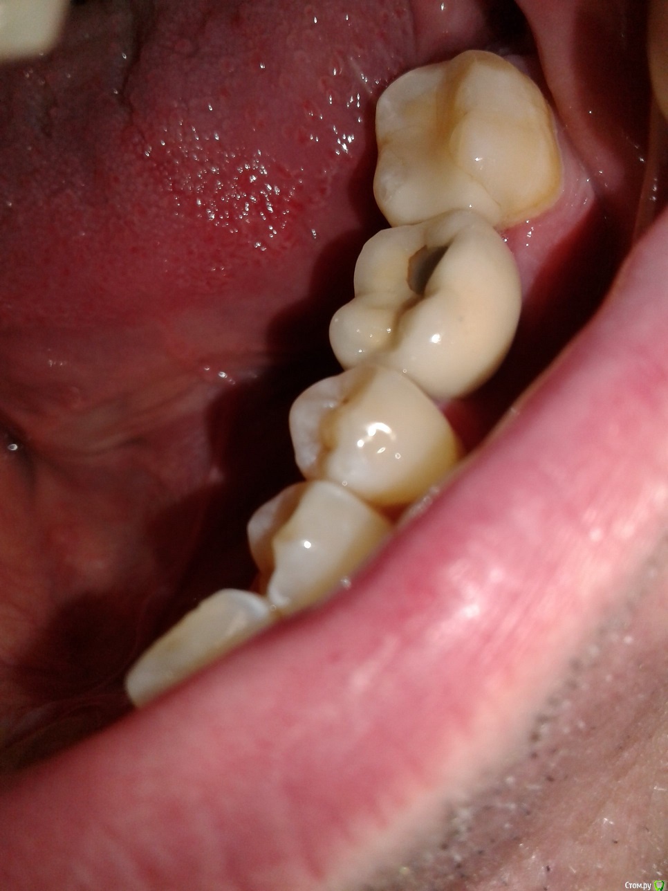
vad Опубликовано 17 октября, 2019 Поделиться Опубликовано 17 октября, 2019 Импланты металлокерамика установлены 1.5-2 года назад.Между ними и соседними зубами попадает пища, очень много пищи, особенно проблемный зуб слева.В клинике говорят, что нужно менять имплант на циркониевый, естественно за деньги, так как гарантия кончилась. Ссылка на комментарий
AndyAndy Опубликовано 17 октября, 2019 Поделиться Опубликовано 17 октября, 2019 Пища попадает сверху между коронкой и зубами или сбоку? Проверьте зубной нитью, проваливается она или есть сопротивление. Если дело в слабом контакте, этот вопрос решается заменой/коррекцией коронки, пока не вижу причин менять непосредственно имплантат. Фото во рту можете сделать? Ссылка на комментарий
vad Опубликовано 17 октября, 2019 Автор Поделиться Опубликовано 17 октября, 2019 (изменено) "коронки", конечно.Нити оказывается сопротивление, меньше чем между другими зубами (там еле лезет).Пища попадает спереди и сзади в щель между зубами, и между ними влазит деревянная зубная палочка. Изменено 17 октября, 2019 пользователем vad Ссылка на комментарий
AndyAndy Опубликовано 17 октября, 2019 Поделиться Опубликовано 17 октября, 2019 Зубочистку категорически не рекомендую к использованию, она только усугубляет ситуацию. Надо уплотнять контакты на коронках (замена или коррекция существующих по возможности) Ссылка на комментарий
vad Опубликовано 17 октября, 2019 Автор Поделиться Опубликовано 17 октября, 2019 А разве можно эти как-то скорретировать?Мне предлагают только замену за 35 тыр. каждую.Хотелось бы также понять, почему это произошло и как не попасть в такую же ситуацию еще раз. Ссылка на комментарий
dentikl Опубликовано 18 октября, 2019 Поделиться Опубликовано 18 октября, 2019 А разве можно эти как-то скорретировать?Мне предлагают только замену за 35 тыр. каждую.Хотелось бы также понять, почему это произошло и как не попасть в такую же ситуацию еще раз.2 пломбы(коронки) на соседние зубы Ссылка на комментарий
Pavel-Pskov Опубликовано 18 октября, 2019 Поделиться Опубликовано 18 октября, 2019 + к замене пломб. Ссылка на комментарий
vad Опубликовано 18 октября, 2019 Автор Поделиться Опубликовано 18 октября, 2019 (изменено) Замена пломб мне больше нравится и гораздо дешевле.А что реально поможет?Там получаются карманы ближе к корню зуба, получается пломбы нужно прям до десны делать? Изменено 18 октября, 2019 пользователем vad Ссылка на комментарий
Pavel-Pskov Опубликовано 18 октября, 2019 Поделиться Опубликовано 18 октября, 2019 Для начала проконсультироваться у грамотного терапевта стоматолога, он скажет поможет или нет замена пломб, по понораме мы все только предполагаем, что может помочь. Ссылка на комментарий
vad Опубликовано 18 октября, 2019 Автор Поделиться Опубликовано 18 октября, 2019 Найти бы этого грамотного... Один "грамотный" ортопед уже сделал кривые коронки. Ссылка на комментарий
red_butler Опубликовано 18 октября, 2019 Поделиться Опубликовано 18 октября, 2019 Покажите фото во рту и обычный панорамный снимок Ссылка на комментарий
dentikl Опубликовано 18 октября, 2019 Поделиться Опубликовано 18 октября, 2019 (изменено) Найти бы этого грамотного... Один "грамотный" ортопед уже сделал кривые коронки.предполагаю,что на таком решении настоял экономный пациент,а врач изначально предлагал коронки вместо соседних пломб Изменено 18 октября, 2019 пользователем dentikl Ссылка на комментарий
vad Опубликовано 18 октября, 2019 Автор Поделиться Опубликовано 18 октября, 2019 (изменено) обычный панорамный снимок У меня только КТ. Могу покрутить в любой проекции и с любой глубиной, в первом сообщении 1 мм. Изменено 18 октября, 2019 пользователем vad Ссылка на комментарий
vad Опубликовано 18 октября, 2019 Автор Поделиться Опубликовано 18 октября, 2019 (изменено) предполагаю,что на таком решении настоял экономный пациент,а врач изначально предлагал коронки вместо соседних пломб Какие соседние пломбы? Они старые и уже были до протезирования зуба. А изначально было так - корень у зуба был целый, нервы удалены. От зуба отклолся небольшой кусок и чтобы дальше зуб не разрушался на него решили поставить коронку на штифт. И вот после установки коронки начало дико болеть. Врачи (не один) решили, что в корне трещина и надо удалять зуб и ставить имплант.Я уже теперь думаю, что трещины не было, просто край десны коронкой придавили. Изменено 18 октября, 2019 пользователем vad Ссылка на комментарий
dentikl Опубликовано 18 октября, 2019 Поделиться Опубликовано 18 октября, 2019 Какие соседние пломбы? Они старые и уже были до протезирования зуба. А изначально было так - корень у зуба был целый, нервы удалены. От зуба отклолся небольшой кусок и чтобы дальше зуб не разрушался на него решили поставить коронку на штифт. И вот после установки коронки начало дико болеть. Врачи (не один) решили, что в корне трещина и надо удалять зуб и ставить имплант.Я уже теперь думаю, что трещины не было, просто край десны коронкой придавили.те все 2 года набивалось килотонны еды,а вы на это не обращали внимание докторов? Ссылка на комментарий
vad Опубликовано 19 октября, 2019 Автор Поделиться Опубликовано 19 октября, 2019 (изменено) те все 2 года набивалось килотонны еды,а вы на это не обращали внимание докторов?Ортопед сказала, что нормально сделано, и "у меня тоже так".Наверно, ждала пока гарантия закончится.Да и вначале поменьше еды застревало. Так что мне делать - пломбы менять или коронку?Или дождаться пока соседний зуб заболит и уже на него коронку нормальную поставить? Изменено 19 октября, 2019 пользователем vad Ссылка на комментарий
dentikl Опубликовано 19 октября, 2019 Поделиться Опубликовано 19 октября, 2019 Так что мне делать - пломбы менять или коронку? я бы- сначало пломбы,если вопрос решиться-смотрим сколько они служат Ссылка на комментарий
vad Опубликовано 2 ноября, 2019 Автор Поделиться Опубликовано 2 ноября, 2019 (изменено) Продолжение эпопеи - стали частично снимать пломбу с соседнего зуба, а анестизия не работает.Уже по четвертому разу проколили, все вокруг онемело - а все ровно зуб чувствительный.Еле дотерпел, сделали слепок, установили временную пломбу.Теперь острая боль при жевании, если пища попадает на этот зуб. Проходит сразу как прекращаешь жевать. Из-за чего это может быть и что делать? Изменено 2 ноября, 2019 пользователем vad Ссылка на комментарий
rimtar Опубликовано 13 ноября, 2019 Поделиться Опубликовано 13 ноября, 2019 боль при накусывании может быть после интралигаментарной анестезии. одна из четырех возможно ею была, если не получалось обезболить. но это уже не важно, ибо времени прошло... Ссылка на комментарий
Рекомендуемые сообщения
Для публикации сообщений создайте учётную запись или авторизуйтесь
Вы должны быть пользователем, чтобы оставить комментарий
Создать аккаунт
Зарегистрируйте новый аккаунт в нашем сообществе. Это очень просто!
Регистрация нового пользователяВойти
Уже есть аккаунт? Войти в систему.
Войти