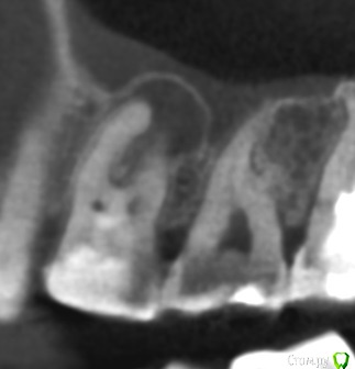
vse32 Опубликовано 6 ноября, 2019 Поделиться Опубликовано 6 ноября, 2019 Я стоматолог терапевт, поэтому вопрос почти как от обывателя.16 зуб, женщина около 35 лет (не видела ее, коллега мужа по работе). В сторонней клинике сделали ОПТГ и КТ и рекомендовали удаление с одномоментной имплантацией. Со слов женщины предложен корейский имплантат за х рублей + подсадка за х рублей. Или американский имплантат за 2х рублей без подсадок.Вопрос - нормально ли это делать одномоментно при наличии кистогранулемы (вне обострения).Лечить эндодонтически могу, но сомневаюсь в гарантийности работы. Ссылка на комментарий
Evikrol Опубликовано 6 ноября, 2019 Поделиться Опубликовано 6 ноября, 2019 Теоретически возможно, но я бы подождал три месяца с повторным кт после удаления 1 Ссылка на комментарий
red_butler Опубликовано 7 ноября, 2019 Поделиться Опубликовано 7 ноября, 2019 всё возможно в этой жизни. Интересно посмотреть такой кейс. Но Со слов женщины предложен корейский имплантат за х рублей + подсадка за х рублей. Или американский имплантат за 2х рублей без подсадок. это смущает 2 Ссылка на комментарий
Irouil Опубликовано 7 ноября, 2019 Поделиться Опубликовано 7 ноября, 2019 Реально, конечно. Но надо нормально кт посмотреть. По поводу принципа формирования цен: может быть дело просто в размерах?)) Бывает, что я могу предложить астру 3.0 или корейца 3.6 с шаманизмом, в этом разница) тут, конечно, 3.0 не стОит, но может короткий или ещё чего) Ссылка на комментарий
Тимур86 Опубликовано 7 ноября, 2019 Поделиться Опубликовано 7 ноября, 2019 Вообще никакой необходимости здесь в одномоментной не вижу. Как по мне-риски слишком высоки. 2 Ссылка на комментарий
колесников Опубликовано 7 ноября, 2019 Поделиться Опубликовано 7 ноября, 2019 (изменено) всё возможно в этой жизни. Интересно посмотреть такой кейс. Но это смущает а что Вас смущает? Ситуация очень благоприятная,киста сама сделала синуслифтинг,если сделаем паузу-потеряем этот объём Изменено 7 ноября, 2019 пользователем колесников 4 Ссылка на комментарий
vse32 Опубликовано 7 ноября, 2019 Автор Поделиться Опубликовано 7 ноября, 2019 И что посоветовать выбрать пациентке? Корейский имплантат за х рублей + подсадка за х рублей. Или американский имплантат за 2х рублей без подсадок. Американский, предположу, что Bicon. Его вроде за 80.000 предлагали. Ссылка на комментарий
Irouil Опубликовано 7 ноября, 2019 Поделиться Опубликовано 7 ноября, 2019 Нужно полноценно кт смотреть. С байконом не работал, но слышал плохие отзывы на ортопедию. Корейские винты сейчас, в основном, довольно добротные. Выяснить бы в чем причина разницы в хирургических протоколах Ссылка на комментарий
Бендер Опубликовано 7 ноября, 2019 Поделиться Опубликовано 7 ноября, 2019 Кистогранулемы? Ссылка на комментарий
dok1 Опубликовано 8 ноября, 2019 Поделиться Опубликовано 8 ноября, 2019 И что посоветовать выбрать пациентке? Корейский имплантат за х рублей + подсадка за х рублей. Или американский имплантат за 2х рублей без подсадок. Американский, предположу, что Bicon. Его вроде за 80.000 предлагали.Нерискует пусть. Удалит. И через 3 месяца прогнозируемо поставит имплант. Не в деньгах смысл. А в суммарном качестве 1 Ссылка на комментарий
red_butler Опубликовано 8 ноября, 2019 Поделиться Опубликовано 8 ноября, 2019 а что Вас смущает? Ситуация очень благоприятная,киста сама сделала синуслифтинг,если сделаем паузу-потеряем этот объёмТо что выбор импланта позволяет отказаться от графта Ссылка на комментарий
TIGER Опубликовано 8 ноября, 2019 Поделиться Опубликовано 8 ноября, 2019 Я стоматолог терапевт, поэтому вопрос почти как от обывателя.16 зуб, женщина около 35 лет (не видела ее, коллега мужа по работе). В сторонней клинике сделали ОПТГ и КТ и рекомендовали удаление с одномоментной имплантацией. Со слов женщины предложен корейский имплантат за х рублей + подсадка за х рублей. Или американский имплантат за 2х рублей без подсадок.Вопрос - нормально ли это делать одномоментно при наличии кистогранулемы (вне обострения).Лечить эндодонтически могу, но сомневаюсь в гарантийности работы.направьте к компетентному врачу эндодонту,тут переличить и никаких извращений с имплантацией Ссылка на комментарий
vse32 Опубликовано 8 ноября, 2019 Автор Поделиться Опубликовано 8 ноября, 2019 (изменено) направьте к компетентному врачу эндодонту,тут переличить и никаких извращений с имплантацией Я себя считаю неплохим эндодантистом. Но мой опыт не дает возможности дать серьезную гарантию на этот зуб. А Вы можете? Изменено 8 ноября, 2019 пользователем vse32 Ссылка на комментарий
vse32 Опубликовано 8 ноября, 2019 Автор Поделиться Опубликовано 8 ноября, 2019 Сделаю тему в терапии, посмотрю как коллеги о прогнозах эндодонтического лечения отзовутся. Ссылка на комментарий
колесников Опубликовано 8 ноября, 2019 Поделиться Опубликовано 8 ноября, 2019 То что выбор импланта позволяет отказаться от графта я иногда так сам делаю,в плане скидки,если пациент выбрал премиальную систему или согласился с предложенным мной планом лечения . Может у него остаюсь немного графта с прошлого раза,почему бы не сделать приятное хорошему человеку? 1 Ссылка на комментарий
колесников Опубликовано 8 ноября, 2019 Поделиться Опубликовано 8 ноября, 2019 И что посоветовать выбрать пациентке? Корейский имплантат за х рублей + подсадка за х рублей. Или американский имплантат за 2х рублей без подсадок. Американский, предположу, что Bicon. Его вроде за 80.000 предлагали. предположу что американский- это Нобель актив . Хотя...если взять толстый байкон,то он займёт собой весь объём лунки и графт не нужен. Но мне кажется Байкон надо сверху графтом засыпать. Я бы рекомендовал корейский с графтом Ссылка на комментарий
TIGER Опубликовано 10 ноября, 2019 Поделиться Опубликовано 10 ноября, 2019 Я себя считаю неплохим эндодантистом. Но мой опыт не дает возможности дать серьезную гарантию на этот зуб. А Вы можете? я могу,учитывая,что в любой момент я могу сделать апико и зарыть вопрос с этим зубом) Ссылка на комментарий
Evikrol Опубликовано 10 ноября, 2019 Поделиться Опубликовано 10 ноября, 2019 а что Вас смущает? Ситуация очень благоприятная,киста сама сделала синуслифтинг,если сделаем паузу-потеряем этот объёмКакой протокол имплантации в таком случае, как быть уверенным что инфекции не осталось в полости с гноем? Как вообще правильно? Удалить, обильно промыть эндошприцем, крутить с графтом или без? Кюретажить или нет? Ссылка на комментарий
колесников Опубликовано 10 ноября, 2019 Поделиться Опубликовано 10 ноября, 2019 Какой протокол имплантации в таком случае, как быть уверенным что инфекции не осталось в полости с гноем? Как вообще правильно? Удалить, обильно промыть эндошприцем, крутить с графтом или без? Кюретажить или нет? ну ладно пациенты,но Вы то! Какой гной! Где? Вылущили оболочку-все чисто. Обычно и вылущивать ничего не нужно,вынули зуб ,а на нем висит оболочка. Ревизию по стенкам конечно лучше делать и промыть. Грануляции от жидкости набухают и визуализируются. Лунка под капсулой стерильна. Главное чтобы слюна не попала и не остались грануляции. Я всегда использую графт,тк такой объём сгусток не в состоянии сохранить,распадётся. 1 Ссылка на комментарий
rimtar Опубликовано 11 ноября, 2019 Поделиться Опубликовано 11 ноября, 2019 а что Вас смущает? Ситуация очень благоприятная,киста сама сделала синуслифтинг,если сделаем паузу-потеряем этот объёмкрасивая идея и фото, но как фиксирован имплант? просто лежит в графте? 1 Ссылка на комментарий
Irouil Опубликовано 11 ноября, 2019 Поделиться Опубликовано 11 ноября, 2019 (изменено) красивая идея и фото, но как фиксирован имплант? просто лежит в графте?Бикортикально (вернее - в кортикалке дна пазухи) и в перегородке, там где она осталась. Если широкий винт - в стенках лунки. В таких рейсах и 10 Н*см достаточно Изменено 11 ноября, 2019 пользователем Irouil 1 Ссылка на комментарий
колесников Опубликовано 11 ноября, 2019 Поделиться Опубликовано 11 ноября, 2019 (изменено) Просто лежать в графте на в/ч он не может,силу тяжести никто не отменял. Имплант обязательно должен контактировать с нативной костью и иметь хоть минимальную ,но стабильность. Стабильность,как ответили выше ,можно получить зацепившись апексом за свод, где то за перегородку,и фдм иногда помогает. Были случаи стабильности только от супраструктуры и имплант интегрировался.Это не просто идея и красивое фото,это вполне себе рабочая модель Изменено 11 ноября, 2019 пользователем колесников 4 Ссылка на комментарий
Рекомендуемые сообщения
Для публикации сообщений создайте учётную запись или авторизуйтесь
Вы должны быть пользователем, чтобы оставить комментарий
Создать аккаунт
Зарегистрируйте новый аккаунт в нашем сообществе. Это очень просто!
Регистрация нового пользователяВойти
Уже есть аккаунт? Войти в систему.
Войти