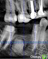
Тимур86 Опубликовано 5 ноября, 2019 Поделиться Опубликовано 5 ноября, 2019 (изменено) Очень хочется поставить сюда астру стоит ли себя сдерживать? Изменено 5 ноября, 2019 пользователем Тимур86 Ссылка на комментарий
Дмитрий Л. Опубликовано 5 ноября, 2019 Поделиться Опубликовано 5 ноября, 2019 Безусловно. Ссылка на комментарий
red_butler Опубликовано 5 ноября, 2019 Поделиться Опубликовано 5 ноября, 2019 Очень хочется поставить сюда астру стоит ли себя сдерживать?Не стоит бороться со своими желаниями... я бы удалил и гисту провёл, а потом можно и астру Ссылка на комментарий
Тимур86 Опубликовано 5 ноября, 2019 Автор Поделиться Опубликовано 5 ноября, 2019 Не стоит бороться со своими желаниями... я бы удалил и гисту провёл, а потом можно и астру думаешь оно инкапсулированное? Мне кажется это типа остеомы, хотел забрать трепаном перед подготовкой ложа и на гистологию Ссылка на комментарий
red_butler Опубликовано 5 ноября, 2019 Поделиться Опубликовано 5 ноября, 2019 думаешь оно инкапсулированное? Мне кажется это типа остеомы, хотел забрать трепаном перед подготовкой ложа и на гистологиюДа, вроде капсула есть 1 Ссылка на комментарий
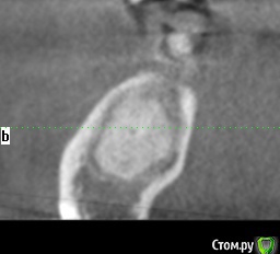
Тимур86 Опубликовано 5 ноября, 2019 Автор Поделиться Опубликовано 5 ноября, 2019 Ну вот на панораме вроде есть, а на срезах не сказать Ссылка на комментарий
Bier Опубликовано 5 ноября, 2019 Поделиться Опубликовано 5 ноября, 2019 а анамнез какой? может это биоосс в кисте? Ссылка на комментарий
Тимур86 Опубликовано 6 ноября, 2019 Автор Поделиться Опубликовано 6 ноября, 2019 Нет, пластики и подсадки отрицает Ссылка на комментарий
Тимур86 Опубликовано 30 ноября, 2019 Автор Поделиться Опубликовано 30 ноября, 2019 По ощущениям как зачаток был Ссылка на комментарий
Дмитрий М Опубликовано 5 декабря, 2019 Поделиться Опубликовано 5 декабря, 2019 По ощущениям как зачаток былТимур, распилили и по частям достали? чем либо закрыли дефект? Ссылка на комментарий
Тимур86 Опубликовано 6 декабря, 2019 Автор Поделиться Опубликовано 6 декабря, 2019 Тимур, распилили и по частям достали? чем либо закрыли дефект? Точно. Как дистопирлванную 8ку!несколько губок коллапола в лунку и ушил. 2 Ссылка на комментарий
red_butler Опубликовано 6 декабря, 2019 Поделиться Опубликовано 6 декабря, 2019 Точно. Как дистопирлванную 8ку!несколько губок коллапола в лунку и ушил.на гисту не отдали? Ссылка на комментарий
Тимур86 Опубликовано 6 декабря, 2019 Автор Поделиться Опубликовано 6 декабря, 2019 на гисту не отдали?Как-то в голову не пришло. Главное-ничего криминального,вроде как,нету. Ссылка на комментарий
Дмитрий М Опубликовано 15 декабря, 2019 Поделиться Опубликовано 15 декабря, 2019 (изменено) Точно. Как дистопирлванную 8ку!несколько губок коллапола в лунку и ушил. легко ушла, анкилоза не было? фиброзная капсула? как заживление? покажите Rg после удаления Изменено 15 декабря, 2019 пользователем Дмитрий М Ссылка на комментарий
Дмитрий М Опубликовано 15 декабря, 2019 Поделиться Опубликовано 15 декабря, 2019 на гисту не отдали?+1 Ссылка на комментарий
Тимур86 Опубликовано 15 декабря, 2019 Автор Поделиться Опубликовано 15 декабря, 2019 легко ушла, анкилоза не было? фиброзная капсула? как заживление? покажите Rg после удаленияНет, достаточно легко. КТ перед имплантацией покажу, месяца через 2-3 Ссылка на комментарий
Дмитрий М Опубликовано 16 декабря, 2019 Поделиться Опубликовано 16 декабря, 2019 Нет, достаточно легко. КТ перед имплантацией покажу, месяца через 2-3ок ждем), спасибо что выкладываете, интересный случай Ссылка на комментарий
Тимур86 Опубликовано 14 июля, 2020 Автор Поделиться Опубликовано 14 июля, 2020 Сегодня закрутились. Кость плотная. 1 Ссылка на комментарий
Дмитрий М Опубликовано 2 августа, 2020 Поделиться Опубликовано 2 августа, 2020 Возможно такое, что это был зачаток зуба который не сформировался и оссифицировался со временем? Ссылка на комментарий
Тимур86 Опубликовано 2 августа, 2020 Автор Поделиться Опубликовано 2 августа, 2020 Вроде как пациентка вспомнила,что делали какую-то костную подсадку... Ссылка на комментарий
Дмитрий Л. Опубликовано 30 сентября, 2020 Поделиться Опубликовано 30 сентября, 2020 Вроде как пациентка вспомнила,что делали какую-то костную подсадку...Посмеялся) Тимур, сейчас бы, если б ситуация повторилась, планировали одномоментную имплантацию? Ссылка на комментарий
Тимур86 Опубликовано 1 октября, 2020 Автор Поделиться Опубликовано 1 октября, 2020 Посмеялся) Тимур, сейчас бы, если б ситуация повторилась, планировали одномоментную имплантацию?Навряд ли. Дефект достаточно большой был. Ссылка на комментарий
Тимур86 Опубликовано 1 октября, 2020 Автор Поделиться Опубликовано 1 октября, 2020 Есть похожая ситуация! Но тут сложнее :глубже, и в непосредственной близости с нервом... У кого какие мысли? Ссылка на комментарий
Рекомендуемые сообщения
Для публикации сообщений создайте учётную запись или авторизуйтесь
Вы должны быть пользователем, чтобы оставить комментарий
Создать аккаунт
Зарегистрируйте новый аккаунт в нашем сообществе. Это очень просто!
Регистрация нового пользователяВойти
Уже есть аккаунт? Войти в систему.
Войти