Makalester Опубликовано 12 ноября, 2019 Поделиться Опубликовано 12 ноября, 2019 12 Ссылка на комментарий
stommm Опубликовано 17 ноября, 2019 Поделиться Опубликовано 17 ноября, 2019 (изменено) Спасибо за кейс. Результат и фото отличныеЧерез какое время последнее фото? Планируется ортодонтия?P.s. Бублик класс) Изменено 17 ноября, 2019 пользователем stommm 2 Ссылка на комментарий
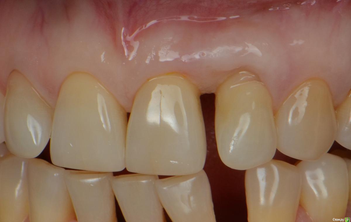
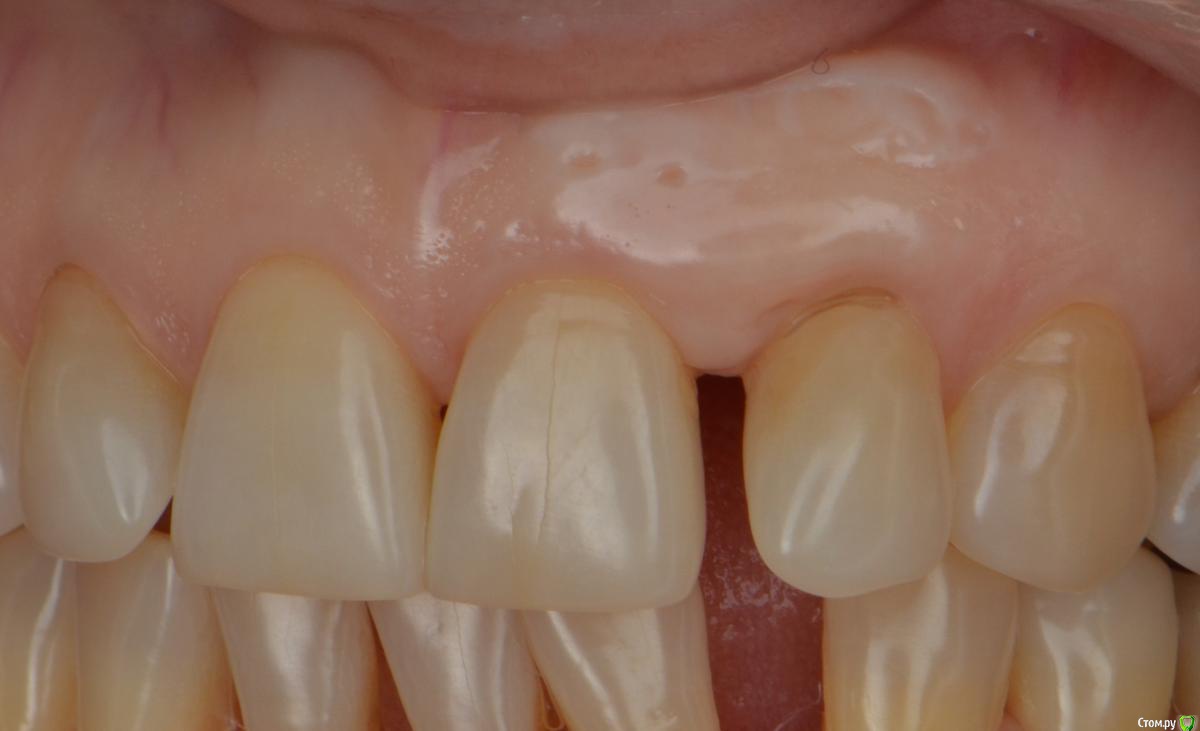
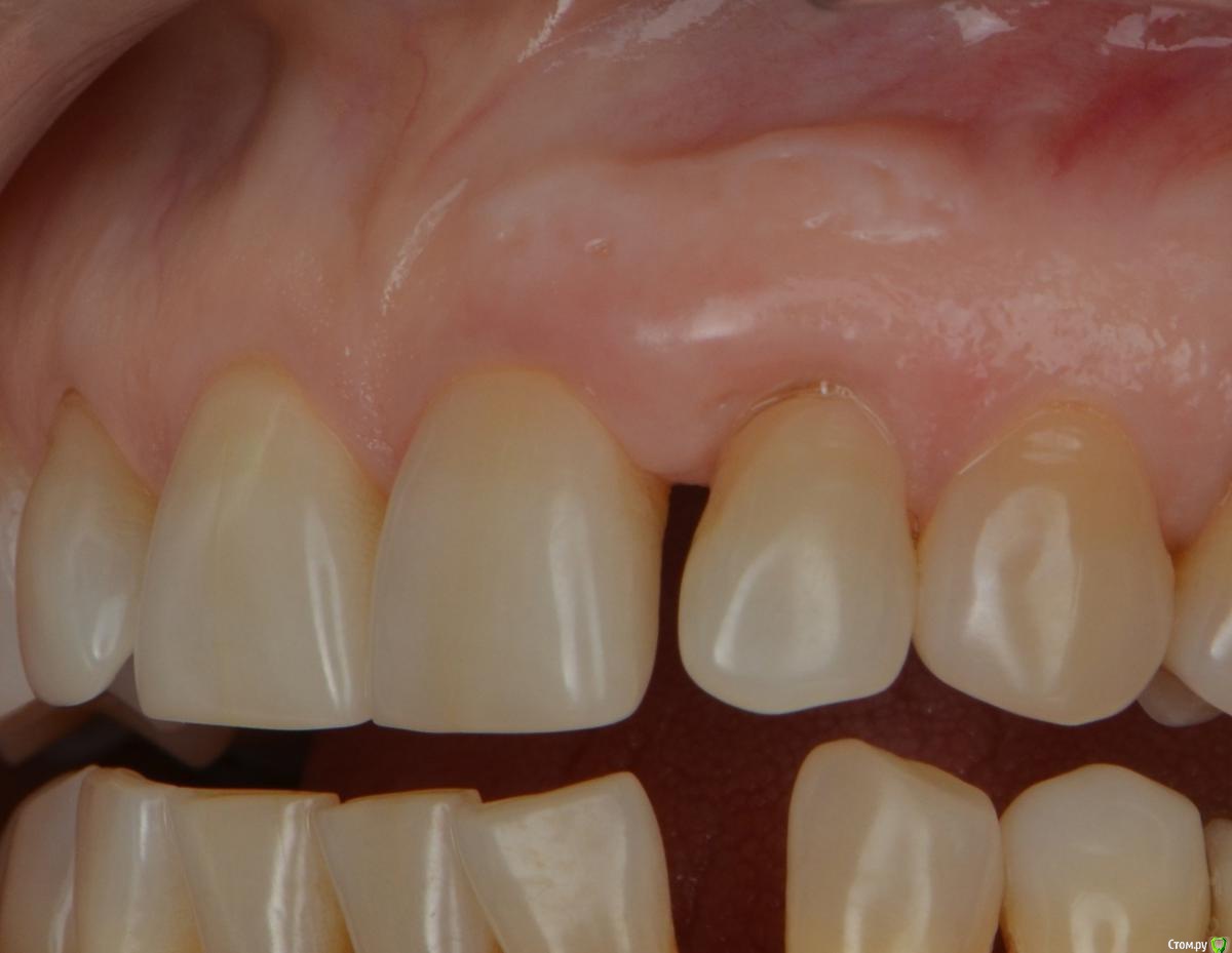
Makalester Опубликовано 17 ноября, 2019 Автор Поделиться Опубликовано 17 ноября, 2019 (изменено) Спасибо за кейс. Результат и фото отличныеЧерез какое время последнее фото? Планируется ортодонтия?P.s. Бублик класс)Спасибо. Фото через 2 месяца. Провели избирательное пришлифовывание зубов, с ортодонтией было бы лучше, но пациент не готов. Изменено 17 ноября, 2019 пользователем Makalester Ссылка на комментарий
Тимур86 Опубликовано 17 ноября, 2019 Поделиться Опубликовано 17 ноября, 2019 Воодушевляет, спасибо! С какой целью производили избирательное пришлифовывание? Ссылка на комментарий
Makalester Опубликовано 18 ноября, 2019 Автор Поделиться Опубликовано 18 ноября, 2019 Воодушевляет, спасибо! С какой целью производили избирательное пришлифовывание?С целью минимизировать риски возникновения рецессий. В данном случае боковое движение было по №22 . Ссылка на комментарий
dr Alexandr Опубликовано 3 декабря, 2019 Поделиться Опубликовано 3 декабря, 2019 Хорошая работа !!! Ссылка на комментарий
Рекомендуемые сообщения
Для публикации сообщений создайте учётную запись или авторизуйтесь
Вы должны быть пользователем, чтобы оставить комментарий
Создать аккаунт
Зарегистрируйте новый аккаунт в нашем сообществе. Это очень просто!
Регистрация нового пользователяВойти
Уже есть аккаунт? Войти в систему.
Войти