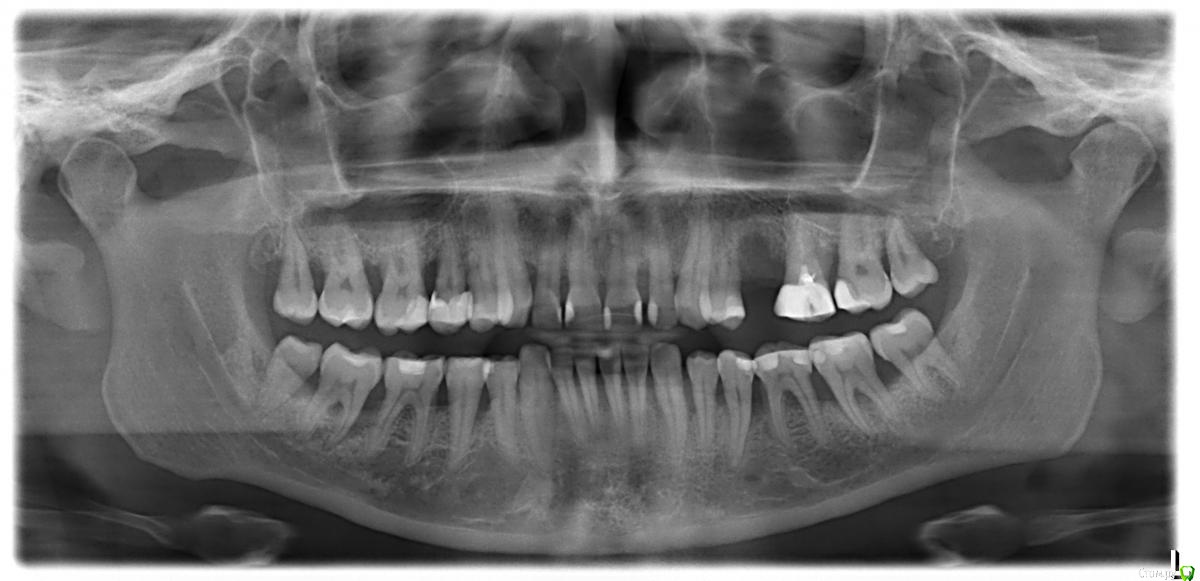
31n Опубликовано 26 октября, 2019 Поделиться Опубликовано 26 октября, 2019 (изменено) Добрый день! См. снимок ОПТГ от 29 апр 2019 г.Исходные данные: наследственных заболеваний нет, анализы (общий/биохимия, гормоны) в норме (Т4 своб чуть завышен - 0,835), ничего не болит/не беспокоит, 36-37 малоподвижны, состояние ротовой полости "ничего такого, прилично" (местами рецессия десны).Пока собираю консенсус-мнение о плане лечения.Предложенные планы:1. Клиника по ОМС: собрать анализы, заболевание "инактивно" (на зондирование в области 47 болевой реакции нет), показан вектор и плазмолифтинг.2. Частная клиника:этап I - собрать анализы, пройти курс антибиотиков перед лечением (обнаружен? гной), показан: закрытый кюретаж (карманы 5-7 мм), вектор, гидроорошение, закладка лекарств;*что смущает: как достоверно подтвердить необходимость приёма антибиотиков?+ Насколько целесообразен закрытый кюретаж при таких карманах и, как следствие, весь этап I в целом.этап II - открытый кюретаж (либо лоскутная операция) с остеопластикой (будет видно после 1-го этапа). Буду очень признателен Вам за изложение личного мнения (плана лечения). Изменено 26 октября, 2019 пользователем 31n Ссылка на комментарий
31n Опубликовано 27 октября, 2019 Автор Поделиться Опубликовано 27 октября, 2019 Извиняюсь, прошёлся по истории и нашёл ответ в похожей теме (http://forum.stom.ru/topic/39185-ischu-parodontologa-khirurga-dlia-otkrytogo-kiuret/?p=628805).С позволения Правильного стоматолога, процитирую:"по протоколу открытый кюретаж сразу не делается.Делается закрытый кюретаж на фоне приема антибиотиков (назначаются до операции и принимаются после) Делаются обе челюсти в максимально сжатые сроки (в идеале сразу) или в течение 2-3х дней.Решение о выборочном открытом кюретаже принимается через 3-4 мес по результатам предыдущей операции." *ожидая возможные дополнительные ответы/рекомендации, прошу тему пока не закрывать Ссылка на комментарий
red_butler Опубликовано 27 октября, 2019 Поделиться Опубликовано 27 октября, 2019 Без очного осмотра ответить сложно, но похоже часть зубов придётся удалять 1 Ссылка на комментарий
колесников Опубликовано 28 октября, 2019 Поделиться Опубликовано 28 октября, 2019 Рекоменду проверить суперконтакты. На первичную консультацию обратитесь к ортопеду,он далее направит к хирургу и пародонтологу 1 Ссылка на комментарий
Bier Опубликовано 4 ноября, 2019 Поделиться Опубликовано 4 ноября, 2019 толкового пародонтолога в Москве могу посоветовать. В личку напишите, если нужно. Дорого. Мое мнение вы уже процитировали. Я бы пока предложил удалить зубы мудрости и далее по протоколу.А/б терапия, закрытый кюретаж, открытый кюретаж выборочно.Окклюзионную схему можно проверить парралельно. Ссылка на комментарий
Рекомендуемые сообщения
Для публикации сообщений создайте учётную запись или авторизуйтесь
Вы должны быть пользователем, чтобы оставить комментарий
Создать аккаунт
Зарегистрируйте новый аккаунт в нашем сообществе. Это очень просто!
Регистрация нового пользователяВойти
Уже есть аккаунт? Войти в систему.
Войти