот уже 3 неделю болит по ночам, иногда днём после еды. Врач говорит костный карман. Легче не стало, назначила антибиотик. Пью 3 дня, зуб 1 ночь не болел, на 2 ночь опять резко заныл. Не могу понять - менять врача или?

Врач говорит если аб не поможет то будет полностью перелечивать. Сегодня назначила электрофорез

На снимке есть нависание пломбы- уже убрала врач

По: показывала снимок другому врачу- сказал проблесков каналы хорошо, но из-за костного кармана нужна коронка

post-59098-0-73045000-1573679069_thumb.jpeg

Изменено пользователем Анастасия Нетесов
Ссылка на комментарий

Для публикации сообщений создайте учётную запись или авторизуйтесь

Вы должны быть пользователем, чтобы оставить комментарий

Создать аккаунт

Зарегистрируйте новый аккаунт в нашем сообществе. Это очень просто!

Регистрация нового пользователя

Войти

Уже есть аккаунт? Войти в систему.

Войти
×
×
  • Создать...
Вверх