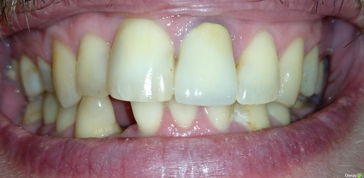
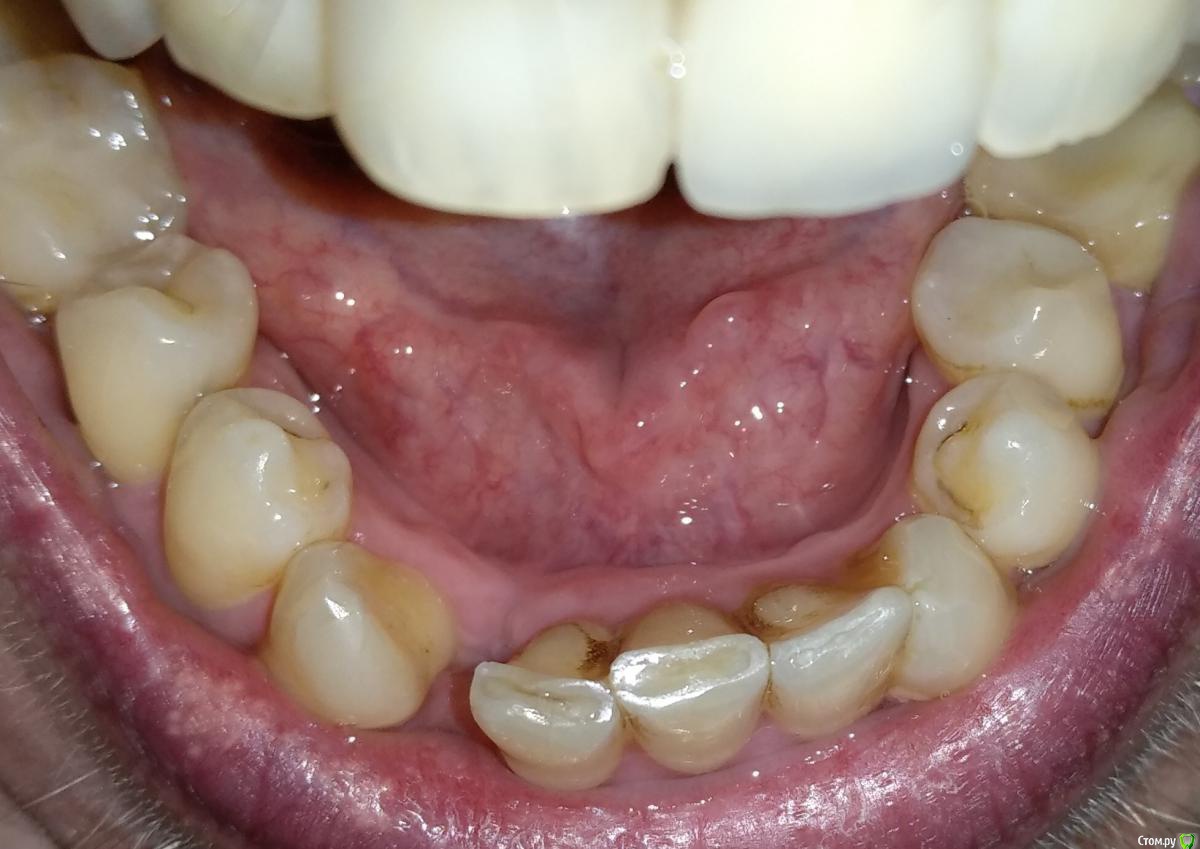
Medbrat Опубликовано 5 ноября, 2019 Поделиться Опубликовано 5 ноября, 2019 Здравствуйте!Прошу рекомендовать метод коррекции и указать возможные сложности в следующем случае:Произведено удаление 42 зуба из за пульпита.Планируется ортодонтическое смещение 41,31,32 для замещения дефекта и разворот 43,33.Рентгена нет, прилагаю фотографии.Спасибо! Ссылка на комментарий
red_butler Опубликовано 5 ноября, 2019 Поделиться Опубликовано 5 ноября, 2019 Этот раздел требует больше данных http://forum.stom.ru/topic/4655-patcientam/ Ссылка на комментарий
Medbrat Опубликовано 5 ноября, 2019 Автор Поделиться Опубликовано 5 ноября, 2019 Да, спасибо. Дело то в том, что врач ортодонт не предлагал делать ортопантомограмму, сказал что начнем через 2 месяца после удаления: поставим на 6 зубов брекеты на полгодика.А я, пока перестраховываюсь - спрашиваю совета, пока не поздно... Ссылка на комментарий
Рекомендуемые сообщения
Для публикации сообщений создайте учётную запись или авторизуйтесь
Вы должны быть пользователем, чтобы оставить комментарий
Создать аккаунт
Зарегистрируйте новый аккаунт в нашем сообществе. Это очень просто!
Регистрация нового пользователяВойти
Уже есть аккаунт? Войти в систему.
Войти