Перейти к содержанию
Стоматология для всех

Коррекция дистального и глубокого прикуса


MaryMaryM

Рекомендуемые сообщения

Я давно мечтала об идеальной улыбке и наконец-то решилась сходить к ортодонту. 

У меня зубы более менее ровные, вот только с прикусом что-то не так.

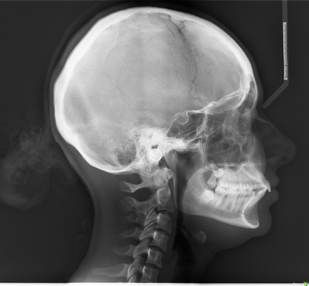
После консультации ортодонта я была очень расстроена, так как мне было прописано удаление 8-ми зубов. 4-х мудрости (с этим я в принципе согласна и готова) и 4-х примоляров (они у меня совершенно здоровые) и брекеты на 1,5-2 года. 

 

Для того чтобы подтвердить диагноз я решилась пойти еще к 3-мь специалистам и они мне озвучили тот же вердикт.

 

Только последний врач сказал что 4-ки удалять мне не нужно, так как моя нижняя челюсть и так слабо развита и в случае удаления примоляров у меня испортится профиль и будет прикус как у старушки. Ортодонт сказал, что нижнюю челюсть наоборот требуется выдвинуть вперед  с помощью брекетов и резинок. Только мне необходимо подрезать уздечку языка (якобы из за того что она плотнее чем нужно, она тянет нижнюю челюсть назад. Я слабо себе это представляю, но мне так озвучили).

 

Я не знаю кому верить, так как боюсь себе навредить и испортить лицо :( .

Пожалуйста помогите советом. 

Возможно мне вообще требуется хирургическое вмешательство и любые брекеты только испортят ситуацию.

 

Мои снимки к письму прилагаются.

 

Заранее спасибо.

post-58928-0-28582700-1571941662_thumb.jpg

post-58928-0-01463200-1571941680_thumb.jpg

post-58928-0-87811300-1571941696_thumb.jpg

post-58928-0-30591300-1571941711_thumb.jpg

Ссылка на комментарий

Дополнительно направляю:

2. Фото улыбки
3. Фото с сомкнутыми зубами (сомкнуть все зубы) спереди, справа и слева. На фото справа и слева должны быть видны зубы от центрального резца до шестого.
4. Фото лица в фас и профиль. Условия: зубы плотно сжаты как всегда (не выдвигая вперед), губы максимально расслаблены, голова и шея также расслаблены, взгляд ПРЯМО перед собой в зеркало или бесконечность.

post-58928-0-38974600-1571996203_thumb.jpg

post-58928-0-94605900-1571996212_thumb.jpg

post-58928-0-64029600-1571996223_thumb.jpg

post-58928-0-17447200-1571996233_thumb.jpg

Ссылка на комментарий

Для публикации сообщений создайте учётную запись или авторизуйтесь

Вы должны быть пользователем, чтобы оставить комментарий

Создать аккаунт

Зарегистрируйте новый аккаунт в нашем сообществе. Это очень просто!

Регистрация нового пользователя

Войти

Уже есть аккаунт? Войти в систему.

Войти
×
×
  • Создать...
Вверх