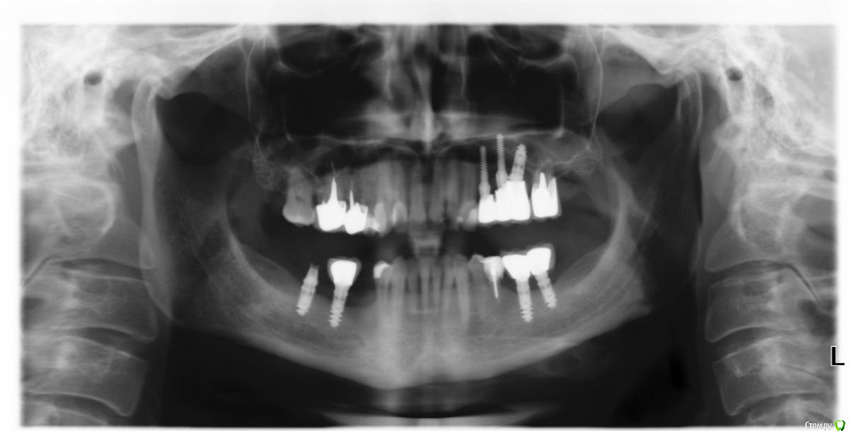
Татьяна_2010 Опубликовано 4 ноября, 2019 Поделиться Опубликовано 4 ноября, 2019 Уважаемые врачи!Посоветуйте, пожалуйста, что лучше предпринять в области 5 зуба справа внизу. История следующая. В 2011 году поставили за раз 7 имплантов. Три сверху слева (через пол года после синус лифтинга) и по 2 импланта внизу (шестерка и семерка) слева и справа. Так как жевать было нечем, то поставили протез, который крепился за пятые зубы. Через месяц пятерки расшатались. Справа 5-ку пришлось удалить. В 2013 году в районе 5-ки справа было проведено две операции по имплантации. Дважды имплант не прижился. При исследовании микрофлоры верхних дыхательных путей и зева был обнаружен золотистый стафилококк. В 2017 году справа с 7-ки слетела коронка с импланта. Обратно ее не поставили, так как десна просела и предложили консоль. Коронки на 7 и 6 зубе будут держать коронку над 5-м. Я бы очень не хотела использовать этот вариант. До нерва под 5-кой было 8 мм в 2017 году, сейчас возможно меньше. Десна совершенно тонкая (узкий альвеолярный гребень). Можно ли в моем случае нарастить десну и при хороших анализах поставить имплант? Заранее спасибо! Ссылка на комментарий
АнтонТЛТ Опубликовано 4 ноября, 2019 Поделиться Опубликовано 4 ноября, 2019 Имплантат в области 6 зуба по снимку не очень хорошо выглядит. Такое ощущение, что половина его длины не в кости. Не помните что за фирма имплантатов? Ссылка на комментарий
Татьяна_2010 Опубликовано 5 ноября, 2019 Автор Поделиться Опубликовано 5 ноября, 2019 Помню, все 7 имплантов израильской фирмы ARDS. Мне сказали, что они взаимозаменяемы с МИС. Мне предлагали удалить 6, но я на это не хочу идти, так как дважды пятый имплант не приживался... Ссылка на комментарий
Irouil Опубликовано 6 ноября, 2019 Поделиться Опубликовано 6 ноября, 2019 Я бы рассматривал 2 варианта: 1) протезировать эти два имплантата временными коронками, ходить с ними год, затем принимать решение о постоянном протезировании. Состояние тканей вокруг имплантатов не идеальное, но выдержать, скорее всего, нагрузку должны. В таком случае отказаться от имплантации в позицию 5 зуба и ограничить все консолью - разумный вариант, по моему мнению 2) идти на костную пластику и в области 5, и в области уже установленных имплантатов, с их предварительным удалением или без Ссылка на комментарий
Татьяна_2010 Опубликовано 6 ноября, 2019 Автор Поделиться Опубликовано 6 ноября, 2019 Спасибо Вам Irouil и Антон ТЛТ!Мне больше нравится 2 вариант. После того как уехала мой врач имплантолог, которой я доверяла полностью, обошла много клиник, в том числе институт стоматологии в Москве, и везде мне говорили, что костная пластика не для меня. Одно пояснение я запомнила- так как у меня отсутствует губчатая кость с кровеносными сосудами в области 5-ки и соответственно, подсаживаемый костный материал будет очень долго прорастать сосудами (если вообще будет), медленнее будет идти образование кости. Вы рассматриваете вариант костной пластики! Я очень рада! А у меня действительно нет этой губчатой кости? Методики костной пластики почитала, но так и не поняла, если действительно нет этой губчатой кости, то каким образом будет «прирастать» подсаживаемый материал? Почитала ваш форум. Вдохновляют работы врачей, пришло понимание, что и в области стоматологии медицина продвинулась вперед. Под впечатлением от работ Карена Габриеляна, врача от Бога. Уходят лучшие, вечная ему память. Я верю, что есть и другие врачи делающие невозможное возможным. Ссылка на комментарий
Рекомендуемые сообщения
Для публикации сообщений создайте учётную запись или авторизуйтесь
Вы должны быть пользователем, чтобы оставить комментарий
Создать аккаунт
Зарегистрируйте новый аккаунт в нашем сообществе. Это очень просто!
Регистрация нового пользователяВойти
Уже есть аккаунт? Войти в систему.
Войти