Samuel16 Опубликовано 21 октября, 2019 Поделиться Опубликовано 21 октября, 2019 (изменено) Здравствуйте, постараюсь быть максимально информативным.4 месяца назад провел лечение зубов в бюджетной клинике. Чуть больше недели назад начал болеть 17 зуб, внешне все было целое. На следующий день боль стала невыноимая, записался на ближайшее время и удалили нерв. Вроде облегчение. Но на следующий день начал болеть противоположный зуб (46). Боль усиливалась и через 2 дня боль переросла в распирающую. Пришел в клинику все обьяснил, сделали снимок. Врач сказал что ничего страшного не видит, а боль может быть реакция на лекарство заложенное в 17 зуб. и что лучше пока зуб не трогать. При постукивании выяснилось что болит не только 46 зуб а и 47, хотя он меня никогда не беспокоил. Решил долечить 17 и посмотреть что будет. но сильная боль продолжадась и я пошел со снимком к другому стоматологу. Тот увидел проблему как раз в 47 зубе который никогда не беспокоил. Сказал что там может и нет уже нерва. Для меня это оказалось страным в итоге окончательно запутался. Добавлю что когда ставили пломбу на 46 зуб кариес был глубоким, и ставился вопрос о удалении нерва. Но в итоге сохранили, на протяжении 4 месяцев зуб не болел но был очень чувствительным к холодному...Возможно вы увидите что то на снимке и посоветуете как лучше потупить? Изменено 21 октября, 2019 пользователем Samuel16 Ссылка на комментарий
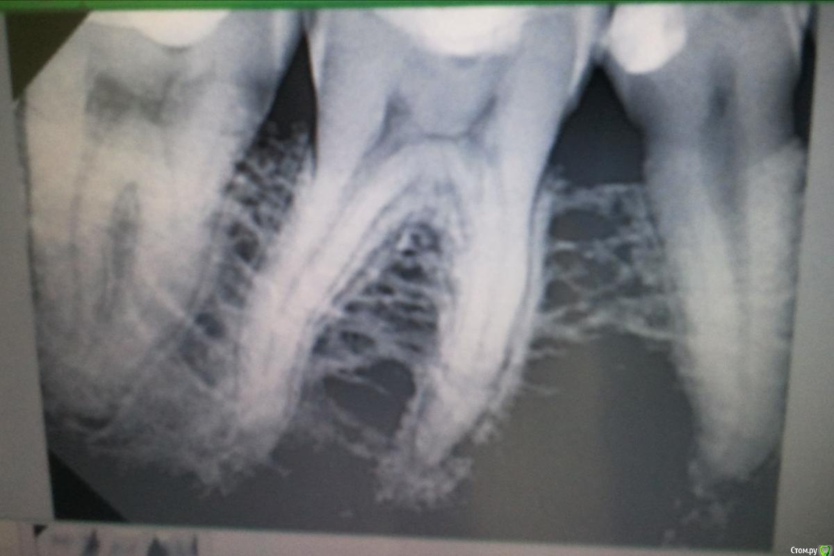
krokomot Опубликовано 21 октября, 2019 Поделиться Опубликовано 21 октября, 2019 проблемы есть и 6м и в 7м, лечить каналы обоих. 1 Ссылка на комментарий
Samuel16 Опубликовано 21 октября, 2019 Автор Поделиться Опубликовано 21 октября, 2019 (изменено) Ужасная новость У меня на этой стороне были все нервы целые. И тут ни с того -3 нерва... Такое бывает? 6 ладно. Но как 7 попал под удаление? Он меня никак не беспокоил, вроде как когда подбирается пульпит то появляются симптомы.. Но у меня их не было. чуть более недели назад я ел им тверную пищу без какого либо дискомфорта. Может есть какие то варианты на его спасение? Изменено 21 октября, 2019 пользователем Samuel16 Ссылка на комментарий
krokomot Опубликовано 21 октября, 2019 Поделиться Опубликовано 21 октября, 2019 в 6м явный склероз пульповой камеры. это говорит о перераздражении пульпы, а это приведет к склерозу системы каналов и невозможности в дальнейшем качественно пролечить этот зуб и вы попадете на его удаление(зуба), в 7м виден воспалительный процесс на верхушке корня, это говорит об инфицировании пульпы. не забывайте, что я консультирую только лишь на основании вашего снимка, для полного и достоверного диагноза потребуется осмотр и другие методы обследования. 2 Ссылка на комментарий
Samuel16 Опубликовано 21 октября, 2019 Автор Поделиться Опубликовано 21 октября, 2019 Спасибо за ответ! У меня наверное очень глупый вопрос но все же.. Когда мне удаляли нерв в верхней 7 (с чего все и началось) мне не вкололи анестезию, врач подумал подумал что нерв мертв, так как когда начал сверлить зуб мне не было особо больно. Возможно это из за обезбаливающего которое я принял (кетанов). Но когда врач добрался до нервов я почувствовал жуткую пронзающую боль, но я часто лечу зубы без анестезию и думал что потерплю. Ну и дальше началась жесть.. Такой боли в своей жизни я еще не испытывал, было до дрожжи(даже слеза непроизвольно проступила) Я это к чему.. Могла ли нервная система, то есть нерв 6 зуба так отреагировать на такое раздражение и воспалиться учитывая что он и так был уязвим.. Я просто не понимаю почему он начал болеть именно после удаление верхней 7.. Ссылка на комментарий
krokomot Опубликовано 21 октября, 2019 Поделиться Опубликовано 21 октября, 2019 Болит 7й, боль отдает на 6й. Ссылка на комментарий
Рекомендуемые сообщения
Для публикации сообщений создайте учётную запись или авторизуйтесь
Вы должны быть пользователем, чтобы оставить комментарий
Создать аккаунт
Зарегистрируйте новый аккаунт в нашем сообществе. Это очень просто!
Регистрация нового пользователяВойти
Уже есть аккаунт? Войти в систему.
Войти