red_butler Опубликовано 19 ноября, 2019 Поделиться Опубликовано 19 ноября, 2019 Ну нет так нет, держите нас в курсе событий Ссылка на комментарий
Bier Опубликовано 20 ноября, 2019 Поделиться Опубликовано 20 ноября, 2019 Вообщем сходил к зав отделения ЧЛХ:1) Лечить бесполезно, нужно удалять кисты2) Депульпировать 5 зубов3) Порядок так: собираю анализы, записываюсь на госпитализацию, за пару дней до госпитализации депульпирую зубы. Если щеку разносит, то беру все результаты анализов и иду прямо в отделение ЧЛХ без записи. Они сами будут решать вскрывать или что делать и если потребуется то вскроют. По кистам два варианта:1) В полость засыпать костный материал. Возможность рецидива.2) Куда-то там бинты закладывать и каждую неделю на протяжении пары месяцев менять их пока не образуется эпитель. Такой вариант, со слов врача, предпочтительней т.к. вероятность рецидива свобидтся к минимуму. Остановитесь! Зубы то не вернете потом, а в результате такой операции останетесь без 5 зубов в итоге. Сходите проконсультируйтесь к нормальному специалисту. 2 Ссылка на комментарий
Bier Опубликовано 20 ноября, 2019 Поделиться Опубликовано 20 ноября, 2019 Если бы хоть один хирург сказал, что есть шанс вылечить зубы, то я бы задумался об этом...но все сказали удалять, поэтому буду удалять. Также я много всего интернета пересмотрел: клиники, отзывы у кого были кисты, статьи и тд. Не встретил ни разу кейса успешного лечения кист на 2 и более зубов. Уверен, что есть такие кому повезло. Но если бы это так реально все относительно легко лечилось, то наверное кейсов было бы много - мой ход мыслей.так надо не по хирургам ходить. Вы еще к 10 ЧЛХ зайдите, Вам с вероятностью в 98% скажут то же самое. 2 Ссылка на комментарий
Irouil Опубликовано 21 ноября, 2019 Поделиться Опубликовано 21 ноября, 2019 Если бы хоть один хирург сказал, что есть шанс вылечить зубы, то я бы задумался об этом...Вам тут минимум 3 хирурга сказали это. Но зубы, конечно, Ваши, делайте что хотите. А вообще, верно говорит Bier, хирурги зубы не лечат, они (мы) не могут сказать, можно вылечить зубы или нет. Скажет Вам тот, кто эти зубы будет лечить. Сходите к грамотному врачу эндодонтисту и узнайте, что можно, а что нельзя Ссылка на комментарий
red_butler Опубликовано 21 ноября, 2019 Поделиться Опубликовано 21 ноября, 2019 так надо не по хирургам ходить. Вы еще к 10 ЧЛХ зайдите, Вам с вероятностью в 98% скажут то же самое.а оставшиеся 2% скажут что вообще ничего делать не надо Ссылка на комментарий
sewif Опубликовано 21 ноября, 2019 Автор Поделиться Опубликовано 21 ноября, 2019 А сколько это будет примерно стоить? Порядок цен на лечение...20 или 40 или 100 тыс руб.? Москва Финансовый вопрос тоже имеет роль. Возможности в пустую (если лечение не поможет) выкинуть на ветер условные 50 тыс тоже нет. Ссылка на комментарий
red_butler Опубликовано 21 ноября, 2019 Поделиться Опубликовано 21 ноября, 2019 А сколько это будет примерно стоить? Порядок цен на лечение...20 или 40 или 100 тыс руб.? Москва Финансовый вопрос тоже имеет роль. Возможности в пустую (если лечение не поможет) выкинуть на ветер условные 50 тыс тоже нет.финансовые вопросы на форуме не обсуждаются Ссылка на комментарий
___49___ Опубликовано 21 ноября, 2019 Поделиться Опубликовано 21 ноября, 2019 Подскажите пожалуйста еще, может ли киста быть причинами странных ощущений в голове? Ощущение, что голова "ватная" и рассеянное внимание..т.е. такое ощущение обычно возникает в голове как-будто 8 часов что-то делал очень сконцентрировано...и голова "забитая" (или ощущение похоже на то, когда таблетки принимаешь какие-нибудь которые могут влиять на концентрацию внимания и на автопилоте ходит/делаешь что-то). Голова не болит, иногда (не часто) возникает легко и недолгое головокружение... Сходите на консультацию к терапевту, сосудистому хирургу - исключите Дисциркуляторную энцефалопатию ( мрт головы и шеи, смотрим магистральные сосуды) . Если ДЭ имеет место быть , у вас также возможны проблемы в постоперационном периоде в виду недостаточности кровообращения черепно-челюстно-лицевой области. Нарушение кровообращения так же может влиять на развитие той или иной патологии , что относится в том числе к кистам и другим новообразованиям. Так что стоит 7 раз отмерить по моему скромному мнению . Ссылка на комментарий
sewif Опубликовано 21 ноября, 2019 Автор Поделиться Опубликовано 21 ноября, 2019 финансовые вопросы на форуме не обсуждаютсяЯ про порядок цен спросил (а не конкретную стоимость под ключ)...чтобы прикинуть нужно ли вообще шевелиться в направлении лечения. Если минимальная планка от 100 тыс, то однозначно Моники Ссылка на комментарий
red_butler Опубликовано 21 ноября, 2019 Поделиться Опубликовано 21 ноября, 2019 Контакты в личке. Вам уже рекомендовали специалиста, сходите на консультацию и получите все ответы, в том числе финансовые Ссылка на комментарий
Bier Опубликовано 21 ноября, 2019 Поделиться Опубликовано 21 ноября, 2019 Я про порядок цен спросил (а не конкретную стоимость под ключ)...чтобы прикинуть нужно ли вообще шевелиться в направлении лечения. Если минимальная планка от 100 тыс, то однозначно Моникиэндодонтия дорогая конечно, особенно хорошая. Если 3 зуба депульпировать, то точно около того получится. Ну, если нет денег на здоровье, то конечно в Моники лучше, чем ничего. Ссылка на комментарий
DmitrySH Опубликовано 23 ноября, 2019 Поделиться Опубликовано 23 ноября, 2019 так надо не по хирургам ходить. Вы еще к 10 ЧЛХ зайдите, Вам с вероятностью в 98% скажут то же самое. Хотел тоже самое написать, не хотел хирургов обижать. Ссылка на комментарий
Гарриевич Опубликовано 28 ноября, 2019 Поделиться Опубликовано 28 ноября, 2019 Если бы хоть один хирург сказал, что есть шанс вылечить зубы, то я бы задумался об этом...но все сказали удалять, поэтому буду удалять. Также я много всего интернета пересмотрел: клиники, отзывы у кого были кисты, статьи и тд. Не встретил ни разу кейса успешного лечения кист на 2 и более зубов. Уверен, что есть такие кому повезло. Но если бы это так реально все относительно легко лечилось, то наверное кейсов было бы много - мой ход мыслей.вы не внимательно смотрели форум в разделе "терапия" Ссылка на комментарий
Гарриевич Опубликовано 28 ноября, 2019 Поделиться Опубликовано 28 ноября, 2019 и залейте заново кт Ссылка на комментарий
red_butler Опубликовано 28 ноября, 2019 Поделиться Опубликовано 28 ноября, 2019 вы не внимательно смотрели форум в разделе "терапия"возможно уже поздно Ссылка на комментарий
sewif Опубликовано 28 ноября, 2019 Автор Поделиться Опубликовано 28 ноября, 2019 Решил попробовать лечить. Уже записался к доктору 5 Ссылка на комментарий
red_butler Опубликовано 28 ноября, 2019 Поделиться Опубликовано 28 ноября, 2019 Решил попробовать лечить. Уже записался к докторуотлично, ждем продолжения. Поделитесь снимками Ссылка на комментарий
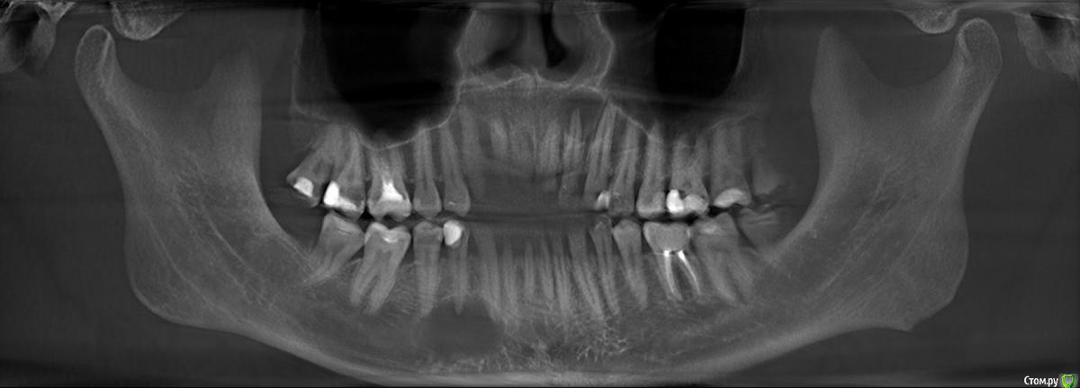
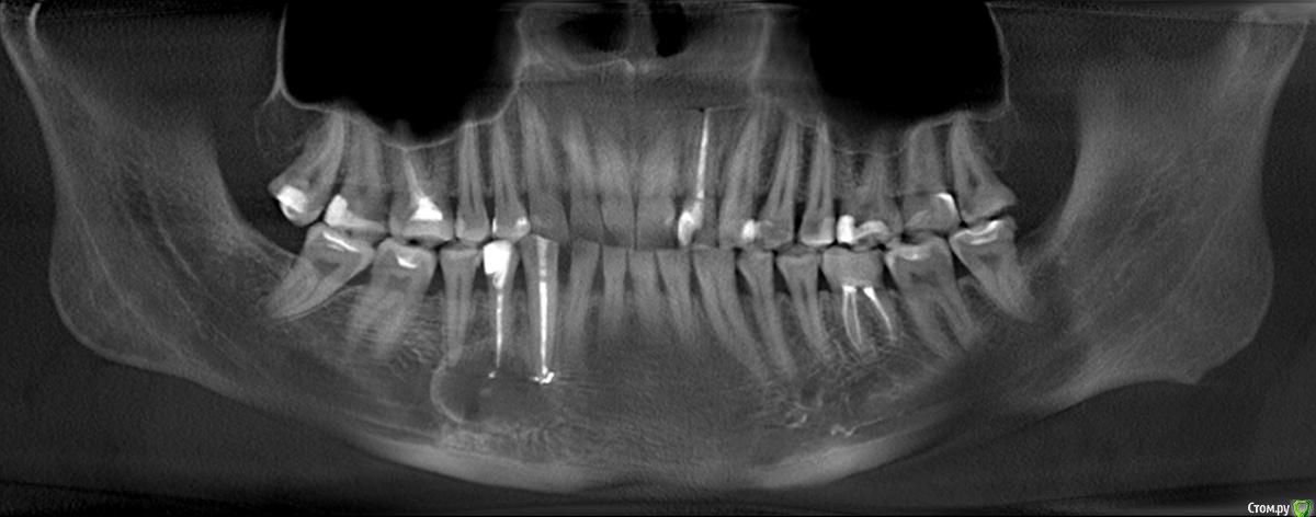
sewif Опубликовано 5 июня, 2020 Автор Поделиться Опубликовано 5 июня, 2020 (изменено) ЗдравствуйтеСегодня сделал контрольное КТ. После лечения прошло где-то 5-5,5 месяцев. КТ делал в одной клинике, а доктор который лечит зубы работает в другой клинике (к нему визит послезавтра) . В клинике в которой делал КТ, работает ЧЛХ из Моники, я к нему сразу на консультацию и записался. Мнение хирурга:1) По верхней кисте заметная положительная динамика.2) По нижней кисте: непонятно. Далее пишу сумбурно, в голове каша но как я понял: похоже на то, что жидкость из кисты ушла. Киста "скукожилась" и что-то в ней образовалось (непонятно что..фиброз? или что-то другое). Также сказала, чтобы врач внимательно посмотрел 5 зуб...возможно его стоит тоже депульпировать.Вердикт: ждать еще 3 месяца. Также сказала, что если бы она не видела снимок от октября 2019г...то по текущему снимку, сказала бы что у меня не кисты, а другие болячки с зубами....по нижней амеоба-чего-то там Первый снимок от 24 октября 2019Второй снимок от 05 июня 2020 Изменено 5 июня, 2020 пользователем sewif Ссылка на комментарий
Irouil Опубликовано 5 июня, 2020 Поделиться Опубликовано 5 июня, 2020 Есть положительная динамика и наверху, и внизу Ссылка на комментарий
Bier Опубликовано 5 июня, 2020 Поделиться Опубликовано 5 июня, 2020 на мой взгляд явное улучшение и вверху и внизу Ссылка на комментарий
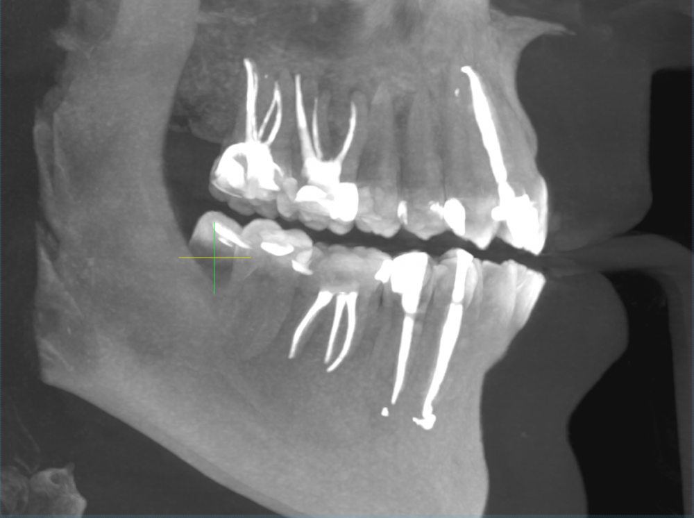
sewif Опубликовано 23 мая, 2021 Автор Поделиться Опубликовано 23 мая, 2021 Здравствуйте Сегодня сделал снимок. Прошу почти год с предыдущего снимка. В этот раз делал снимок как сказал доктор - в Пикассо. Программа непонятная и может скриншоты не очень, если нужно как-то иначе то прошу сообщить. Я не вижу кисты, ее нет или я не так смотрел? Ссылка на комментарий
Irouil Опубликовано 23 мая, 2021 Поделиться Опубликовано 23 мая, 2021 Эти картинки не особо показательны, конечно, но очевидно, что от изначальной ситуации тут не осталось примерно ничего 1 Ссылка на комментарий
Рекомендуемые сообщения
Для публикации сообщений создайте учётную запись или авторизуйтесь
Вы должны быть пользователем, чтобы оставить комментарий
Создать аккаунт
Зарегистрируйте новый аккаунт в нашем сообществе. Это очень просто!
Регистрация нового пользователяВойти
Уже есть аккаунт? Войти в систему.
Войти