Перейти к содержанию
Стоматология для всех

Рекомендуемые сообщения

Здравствуйте! Откололся кусок зуба. 8 октября сделали КЛКТ (3Д снимок всех зубов). Вскрыли зуб, была проведена девитализация. Поставили диагноз: хронический фиброзный пульпит 37 зуба. 18 октября было проведено первичное лечение 3-х канального зуба эндомотором с использованием микроскопа и системы коффердам. Все каналы были запломбированы гуттаперчивыми штифтами на силлере методом латеральной конденсации Adseal, внутрь заложена ватка и поставлена временная пломба дентин-паста. 29 октября ортопед №1 посмотрел прицельный снимок (см. снимок зуба 2) и сам зуб, пломбу не снимал. Озвучил, что у меня низкая высота зуба, мне нужно установить культевую кобальт-хромовую вкладку и сверху покрыть металлокерамической коронкой зуб. Также сказал, что циркониевая вкладка мне не подходит из-за высоты. Однако, поскольку ортопед №1 уходил на обучение, мне было предложено обратиться в другую клинику к другому ортопеду. 1 ноября ортопед №2 посмотрев мой зуб без снимка заявил, что у меня сохранились три стенки у зуба и мне надо просто закрыть пломбой этой зуб. Поскольку ортопед №2 предложил диаметрально противоположное лечение зуба, то я решил обратиться в третью клинику. Ортопед №3 посмотрев снимок моего зуба, сам зуб, в том числе внутри (снял мою временную пломбу из дентина), заявил, что у меня низкая высота зуба и мне нельзя ставить культевую вкладку и коронку. И было предложено сделать вкладку из пресс керамики overlay. Также когда удалили временную пломбу у меня увидели кариес на этом зубе. В конце приема мне взамен снятой пломбы установили временную пломбу парасепт.

Вопросы:

1. Мог ли возникнуть кариес в этом зубе после проведенного лечения 8 и 18 октября или ортопед №3 меня "разводит" на деньги? Или такое возможно и тогда стоматолог-терапевт мне плохо лечил зуб под микроскопом? Кому из них больше можно доверять? И возможно ли, что кариес был спровоцирован ваткой, которую мне заложили после лечения?

2. Какое из трех вариантов лечения зуба предпочесть, если можно, то аргументировать, поскольку зуб уже "мертвый", но все таки в него уже вложена немалая сумма денег. И есть ли какая-то еще альтернатива предложенным вариантам лечения?

post-59055-0-61825200-1573237458_thumb.jpg

post-59055-0-54352300-1573237465_thumb.jpg

Ссылка на комментарий

Покажите снимок до лечения, по вашему фото точно сказать есть ли кариес в этом зубе нельзя, возможно есть, рентгеновский снимок нижнего зуба, а вы выкладываете вверх корнями, поправте  это, и думаю стоит перелечить,  как минимум дистальный канал(корень), по вашему снимку определяется выведение гуттаперчи за пределы корня это не по стандарту, выведение силлера допускается. У форума нет задачи определять, кто и кого разводит на деньги! мы помогаем людям в их сложных клинических ситуациях. В случае приведения пломбировки корней к приемлемому виду, я бы закончил его лечение фиксацией пресскерамической вкладкой, покрывать депульпированные зубы жевательной группы пломбами крайне не желательно.

Ссылка на комментарий

Покажите снимок до лечения, по вашему фото точно сказать есть ли кариес в этом зубе нельзя, возможно есть, рентгеновский снимок нижнего зуба, а вы выкладываете вверх корнями, поправте  это, и думаю стоит перелечить,  как минимум дистальный канал(корень), по вашему снимку определяется выведение гуттаперчи за пределы корня это не по стандарту, выведение силлера допускается. У форума нет задачи определять, кто и кого разводит на деньги! мы помогаем людям в их сложных клинических ситуациях. В случае приведения пломбировки корней к приемлемому виду, я бы закончил его лечение фиксацией пресскерамической вкладкой, покрывать депульпированные зубы жевательной группы пломбами крайне не желательно.

Спасибо за ответ. Перевернул снимок. Прицельного снимка до лечения не делали, только КЛКТ. Не знаю насколько подойдет снимок из КЛКТ, но прикрепил. Я правильно Вас понял, что мне пролечили плохо каналы под микроскопом, в частности дистальный канал, тк гуттаперча вышла за пределы корня? Мне нужно повторно перелечить этот канал под микроскопом?

Почему после перелечивания канала предлагаете именно пресскерамическую вкладку? Чем хуже вариант, который предложил ортопед №1 (культевая вкладка + металлокерамическая коронка)?

post-59055-0-94739200-1573287495_thumb.jpg

post-59055-0-46904100-1573287502_thumb.jpg

Ссылка на комментарий

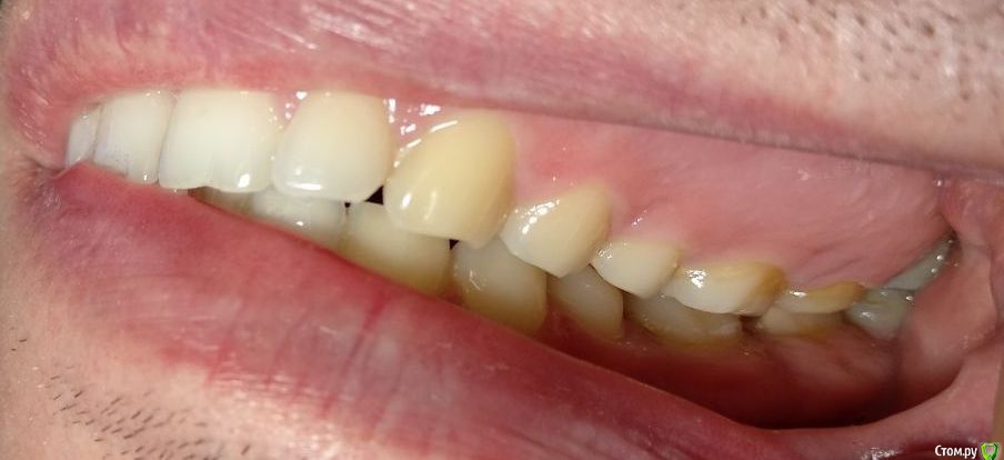
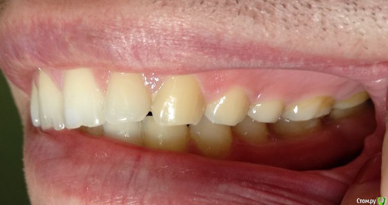
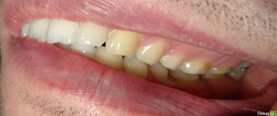
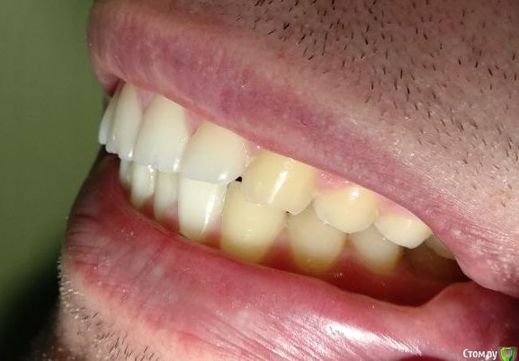
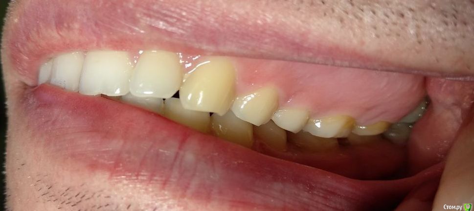
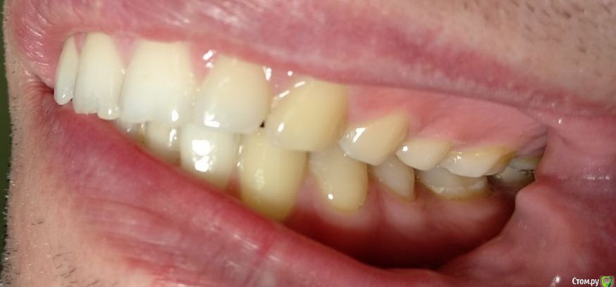
Нормально вылечены каналы. Покажите фото сомкнутыми зубами

Сделал несколько фотографий, тк не совсем понял с какого ракурса делать фото с сомкнутыми зубами.

post-59055-0-66158000-1573289770_thumb.jpg

post-59055-0-02437000-1573289777_thumb.jpg

post-59055-0-59196700-1573289787_thumb.jpg

post-59055-0-03513800-1573289794_thumb.jpg

post-59055-0-33903200-1573289802_thumb.jpg

post-59055-0-73684500-1573289808_thumb.jpg

post-59055-0-47574800-1573289816_thumb.jpg

Ссылка на комментарий

Для публикации сообщений создайте учётную запись или авторизуйтесь

Вы должны быть пользователем, чтобы оставить комментарий

Создать аккаунт

Зарегистрируйте новый аккаунт в нашем сообществе. Это очень просто!

Регистрация нового пользователя

Войти

Уже есть аккаунт? Войти в систему.

Войти
×
×
  • Создать...
Вверх