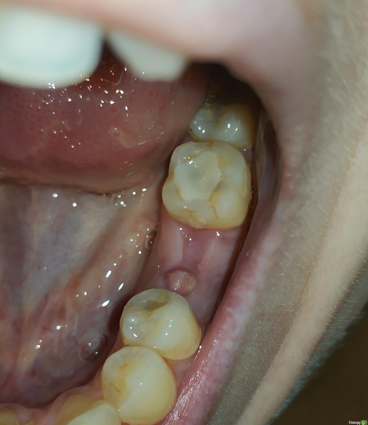
Jammy Опубликовано 22 октября, 2019 Поделиться Опубликовано 22 октября, 2019 (изменено) Доброго времени суток! 11 сентября удалили зуб, лунка заживала хорошо до недавнего времени. Вчера обнаружила странное образование в части лунки, чуть отличающееся по цвету от остальной десны.Выслала фото стоматологу, который удалял зуб, он сказал чтобы я не волновалась-это складка слизистой. Сегодня на этой складке появилось подкожное кровяное пятно. Стоит ли обращаться к врачу или это норма? Не сталкивалась ранее с процесс ом заживление лунки, оттого волнуюсь.Прошу прощения за качество фото (снимки сделаны вчера и сегодня) спасибо Изменено 22 октября, 2019 пользователем Jammy Ссылка на комментарий
St. Опубликовано 22 октября, 2019 Поделиться Опубликовано 22 октября, 2019 выглядит хорошо, не волнуйтесь Ссылка на комментарий
Jammy Опубликовано 22 октября, 2019 Автор Поделиться Опубликовано 22 октября, 2019 (изменено) выглядит хорошо, не волнуйтесьБольшое спасибо за ответ! Изменено 22 октября, 2019 пользователем Jammy Ссылка на комментарий
dentikl Опубликовано 23 октября, 2019 Поделиться Опубликовано 23 октября, 2019 Доброго времени суток! 11 сентября удалили зуб, лунка заживала хорошо до недавнего времени. Вчера обнаружила странное образование в части лунки, чуть отличающееся по цвету от остальной десны.Выслала фото стоматологу, который удалял зуб, он сказал чтобы я не волновалась-это складка слизистой. Сегодня на этой складке появилось подкожное кровяное пятно. Стоит ли обращаться к врачу или это норма? Не сталкивалась ранее с процесс ом заживление лунки, оттого волнуюсь.Прошу прощения за качество фото (снимки сделаны вчера и сегодня) спасибопокажитесь 1 Ссылка на комментарий
Jammy Опубликовано 23 октября, 2019 Автор Поделиться Опубликовано 23 октября, 2019 покажитесьСпасибо за совет! сходила к стоматологу - терапевту, но мне сказали, что нужно записываться к стоматологу - хирургу..на снимок отправили- ничего на нем не обнаружено. У хирурга ещё не была, но терапевт упомянула слово грануляция и сказала, возможно потребуется чистка. Ссылка на комментарий
dentikl Опубликовано 24 октября, 2019 Поделиться Опубликовано 24 октября, 2019 Спасибо за совет! сходила к стоматологу - терапевту, но мне сказали, что нужно записываться к стоматологу - хирургу..на снимок отправили- ничего на нем не обнаружено. У хирурга ещё не была, но терапевт упомянула слово грануляция и сказала, возможно потребуется чистка.да, было видно на Вашем фото Ссылка на комментарий
Jammy Опубликовано 24 ноября, 2019 Автор Поделиться Опубликовано 24 ноября, 2019 Здравствуйте, тему можно закрывать. Всё Полностью прошло само собой. Большое спасибо за советы 1 Ссылка на комментарий
Рекомендуемые сообщения