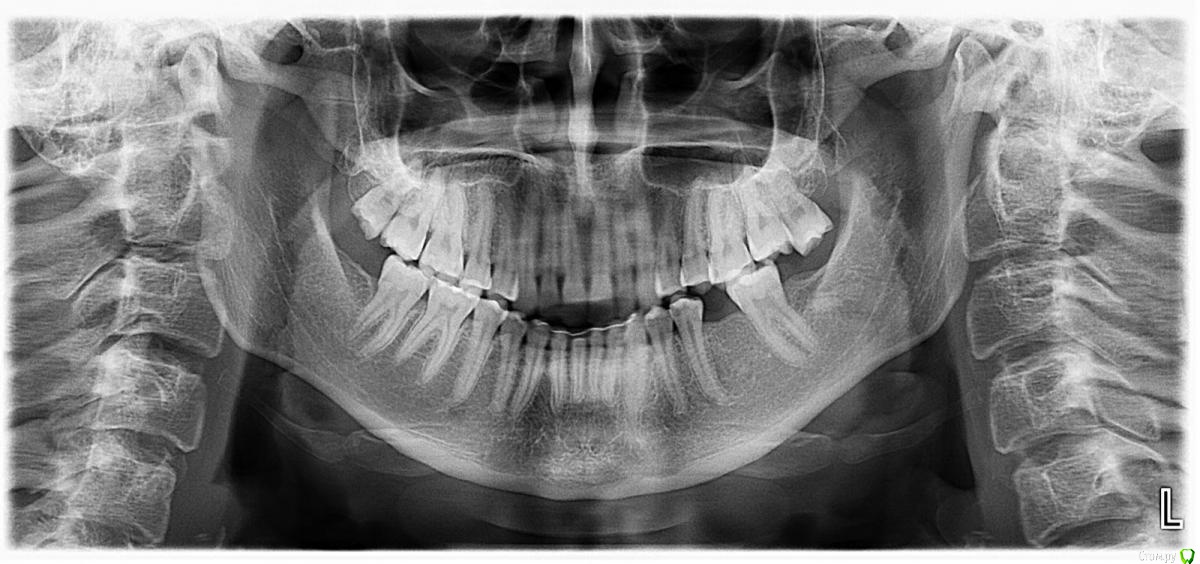
Lyubanya Опубликовано 15 октября, 2019 Поделиться Опубликовано 15 октября, 2019 Доброго дня, коллеги. Хотелось бы установить имплант в область отсутствующего 36 зуба. Носила брекеты ранее, все зубы в правильном прикусе, только 26 немного опустилась, 37 наклонился. Беспокоит что места для коронки вроде как маловато, можно ли обойтись без ортодонтии? Ссылка на комментарий
krokomot Опубликовано 15 октября, 2019 Поделиться Опубликовано 15 октября, 2019 Доброго дня, коллеги. Хотелось бы установить имплант в область отсутствующего 36 зуба. Носила брекеты ранее, все зубы в правильном прикусе, только 26 немного опустилась, 37 наклонился. Беспокоит что места для коронки вроде как маловато, можно ли обойтись без ортодонтии? Вполне можно обойтись без фиксации бреккетов, а обойтись локальнм перемещением 3.7 дистально на миниимплантате или на основном имплантате и коронке и интрузии 2.6 1 Ссылка на комментарий
red_butler Опубликовано 16 октября, 2019 Поделиться Опубликовано 16 октября, 2019 Покажите фото во рту Ссылка на комментарий
Lyubanya Опубликовано 16 октября, 2019 Автор Поделиться Опубликовано 16 октября, 2019 Как-то сбоку не оч получается сфоткать Ссылка на комментарий
колесников Опубликовано 17 октября, 2019 Поделиться Опубликовано 17 октября, 2019 С десной и антагонистом поработать,можно имплантировать Ссылка на комментарий
Рекомендуемые сообщения
Для публикации сообщений создайте учётную запись или авторизуйтесь
Вы должны быть пользователем, чтобы оставить комментарий
Создать аккаунт
Зарегистрируйте новый аккаунт в нашем сообществе. Это очень просто!
Регистрация нового пользователяВойти
Уже есть аккаунт? Войти в систему.
Войти