Medbrat Опубликовано 5 ноября, 2019 Поделиться Опубликовано 5 ноября, 2019 Здравствуйте, уважаемые доктора!Прошу консультации по следующему случаю:Три недели назад была удалена правая двойка снизу. Через 4 дня альвостаз выпал из лунки, на пятый день альвеолит (боль, лимфоузлы. Метрогил). Доктор при осмотре сказал само пройдёт. Через две недели на осмотре Rg - чисто. Сказал не беда, лучше не трогать, если что - выйдет на переднюю стенку, тут всё рядом. В итоге: прошло три недели, на передней стороне десны небольшой свищ, небольшое гнойное/кровяное отделяемое в течении недели.Выглядит прилично, не беспокоит. Подвывих рядом стоящей единицы (не фиксировали) тоже неплохо, рот уже закрывается нормально.Вопрос, что же делать с альвеолитом - само пройдёт?Спасибо! Ссылка на комментарий
red_butler Опубликовано 5 ноября, 2019 Поделиться Опубликовано 5 ноября, 2019 http://forum.stom.ru/topic/20613-sovety-patcientam-obiazatelno-k-prochteniiu/ Ссылка на комментарий
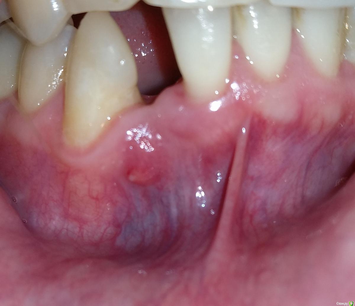
Medbrat Опубликовано 5 ноября, 2019 Автор Поделиться Опубликовано 5 ноября, 2019 Прошу прощения, вот фото. Ссылка на комментарий
Medbrat Опубликовано 5 ноября, 2019 Автор Поделиться Опубликовано 5 ноября, 2019 Прошу прощения, вот фото. Ссылка на комментарий
red_butler Опубликовано 5 ноября, 2019 Поделиться Опубликовано 5 ноября, 2019 и Rg покажите Ссылка на комментарий
Medbrat Опубликовано 5 ноября, 2019 Автор Поделиться Опубликовано 5 ноября, 2019 Показать Rg затруднительно, на руках нет. Но я видел его: удаление полное, никаких теней нет... Ссылка на комментарий
red_butler Опубликовано 5 ноября, 2019 Поделиться Опубликовано 5 ноября, 2019 Показать Rg затруднительно, на руках нет. Но я видел его: удаление полное, никаких теней нет...нужно исключить что свищ от соседнего зуба. В идеале сделать Кт. Если проблема только с лункой то провести кюретаж 1 Ссылка на комментарий
Medbrat Опубликовано 5 ноября, 2019 Автор Поделиться Опубликовано 5 ноября, 2019 (изменено) Спасибо!Доктор, правда, говорит подождать недельку... Изменено 5 ноября, 2019 пользователем Medbrat Ссылка на комментарий
Рекомендуемые сообщения
Для публикации сообщений создайте учётную запись или авторизуйтесь
Вы должны быть пользователем, чтобы оставить комментарий
Создать аккаунт
Зарегистрируйте новый аккаунт в нашем сообществе. Это очень просто!
Регистрация нового пользователяВойти
Уже есть аккаунт? Войти в систему.
Войти